November 2018—CAP TODAY and the Association for Molecular Pathology have teamed up to bring molecular case reports to CAP TODAY readers. AMP members write the reports using clinical cases from their own practices that show molecular testing’s important role in diagnosis, prognosis, and treatment. The following report comes from Weill Cornell Medicine. If you would like to submit a case report, please send an email to the AMP at amp@amp.org. For more information about the AMP and all previously published case reports, visit www.amp.org.
Jordan Baum, MD
Rebecca Marrero, MD
Alain Borczuk, MD
Hanna Rennert, PhD
Next-generation sequencing is becoming the standard of care in the diagnostic workup of lung adenocarcinoma and other solid tumors. This technology leverages massively parallel sequencing to interrogate multiple genes of interest in a single test. The results of NGS have important implications for patient care, providing diagnostic, prognostic, and predictive information.
False-positive NGS results may arise due to multiple scenarios, for example, misidentification of a germline finding as a somatic finding. These false-positive results may lead to misinterpretation or inappropriate use of the NGS results and have serious clinical impact. Here, we discuss a case of NGS solid tumor testing revealing mutations from the patient’s concurrent hematologic malignancy.

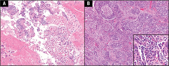
Case. An 82-year-old female with chronic myelomonocytic leukemia (CMML) and a remote history of tobacco smoking presented to the emergency department with dyspnea and cough for several weeks that had failed to improve with antibiotics. A chest x-ray and subsequent CT scan without contrast were performed, revealing a 2-cm right upper lobe spiculated lesion. Lung adenocarcinoma was diagnosed on fine-needle aspiration of the nodule, leading to a lobectomy resection of the patient’s right upper lobe. Histologic evaluation of the resection specimen revealed a poorly differentiated pleomorphic carcinoma consisting of adenocarcinoma and giant cell carcinoma with visceral pleura involvement and lymphatic invasion (Fig. 1).
Targeted next-generation sequencing was performed following microdissection of formalin-fixed, paraffin-embedded tissue from the FNA cell block and resection specimens using the ion semiconductor-based sequencing platform Ion Torrent Personal Genome Machine (Thermo Fisher Scientific) with the Ion AmpliSeq Cancer Hotspot Panel v2 (Thermo Fisher Scientific). The panel concurrently interrogates 2,800 hotspots/variants with 207 amplicons in 50 cancer-related genes. Sequence data analysis and variant calling were performed with Torrent Suite Software 5.0 (Thermo Fisher Scientific).
The cytology specimen had a visually estimated tumor cellularity (or neoplastic content) of 25 percent, while the surgical pathology resection specimen had a higher tumor cellularity of 70 percent. Sequencing of the lung cancer specimens revealed multiple concurrent mutations as follows (Table 1):
- c.34G>T missense mutation (NM_004985, p.Gly12Cys) in the KRAS gene with 22 percent variant allele frequency (VAF) in the FNA and 38 percent in the resection;
- c.35G>A missense mutation (NM_004985, p.Gly12Asp) in the KRAS gene with three percent VAF in the FNA and six percent in the resection;
- c.35G>A missense mutation (NM_002524, p.Gly12Asp) in the NRAS gene with 15 percent VAF in the FNA and three percent in the resection; and
- c.52delA frameshift deletion (NM_000546, p.Thr18Hisfs*26) in the TP53 gene with 23 percent VAF in the FNA and 41 percent in the resection.
Due to the finding of multiple concurrent mutations in cancer driver genes (KRAS and NRAS) on NGS testing of the lung adenocarcinoma, the patient’s clinical history regarding her CMML was investigated further. The patient had a reported history of long-standing mild monocytosis since 2009 and elevated hemoglobin and hematocrit since 2013, which were being followed by a hematologist. However, the patient refused to undergo a bone marrow aspiration. In 2015, when the patient was 80 years old, a follow-up complete blood count revealed leukocytosis (14.2 × 103/µL [ref: 3.4–11.2 × 103]) with 15.4 percent monocytes (ref: 2.0–11.0 percent). The patient then agreed to a bone marrow aspiration, which revealed monocytosis without an increase in blasts or dysplasia. Cytogenetics showed a normal female karyotype. A limited, targeted, amplicon-based NGS panel for myeloproliferative neoplasms interrogating five genes was performed at Genoptix (Carlsbad, Calif.) on a peripheral blood sample, which was negative for mutations in JAK2, MPL, CALR, CSF3R, and SETBP1. Because cytogenetics and the limited MPN panel failed to reveal an acquired clonal cytogenetic or molecular genetic abnormality, a full myeloid molecular profile using amplicon-based NGS technology interrogating clinically relevant regions of 44 genes was additionally performed (Genoptix) and revealed the following (Table 1):
- c.2278C>T nonsense mutation (NM_015338, p.Gln760*) in the ASXL1 gene with a VAF of 43 percent; and
- c.35G>A missense mutation (NM_002524, p.Gly12Asp) in the NRAS gene with a VAF of 34 percent.
The patient was then followed clinically for her CMML and did not receive any therapy or further treatment. She had an absolute monocytosis of 1.6 × 103/µL (ref: 0.2–0.9 × 103/µL) one week prior to the FNA and 2.6 × 103/µL the day of the right upper lobectomy.

We speculated that additional mutations may have been present on the peripheral blood sample for the CMML workup but not reported in the official Genoptix report. The Genoptix pathologist responsible for interpreting the patient’s case was contacted to determine if variants were identified in the sample that were not reported. It was verbally confirmed that an additional mutation was present, a c.35G>A missense mutation (NM_004985, p.Gly12Asp) in the KRAS gene with a VAF of three percent (below their laboratory minimum quality control metric of VAF for reporting, five percent). The TP53 gene is included on the Genoptix myeloid molecular profile panel; however, no TP53 variants were identified in the patient’s sample. Based on the findings in the patient’s next-generation sequencing results from the lung adenocarcinoma, the patient was not eligible for targeted tyrosine kinase inhibitor therapy and received standard chemotherapy with carboplatin and pemetrexed.
Discussion. NRAS and KRAS are members of the RAS family of oncogenes. Activating point mutations in these genes have been reported in a variety of tumors, including non-small cell lung cancer and hematological malignancies, mostly concentrating in codons 12, 13, and 61. RAS mutations in lung adenocarcinoma are usually mutually exclusive of other oncogenic driver aberrations including EGFR, BRAF, ERBB2, and ALK and ROS1 rearrangements, although coexistence has been rarely reported.1 Because NRAS and KRAS are oncogenes, single activating heterozygous mutations (“one hit”) are sufficient for conferring a selective advantage, and therefore cancers with two concurrent mutations are rare. Multiple concurrent mutations in KRAS are reported only in approximately two percent of mutated colorectal carcinomas2 and have also been commonly reported in pancreatic cancer.3 Double KRAS mutations in lung adenocarcinoma are exceedingly rare, although they have been reported in one case.4

While NRAS mutations are rare in lung adenocarcinoma and tend to be codon 61 mutations (approximately one percent),5 KRAS mutations are common in lung cancer (approximately 25–30 percent of cases).5,6 KRAS variants in lung adenocarcinoma are usually in codons 12 and 13 and are less likely to be in codon 61.5,6 NRAS mutations are more commonly identified in lung adenocarcinoma in current and former smokers.7 KRAS mutations also define a distinct molecular subset of lung adenocarcinoma. While KRAS mutations are found in former and current smokers and never smokers, they are rarer in never smokers and are also less common in patients of East Asian descent.8,9 Importantly, KRAS mutations have been reported as an indicator of resistance and poor survival in patients with non-small cell lung carcinoma treated with EGFR-tyrosine kinase inhibitors.10,11 The prognostic as well as predictive role of KRAS mutations continues to be studied in lung adenocarcinoma. Although various attempts at inhibiting KRAS have been made, there is no established therapy specific for this large subpopulation of lung cancer patients.
Genetic mutations are common in CMML and are seen in greater than 90 percent of cases.12 RAS mutations are highly prevalent and are seen in 20–30 percent of CMML, with NRAS mutations more common than KRAS.13 RAS mutations in CMML have been associated with features of cell proliferation and monocytosis and with shorter survival, although some multivariate models have not substantiated that RAS mutations confer inferior outcome.14–17 RAS variants in CMML are often associated with a myeloproliferative phenotype rather than a myelodysplastic phenotype.16
Interestingly, it is thought that the initial driver mutation in CMML is likely to be a mutation in TET or ASXL1 and then subsequent secondary mutations, including RAS mutations, may allow clonal subsets to progress.18 The patient in the case presented here had a nonsense mutation in ASXL1 identified at a notably higher VAF than the RAS variants identified in the same specimen, which probably indicates that the RAS-mutated clones were subpopulations of the larger ASXL1 CMML population. Genetic heterogeneity due to different clonal subpopulations is a well-recognized phenomenon.19 In most cases of CMML, clonal architecture is mostly linear, but split architecture with several branches arising from the same ancestor have been observed.19
Despite being found on NGS testing of the lung FNA and resection specimens, the likelihood of two KRAS variants and an NRAS variant occurring as concurrent somatic alterations in the lung adenocarcinoma is exceedingly low. Most likely, the NRAS G12D and KRAS G12D are somatic mutations in the patient’s CMML, while the KRAS G12C and TP53 variants are truly from the lung adenocarcinoma. The NRAS G12D was found at a higher VAF in the peripheral blood testing (Genoptix) than the solid tumor testing, and NRAS mutations are more common in CMML than lung adenocarcinoma. Additionally, the NRAS G12D has a higher VAF in the FNA cell block than the lobectomy resection specimen. This correlates with the observance that the FNA had significantly lower adenocarcinoma tumor cellularity (25 percent versus 70 percent), with contaminating peripheral blood (along with the patient’s CMML) constituting much of the non-adenocarcinoma cells. While the VAF of the KRAS G12D was slightly higher in the lung resection specimen than the verbally reported VAF for the same mutation in the peripheral blood, this result can be explained by proliferation of the KRAS-mutated CMML subclone between the time of the peripheral blood analysis and the lung cancer resection. The NRAS G12D and KRAS G12D therefore are thought to most likely represent false-positives in the solid tumor NGS testing. These findings could have been further confirmed with analysis of ASXL1 in the solid tumor specimens; however, this gene is not included in the 50-gene panel used in this case.
In this case, the multiple RAS mutations were a sign to further investigate the patient’s clinical history, but this finding may not always be present. In cases in which an expected variant is identified in a particular tumor type—for example, a single KRAS mutation in a lung adenocarcinoma—a false-positive result would not be as obvious. False-positives may have important clinical significance; therefore, inconsistent or unlikely results on NGS testing always warrant investigation of the patient’s history and prior molecular results. Ordering clinicians and pathologists can mitigate the possibility of false-positives owing to secondary malignancies on NGS testing by alerting molecular pathology laboratories to patients’ hematologic diagnoses and prior molecular testing, when applicable.
- Li S, Li L, Zhu Y, et al. Coexistence of EGFR with KRAS, or BRAF, or PIK3CA somatic mutations in lung cancer: a comprehensive mutation profiling from 5125 Chinese cohorts. Br J Cancer. 2014;110(11):2812–2820.
- Macedo MP, Andrade Lde B, Coudry R, et al. Multiple mutations in the kras gene in colorectal cancer: review of the literature with two case reports. Int J Colorectal Dis. 2011;26(10):1241–1248.
- Laghi L, Orbetegli O, Bianchi P, et al. Common occurrence of multiple K-RAS mutations in pancreatic cancers with associated precursor lesions and in biliary cancers. Oncogene. 2002;21(27):4301–4306.
- Benesova L, Minarik M, Jancarikova D, Belsanova B, Pesek M. Multiplicity of EGFR and KRAS mutations in non-small cell lung cancer (NSCLC) patients treated with tyrosine kinase inhibitors. Anticancer Res. 2010;30(5):1667–1671.
- Jordan EJ, Kim HR, Arcila ME, et al. Prospective comprehensive molecular characterization of lung adenocarcinomas for efficient patient matching to approved and emerging therapies. Cancer Discov. 2017;7(6):596–609.
- Cancer Genome Atlas Research Network. Comprehensive molecular profiling of lung adenocarcinoma. Nature. 2014;511(7511):543–550.
- Ohashi K, Sequist LV, Arcila MV, et al. Characteristics of lung cancers harboring NRAS mutations. Clin Cancer Res. 2013;19(9):2584–2591.
- Riely GJ, Kris MG, Rosenbaum D, et al. Frequency and distinctive spectrum of KRAS mutations in never smokers with lung adenocarcinoma. Clin Cancer Res. 2008;14(18):5731–5734.
- Sun Y, Ren Y, Fang Z, et al. Lung adenocarcinoma from East Asian never-smokers is a disease largely defined by targetable oncogenic mutant kinases. J Clin Oncol. 2010;28(30):4616–4620.
- Ludovini V, Bianconi F, Pistola L, et al. Phosphoinositide-3-kinase catalytic alpha and KRAS mutations are important predictors of resistance to therapy with epidermal growth factor receptor tyrosine kinase inhibitors in patients with advanced non-small cell lung cancer. J Thorac Oncol. 2011;6(4):707–715.
- Massarelli E, Varella-Garcia M, Tang X, et al. KRAS mutation is an important predictor of resistance to therapy with epidermal growth factor receptor tyrosine kinase inhibitors in non-small-cell lung cancer. Clin Cancer Res. 2007;13(10):2890–2896.
- Patnaik MM, Tefferi A. Cytogenetic and molecular abnormalities in chronic myelomonocytic leukemia. Blood Cancer J. 2016;6:e393.
- Kohlmann A, Grossman V, Klein HU, et al. Next-generation sequencing technology reveals a characteristic pattern of molecular mutations in 72.8% of chronic myelomonocytic leukemia by detecting frequent alterations in TET2, CBL, RAS, and RUNX1. J Clin Oncol. 2010;28(24):3858–3865.
- Onida F, Beran M. Chronic myelomonocytic leukemia: myeloproliferative variant. Curr Hematol Rep. 2004;3(3):218–226.
- Beran M. Chronic myelomonocytic leukemia. In: Ansell SM, ed. Rare Hematological Malignancies. New York: Springer; 2008:107–132.
- Ricci C, Fermo E, Corti S, et al. RAS mutations contribute to evolution of chronic myelomonocytic leukemia to the proliferative variant. Clin Cancer Res. 2010;16(8):2246–2256.
- Itzykson R, Kosmider O, Renneville A, et al. Prognostic score including gene mutations in chronic myelomonocytic leukemia. J Clin Oncol. 2013;31(19):2428–2436.
- Patnaik MM, Tefferi A. Chronic myelomonocytic leukemia: 2016 update on diagnosis, risk stratification, and management. Am J Hematol. 2016;91(6):631–642.
- Itzykson R, Solary E. An evolutionary perspective on chronic myelomonocytic leukemia. Leukemia. 2013;27(7):1441–1450.
Test yourself
Here are three questions taken from the case report. Answers are online now at www.amp.org/casereports and will be published next month in CAP TODAY.
1. KRAS mutations in lung adenocarcinoma are most likely to be found in which codon(s)?
a) 12 and 13
b) 13 and 61
c) 12 and 61
d) 61
2. KRAS mutations are usually mutually exclusive of which other mutations?
a) BRAF
b) EGFR
c) ALK
d) All of the above
3. RAS mutations are found in approximately what percentage of CMML?
a) 50–60 percent
b) 20–30 percent
c) 5–10 percent
Dr. Baum is a molecular genetic pathology fellow and Dr. Marrero is a pathology resident and clinical pathology chief resident, New York Presbyterian Hospital-Weill Cornell Medicine. Dr. Borczuk is an attending pathologist and anatomic pathology vice chair, and Dr. Rennert is an attending pathologist and molecular pathology laboratory director, both at Weill Cornell Medicine, New York, NY.