Amy Carpenter Aquino
August 2022—In cases of borderline melanocytic neoplasms, which have overlapping histopathologic features of benign and melanocytic lesions, additional immunohistochemical studies sometimes help to differentiate the two. But a subset of lesions will show overlapping features. “In these extremely difficult borderline cases, we can use molecular studies such as FISH to help us make a definitive diagnosis,” Phyu P. Aung, MD, PhD, said in a CAP21 session on a practical approach to such neoplasms.
Of the various commercially available molecular studies for melanocytic lesions, Dr. Aung, associate professor of pathology and dermatopathologist at the University of Texas MD Anderson Cancer Center, focused on FISH, used in daily practice at MD Anderson, and shared cases of various borderline lesions.
Conventional cytogenetics and comparative genomic hybridization paved the way for FISH in dermatopathology, she said, noting, “FISH basically serves as a surrogate of CGH.” But FISH should be used only to supplement the findings of a thorough histopathologic examination, she said.
Gerami, et al., wrote in 2012 that they identified 6p25 (RREB1), 11q13 (CCND1), 8q24 (MYC), 9p21 (CDKN2A), and CEP9 (centromeric reference) as a probe set with improved discriminatory power in differentiating melanomas from nevi (Gerami P, et al. Am J Surg Pathol. 2012;36[6]:808–817). “Basically, they added the 9p21 and 8q24 probes. Those are very useful, especially for the Spitzoid melanocytic lesions,” Dr. Aung said.
For borderline lesions, FISH has good sensitivity (approximately 85 to 94 percent) and high specificity (approximately 90 to 95 percent), she said. “But be careful—FISH can still be negative in borderline melanoma cases.”
In the FISH assay, abnormal results in 8q24 (MYC) and 11q13 (CCND1) have been found to be prognostic for aggressive disease (Jour G, et al. Glob Dermatol. 2016;3[4]:352–358; Gerami P, et al. Am J Surg Pathol. 2012;36[6]:808–817). And North, et al., showed by multivariate analysis that FISH-positive primary melanomas had an increased risk for subsequent metastasis when compared with FISH-negative cases (when controlling for known prognostic factors) (North JP, et al. Am J Surg Pathol. 2011;35[8]:1146–1150). Additional studies showed that gains at 11q13 and 8q24 are independently correlated with adverse outcomes and that in Spitzoid melanomas, homozygous deletion of 9p21 (CDKN2A) independently correlated with aggressive behavior (Gerami P, et al. J Mol Diagn. 2011;13[3]:352–358; Gerami P, et al. Am J Surg Pathol. 2013;37[5]:676–684).
[dropcap]D[/dropcap]r. Aung called the Spitzoid lesion “one of the most controversial topics” among melanocytic lesions “since first described as ‘juvenile melanoma’ by Spitz in 1948,” and said its misdiagnosis as melanoma is the most common cause of malpractice claims in dermatopathology. Spitzoid lesions can be divided into three histophenotypic groups: benign Spitz nevus, atypical Spitz tumor, or Spitzoid melanoma. Based on molecular-genetic alterations, the six subtypes are 11p amplification and/or HRAS mutations, homozygous deletion of 9p21, isolated loss of 6q23, BAP1 and BRAF V600E mutation, translocations involving oncogenic kinase drivers (ROS1, ALK, NTRK1, NTRK3, MET, BRAF, RET), and mutations in the TERT promoter (Tetzlaff MT, et al. Clin Lab Med. 2017;37[3]:431–448). Her focus in her talk was the Spitzoid lesion associated with BAP1 loss and BRAF V600E mutation.
In immunohistochemistry, “we usually use HMB-45 and MART-1/Ki67 stains for the melanoma portion,” Dr. Aung said, noting HMB-45 is usually patchy with the high proliferative rate highlighted by Ki67. p16 is usually positive in nevus and negative in the Spitzoid melanoma.
Of the molecular markers, homozygous deletion of 9p21 is helpful in differentiating melanoma from Spitz nevus, Dr. Aung said. The BRAF mutation can be positive in 88 percent of Spitzoid neoplasms associated with BAP1 loss but rare or absent in the remaining Spitzoid neoplasms with no associated BAP1 loss. “HRAS [mutation] is usually not associated with Spitzoid melanoma but can be associated with Spitz nevus or atypical Spitzoid lesion in approximately 15 percent of cases,” she said. BAP1-associated lesions usually exhibit a predictably benign clinical behavior, “but not always,” she said. “Nothing is 100 percent.”
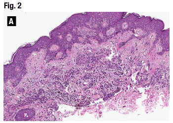
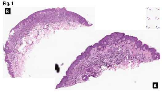
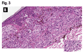
Dr. Aung presented the case of a 21-year-old female with a pigmented lesion on her right inferior lateral back. Seen in Fig. 1 are two fragments of skin with compound melanocytic proliferation. Fragment A (Fig. 2) shows a relatively smaller nest of melanocytes with more nevoid cytomorphology compared with fragment B (Fig. 3), she said, which shows “more atypical epithelioid larger melanocytes with cytologic atypia as well as mitotic activity.”
“When we did the HMB-45 stain,” Dr. Aung said (Fig. 4), fragment B showed a diffuse staining of HMB-45, and fragment A showed progressive loss of HMB-45 expression with descent in most of the dermal melanocytes, “highlighting the maturation pattern.”
When she and her colleagues looked at the MART-1/Ki67 stain (Fig. 4), the nevoid cells showed no or low proliferative rate, Dr. Aung said, though the epithelioid atypical cell in fragment B showed a relatively high proliferation rate. p16 staining (Fig. 5) showed “complete loss in the atypical cells and the retained nuclear expression pattern in the nevoid cells.”
FISH results were positive, Dr. Aung said, with homozygous loss of CDKN2A (p16/9p21) in 35.3 percent of the atypical epithelioid cells (cutoff: >29 percent).
It is a case of Spitzoid melanoma with associated nevus because of biphenotypic morphology with p16 loss in the epithelioid atypical cells, cytologic atypia, presence of mitotic figures with a high Ki67 proliferative rate, and homozygous loss of 9p21 by FISH, she said.
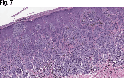
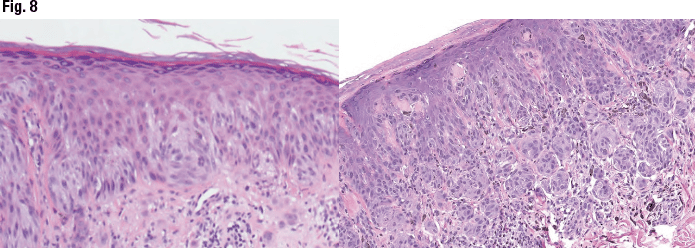
In another case, a 14-year-old female presented with a brown lesion on her right lower abdomen. The asymmetrical but circumscribed proliferation of epithelioid melanocytes is seen in Fig. 6. The cells are arranged with larger nests in the superficial dermis and epidermis (Fig. 7), and Dr. Aung noted the irregularly dispersed pigments and lymphoid aggregates at the base of the lesion. Fig. 8 shows the pagetoid migration of melanocytes at the periphery of the lesion and Kamino bodies, “which are supposed to be seen more frequently in benign [lesions], so this lesion is showing both benign and malignant morphologic features,” she said. In high power (Fig. 9), “this lesion failed to show a maturation pattern.” Some of the lesional cells showed cytologic atypia with pleomorphism, including scattered mitotic figures within the dermis.
• Irregularly dispersed pigments and lymphoid aggregates at the base of the lesion
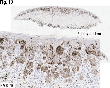
HMB-45 (Fig. 10) showed patchy staining pattern. “Some of it showed strong positivity, and some showed no or low expression. And when we buffered with MART-1/Ki67, it showed some of the dermal melanocytes of the high proliferative rate,” Dr. Aung said (Fig. 11). FISH showed borderline positivity in CDKN2A (p16/CEN9, 25 percent).
The diagnosis, she said, is Spitzoid melanoma, despite the presence of circumscription and Kamino bodies and because the lesion shows a significant degree of cytologic atypia, irregular pagetoid migration, no obvious maturation with dermal descent, and an irregular pattern of Ki67 and HMB-45, and with the borderline FISH result.
[dropcap]T[/dropcap]he low frequency of cutaneous melanoma in childhood can lead to confusion or hesitance in diagnosis in children and thus delay treatment, Dr. Aung said.
In a retrospective, observational study of 38 cases of Spitzoid melanoma in patients under age 18 who were referred to MD Anderson Cancer Center from 1992 to 2007, Paradela, et al., found that younger patients may have a better prognosis than adults but that some develop metastasis and die, particularly when melanoma is diagnosed after age 11, Dr. Aung said. Paradela, et al., reported the case of a 17-year-old female patient who was diagnosed with Spitz nevus but three years later developed parotid metastases from the primary melanoma, “which was misdiagnosed as a Spitz nevus,” Dr. Aung said. “Based on these findings and on further study,” she added, “these tumors should be treated using the same therapeutic approach as in older patents.”
Three studies showed a significant difference in prognosis of Spitzoid melanoma in children based on the age of the child at diagnosis, Dr. Aung said (Barnhill RL. Mod Pathol. 2006;19[suppl 2]:S21–33; Hayashida K, et al. Ann Dermatol. 2015;27[3]:338–339; Pol-Rodriquez M, et al. Cancer. 2007;109[8]:1579–1583). For example, Pol-Rodriquez, et al., found the five-year survival rate in children diagnosed with metastatic Spitzoid melanomas between ages zero and 10 years to be 88 percent, compared with a survival rate of 49 percent if the diagnosis was made between ages 11 and 17, Dr. Aung said. “Again, 11 is that magic age for Spitzoid lesions.”
“Overall,” she said, “the studies suggest the prognosis of children with Spitzoid melanoma is much better than in adults, even with local metastases or positive sentinel lymph nodes.” But cases of incomplete excision of Spitzoid melanoma leading to systemic metastasis and death have been reported. In cases in which the diagnosis is uncertain despite further evaluations, careful and timely observation of those children is necessary to prevent recurrence and/or metastasis, she said.
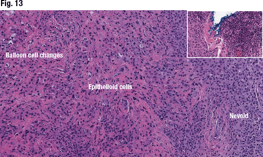
[dropcap]T[/dropcap]he next case is that of a 64-year-old male with a lesion on his right forehead. In Fig. 12 is the diffuse melanocytic lesion with hypo- and hypercellular area. Three cytomorphology features (epithelioid, nevoid, and balloon cells) are seen on high power (Fig. 13). “And the lesions also show associated lymphoid aggregates—one of the features of this type of lesion,” Dr. Aung said. Some of the epithelioid cells show cytologic atypia. “However, buffer MART-1/Ki67 showed low or absent proliferative index,” she said (Fig. 14). The dermal melanocytes showed loss of BAP1 nuclear expression (Fig. 15, compared with positive control showing nuclear BAP1 expression in the keratinocytes within epidermis [inset]). “And BRAF V600E immunohistochemical studies showed positive staining pattern, indicating mutation in these melanocytes” (Fig. 16).
The differential, Dr. Aung said, is melanocytic nevus with BAP1 loss, melanoma with BAP1 loss, or melanoma arising in association with nevus and BAP1 loss. “The diagnosis is melanocytic nevus with BAP1 loss due to the lack of prominent cytology atypia, lack of mitotic figures, low or absent Ki67 proliferative rate, and typical features of BAP1-associated melanocytic lesion, including diffuse dermal melanocytic proliferation with variable morphology, and associated lymphoid aggregates.”
The final diagnosis: melanocytic nevus, predominantly intradermal type with focal balloon-cell changes and associated loss of BAP1 expression and presence of BRAF V600E mutation. “Some people call this lesion a BAP-oma,” Dr. Aung added.
BAP1 (BRCA1-associated protein 1) is a deubiquitinating enzyme whose gene is located on chromosome region 3p12. “It’s a tumor suppressor gene with an important role in cell proliferation, differentiation, and growth inhibition,” she said.
BAP1 tumor predisposition syndrome, Dr. Aung said, has usually been due to the loss of expression of BAP1 owing to germline or sporadic mutations. The histologic features are similar in both types of mutated lesions, “so it’s not useful to differentiate germline from sporadic.”
BAP1 tumor predisposition syndrome is an autosomal dominant inherited disorder with germline mutation that increases the risk of various types of malignant and benign tumors, including malignant mesothelioma, renal cell carcinoma, uveal melanoma, and other skin melanocytic lesions with Spitzoid morphology, usually present with multiple lesions on the skin, Dr. Aung said. Affected individuals can develop one or more types of tumor, and affected members of the same family can have different tumor types.
BAP1-associated melanocytic lesions can be divided into two groups: nevus with BAP1 loss (BAP-oma) (most common) and melanoma arising in association with nevus and BAP1 loss, which is rare.
“In terms of histomorphology, BAP1-mutated melanocytic lesions usually show one of two common growth patterns,” Dr. Aung said: a single, well-demarcated dermal nodule comprising epithelioid melanocytes or multiple nests of epithelioid melanocytes in a background of a diffuse dermal melanocytic nevus, often with features of congenital onset (Piris A, et al. Hum Pathol. 2015;46[2]:239–245).
BAP1-mutated melanocytic lesions usually present as multiple benign-appearing, dome-shaped, skin-colored or pink papules, she said. In rare cases with overt cytologic atypia and mitotic figures, “as pathologists, we have to pay extra attention to exclude the possibility of melanoma” (Busam KJ, et al. Am J Surg Pathol. 2013;37[2]:193–199). In an article published in 2019, Dr. Aung and colleagues reported the histomorphologic and clinical characteristics of cutaneous melanomas with loss of BAP1 expression in patients with no known family history of BAP1-associated cancer susceptibility syndrome (Aung PP, et al. Am J Dermatopathol. 2019;41[3]:167–179).
BAP1-associated melanocytic lesions “can be the first clinical manifestation of BAP1 cancer syndrome,” she said. Suspicious lesions should be excised and evaluated by a pathologist, and pathologists must be aware of the atypical histological characteristics. If any are seen, Dr. Aung said, “make sure to evaluate the possibility of melanoma.” Evaluate for BAP1 and BRAF mutations. “If we see individuals or families with this BAP1 cancer syndrome, we can offer genetic counseling or even consider performing germline DNA testing for BAP1 mutations.”
[dropcap]B[/dropcap]lue nevus-like melanocytic lesions can be subdivided into four histophenotypic groups: benign blue nevus, cellular blue nevus, cellular blue nevus with atypical features, and blue nevus-like melanoma, Dr. Aung said.
A study published in 2011 evaluated the ability of a FISH assay targeting 6p25 (RREB1), 6q23 (MYB), 11q13 (CCND1), and the centromere of chromosome 6 to distinguish between cellular blue nevus and blue nevus-like melanoma (Gammon B, et al. J Cutan Pathol. 2011;38[4]:335–341). The assay was reported to be sensitive and specific to distinguish between the two in some cases. “They found no FISH positivity in any of the cellular blue nevus cases, but they found three to five cases of blue nevus-like melanoma with abnormalities detected by FISH,” Dr. Aung said.
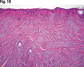
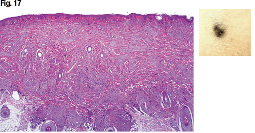
She presented the case of a 19-year-old male with a pigmented nodule on his scalp. Large hypercellular melanocytic proliferation with uniform pigmentation is seen in Fig. 17 and elongation of rete ridges and small junctional component of the melanocytic proliferations in Fig. 18. “We found some of the cells showed very small nucleoli,” Dr. Aung said (Fig. 19). Ki67 staining showed a low to absent proliferative rate. HMB-45 showed diffuse positivity.
1. Medium- to large-sized epithelioid cells with dusty melanin pigment
2. Predominantly spindled morphology with thin wispy cytoplasm
“The best diagnosis for this case is cellular blue nevus,” she said, because even though cellularity was high, there was no cytologic atypia or mitotic activity, with normal HMB-45 and low Ki67 expression.
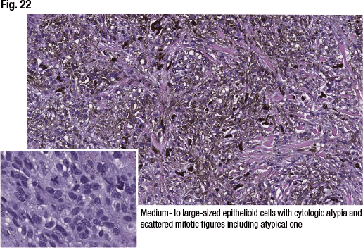
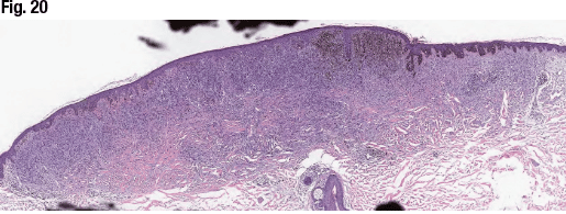
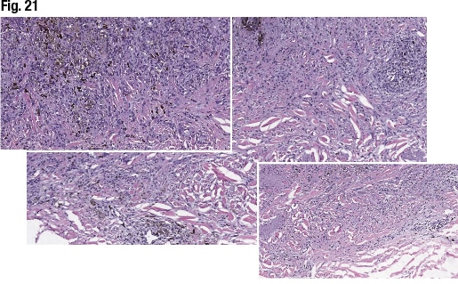
Another case—a 69-year-old with a pigmented lesion on the left scapula—had a diagnosis of blue nevus-like melanoma arising in association with blue nevus (Figs. 20–22). MART-1/Ki67 showed high proliferative rate in large epithelioid melanocytes and low to absent proliferative rate in spindle-shaped melanocytes. HMB-45 showed diffuse expression in epithelioid and spindle cells.
“The best diagnosis for this case is blue nevus-like melanoma arising in association with blue nevus due to the presence of irregular pigmentation, asymmetry, infiltrative border, biphenotypic features, cytologic atypia, atypical mitotic figures, and high proliferative rate,” Dr. Aung said. “And the patient’s sentinel lymph node also showed positive metastatic melanoma highlighted with pan-melanoma cocktail.”
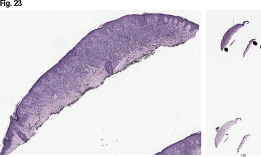
[dropcap]I[/dropcap]n closing, Dr. Aung presented the case of a 20-year-old female with a brown lesion on the thigh that was enlarging and becoming darker. Asymmetrical compound melanocytic proliferation is seen in Fig. 23. In high power the cytologic atypia with Spitzoid features, lack of maturation with dermal descent, and irregularly dispersed deposits of melanin pigment are seen (Fig. 24). In Fig. 25: marked cytologic atypia, showing some of the cells with prominent nucleoli, and mitotic activity at the deeper portion of the lesion. MART-1/Ki67 showed scattered proliferative cells in the dermis and there was patchy expression with HMB-45. “We also performed FISH, which was negative,” she said.
The consensus diagnosis (five to two) among Dr. Aung’s group favored the diagnosis of melanoma with Spitzoid features, she said, primarily based on prominent cytomorphologic atypia, lack of maturation, and presence of a deep dermal mitosis (close to the base of the lesion), despite the negative FISH result.
Amy Carpenter Aquino is CAP TODAY senior editor.