January 2023—Due out this spring is the CAP’s Color Atlas of Flow Cytometry. It consists of 71 cases and provides examples of the full range of hematolymphoid diseases that can be productively analyzed by flow cytometric immunophenotyping. Its editors are David Dorfman, MD, PhD, of Harvard Medical School and Brigham and Women’s Hospital; William Karlon, MD, PhD, of the University of California San Francisco Medical Center; and Michael Linden, MD, PhD, of M Health Fairview-University of Minnesota Medical Center. CAP TODAY recently asked Dr. Dorfman a few questions about the atlas. His answers to our questions and a sample case follow.
Who is this atlas written for?
The CAP Color Atlas of Flow Cytometry was created for students and trainees in clinical flow cytometry and hematopathology, medical technologists working in clinical flow cytometry laboratories, practicing hematopathologists, and clinical immunologists.
Tell us about the origins of this atlas.
This atlas was designed and written by members of the CAP Diagnostic Immunology and Flow Cytometry Committee, which produces numerous proficiency testing Surveys for clinical immunology and flow cytometry laboratories. Two of those Surveys, the current FL5 Survey and the previously produced FL3CD Survey, consist of a series of flow cytometry cases from the clinical flow cytometry laboratories of current and past committee members. Each year the committee sends out de-identified clinical and laboratory data for several cases, including dot plots of the actual flow cytometry studies that were performed by the submitting laboratory, to Survey participants, who analyze each case, arrive at a diagnosis, and report positive and negative antigens, which they submit to the committee for comparison with other Survey participants. Committee members prepare reports on the Survey results, including a discussion of the correct diagnosis, other participant diagnoses, and important teaching points, that all Survey participants receive.

The idea for the CAP Color Atlas of Flow Cytometry arose from a conversation several years ago with my colleagues and co-editors, Drs. William Karlon and Michael Linden. We thought a collection of past FL5 and FL3CD cases could be a useful resource for clinical flow cytometry laboratories, students and trainees, and others interested in the flow cytometric immunophenotypic analysis of hematolymphoid neoplasms. We include examples in the atlas of the entire range of hematolymphoid diseases that can be productively analyzed by flow cytometric immunophenotyping. Because the atlas also includes the results from Survey participants, readers have the unique opportunity to see how other flow cytometry practitioners interpreted the findings in each case. For many disease entities, particularly the most common diseases encountered in clinical practice, there is agreement of interpretations by 90 percent or more of Survey participants. In some cases, however, significantly fewer Survey participants arrive at the correct diagnosis. These cases provide readers of the atlas with an opportunity to identify and appreciate those disease categories and specific disease entities that are particularly difficult to diagnose correctly in clinical practice, because of either the low frequency of these diseases or the complicated immunophenotypic patterns that must be appreciated to arrive at the correct diagnosis.
How is the book organized?
The cases in the CAP Color Atlas of Flow Cytometry are organized into sections by disease categories. Each section has an overview chapter that provides background and introductory information. Within each section there are separate chapters for each disease entity. Chapters begin with a clinical history, laboratory results, one or more photomicrographs, and representative flow cytograms, so that the favored interpretation is not evident to readers at the outset. As a result, the chapters may be used to test readers’ ability to arrive at a diagnosis using the available information. Readers can then compare their interpretation of the data with the interpretations of CAP Survey participants and with the final, favored interpretation of the chapter author or authors. The interpretations of CAP Survey participants also serve to illustrate the relative difficulty of arriving at the correct diagnosis. Alternatively, the atlas may be used as a reference text on the characteristic findings of a wide range of clinical entities encountered in clinical flow cytometry practice. For this purpose, the table of contents lists all the disease entities in the atlas and is organized by disease categories.
Would you like to say a few words about your co-editors and the many contributors?
The clinical cases presented in the atlas come from a variety of laboratories around the country and were contributed from 2009 to the present by past and current members of the CAP Diagnostic Immunology and Flow Cytometry Committee (DIFCC). Members of the DIFCC atlas subcommittee developed and wrote the atlas, along with several additional volunteers. We all wrote case discussions and many of us contributed additional cases and case discussions, often for less commonly encountered entities in clinical flow cytometry practice. Two members of the DIFCC with an expertise in the flow cytometric analysis of inborn errors of immunity, Drs. Roshini Abraham and Vijaya Knight, contributed cases and case discussions to illustrate the most common disease entities encountered in clinical practice and the flow cytometric approach to evaluating these disorders. My co-editors and I are grateful for the hard work of the members of the DIFCC atlas subcommittee and other volunteers who worked on the project, which we hope readers will find useful and informative.

Here is case No. 29 from the CAP’s Color Atlas of Flow Cytometry, due out this spring. To order (PUB230), call 800-323-4040 option 1 or go to www.cap.org (Shop tab) ($148 for members, $185 for others). If you are interested in writing a book, contact Katy Meyer at kmeyer@cap.org.
History
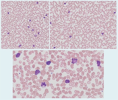
The patient is an 80-year-old man with a history of hypothyroidism. He is referred to hematology for leukocytosis due to absolute lymphocytosis, but he does not have anemia or thrombocytopenia. A peripheral blood sample is submitted for flow cytometric immunophenotyping.
Laboratory results
WBC
11.9 × 109/L
[normal range 4.0–11.0 × 109/L]
Absolute lymphocyte count
6.8 × 109/L
[normal range 0.8–5.3 × 109/L]



Discussion
This case was intended to represent high-count monoclonal B-cell lymphocytosis (MBL). The blood smears showed a very mild leukocytosis due to increased monotonous lymphocytes with high nuclear-to-cytoplasmic ratios, a small rim of basophilic cytoplasm, and clumped or “cracked” chromatin. The delineation between these atypical cells and normal circulating lymphocytes is difficult. On the flow cytometry dot plots, the black population is the population of interest. These cells express CD45, B-cell markers CD19 and CD20 (heterogeneous/dim), with coexpression of CD5 and CD23, and dim monotypic kappa light chain expression. They account for 34% of leukocytes. Taking the leukocyte count into consideration, we get an absolute neoplastic B-cell count of 4.0 × 109/L (WBC × neoplastic B-cell population % = absolute neoplastic B-cell count; 11.9 × 109/L × 34% = 4.0 × 109/L).
MBL with the phenotype of CLL cells—as seen in the current case—is considered a precursor lesion. Natural history studies show that virtually all cases of CLL evolve from MBL (although not all MBL cases will progress to CLL). MBL has a prevalence of less than 1% to 18% depending on the assay sensitivity and patient population investigated. Incidence increases with age, from less than 1% in patients younger than 40 years to 75% in patients older than 90 years. Patients are asymptomatic at diagnosis and may be incidentally detected. Without flow cytometry, it is possible that many cases of MBL are overlooked. The neoplastic cells are only slightly atypical (mature lymphocytes with small rim of basophilic cytoplasm and clumped/cracked cytoplasm) and may be rare. Flow cytometry increases sensitivity and allows for more objective identification of cells with an aberrant immunophenotype.
CLL-type MBL is the most common type of MBL and has the characteristic CLL/SLL immunophenotype of positivity for B-cell markers CD19 and CD20 (dim) with coexpression of CD5 and CD23, and dim monotypic surface light chain expression. There are, however, two other subtypes of MBL. MBL with an atypical CLL immunophenotype expresses B-cell markers CD19 and CD20 (bright), with coexpression of CD5, variable CD23 expression, and moderate-to-bright monotypic surface light chain expression. In this scenario, it is important to rule out peripheral blood involvement by mantle cell lymphoma. Imaging to look for a mass lesion and cytogenetics/fluorescence in situ hybridization to assess for t(11;14) may be useful to identify mantle cell lymphoma. Another subtype of MBL has a non-CLL immunophenotype. This entity expresses B-cell markers CD19 and CD20 (bright), with moderate-to-bright monotypic surface light chain expression and negative or dim CD5 expression. Some of these cases have 7q aberrations and develop splenomegaly, suggesting a relationship with splenic marginal zone lymphoma.
To make the correct diagnosis of high-count CLL-type MBL, several important criteria must be remembered. If there are at least 5 × 109/L leukemic cells with the immunophenotype described above, the diagnosis is CLL. If there are less than 5 × 109/L leukemic cells, but there is significant lymphadenopathy, splenomegaly, or other extramedullary deposition of cells with the same immunophenotype, the diagnosis is SLL. If neither of these criteria are met, but there is a population of atypical cells in the peripheral blood, MBL can be diagnosed. It is interesting to note that the percentage of bone marrow involvement (in the absence of other diagnostic criteria) does not change the diagnosis from MBL to CLL.
There are two subcategories of CLL-type MBL based on the degree of peripheral blood involvement. Low-count MBL has less than 0.5 × 109/L in the blood and high-count MBL has at least 0.5 × 109/L. These subcategories are of prognostic importance because low-count MBL rarely progresses to CLL, whereas high-count MBL progresses to CLL at a rate of approximately 1% to 2% per year. In addition, high-count CLL-like MBL is genetically and biologically similar to CLL. Of note, some patients vacillate for years between meeting criteria for MBL and CLL.
The interpretation of the immunophenotype in this case had high participant consensus: 99.1% or higher for each antigen. However, the final diagnosis did not reach consensus, although the majority of participants (62.7%) chose the intended answer: high-count MBL. A significant percentage of participants (32.2%) thought the case best represented CLL/SLL, whereas a smaller fraction chose low-count MBL (4.3%). Calculating the total monoclonal peripheral blood lymphocyte count is critical to arriving at the correct diagnosis. Although the total lymphocyte count is 6.8 × 109/L, this cannot be used as the estimate of the leukemic cell population. Flow cytometric analysis to identify the percentage of neoplastic B-cells allows for calculation of the correct absolute neoplastic B-cell count.
Major teaching points
- MBL is defined as the presence of less than 5 × 109/L clonal B-cells in the peripheral blood.
- There are three subtypes of MBL: CLL-type, atypical CLL-type, and non–CLL-type. CLL-type is by far the most common subtype and is a precursor to CLL.
- CLL-type MBL has an immunophenotype similar to CLL/SLL, and is separated into high-count MBL (≥ 0.5 × 109/L) and low-count MBL (< 0.5 × 109/L).
Bibliography
Campo E, Muller-Hermelink HK, Ghia P, et al. Chronic lymphocytic leukaemia/small lymphocytic lymphoma. In: Swerdlow SH, Campo E, Harris NL, et al, eds. WHO Classification of Tumours of Haematopoietic and Lymphoid Tissues. Rev 4th ed. Geneva, Switzerland: WHO Press; 2017:216–221.
Fazi C, Scarfò L, Pecciarini L, et al. General population low-count CLL-like MBL persists over time without clinical progression, although carrying the same cytogenetic abnormalities of CLL. Blood. 2011;118(25):6618–6625.
Kern W, Bacher U, Haferlach C, et al. Monoclonal B-cell lymphocytosis is closely related to chronic lymphocytic leukaemia and may be better classified as early-stage CLL. Br J Haematol. 2012;157(1):86–96.
Nieto WG, Almeida J, Romero A, et al. Increased frequency (12%) of circulating chronic lymphocytic leukemia-like B-cell clones in healthy subjects using a highly sensitive multicolor flow cytometry approach. Blood. 2009;114(1):33–37.
Shanafelt TD, Ghia P, Lanasa MC, Landgren O, Rawstron AC. Monoclonal B-cell lymphocytosis (MBL): biology, natural history and clinical management. Leukemia. 2010;24(3):512–520.
Shim YK, Rachel JM, Ghia P, et al. Monoclonal B-cell lymphocytosis in healthy blood donors: an unexpectedly common finding. Blood. 2014;123(9):1319–1326.
Strati P, Shanafelt TD. Monoclonal B-cell lymphocytosis and early-stage chronic lymphocytic leukemia: diagnosis, natural history, and risk stratification. Blood. 2015;126(4):454–462.
Xochelli A, Kalpadakis C, Gardiner A, et al. Clonal B-cell lymphocytosis exhibiting immunophenotypic features consistent with a marginal-zone origin: is this a distinct entity? Blood. 2014;123(8):1199–1206.