Karen Lusky
June 2018—With core needle biopsies of the breast, if something looks like an epithelial malignancy, ask yourself: Is it really a carcinoma? If it is a carcinoma, ask yourself if it is a primary breast carcinoma.
That and more—“re-review triple-negative cancers,” for example—was the advice of Laura C. Collins, MD, in a CAP17 session on ancillary testing in breast pathology, presented with Stuart J. Schnitt, MD (see “LCIS variants and DCIS: tips on telling them apart,” CAP TODAY, April 2018). Dr. Collins, vice chair of anatomic pathology and director of breast pathology, Beth Israel Deaconess Medical Center, and professor of pathology, Harvard Medical School, shared pointers on how to stay out of trouble on core needle biopsies of the breast.
The two questions she suggests asking are for lesions that look unusual, she told CAP TODAY. Pathologists should “sort of subconsciously” ask themselves the two questions in every case, “but the vast majority are routine breast carcinomas.” Dr. Collins demonstrated in her talk that the answers to both questions can come from the clinical history, imaging, tumor morphology, and/or skillful use of immunohistochemistry studies.
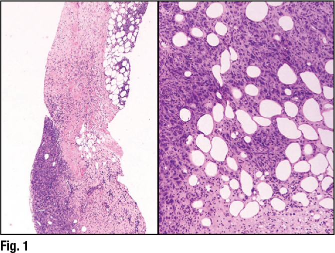
The first two case examples Dr. Collins presented dealt with the question: Is the malignancy in the breast a carcinoma? Case No. 1 is a core needle biopsy of a breast lesion sent to her group with the differential diagnosis of recurrent carcinoma versus fat necrosis. Presenting a split image of the lesion (Fig. 1), Dr. Collins pointed to (on left) “sheets of tumor cells infiltrating the stroma and into the fat.” On intermediate power in the image on the right, “you can see the very large pleomorphic cells with very high-grade nuclei,” she said. She also pointed out a zone of necrosis in the lower part of the right image and said there were other areas of necrosis. She described another image of the lesion as displaying “again very pleomorphic nuclei, brisk mitotic rate, and single cell necrosis.”
The pathologic diagnosis rendered was invasive ductal carcinoma, grade three. The tumor was found to be estrogen and progesterone receptor negative and HER2 negative, which Dr. Collins said might be expected with something that looks this bad. When the case was presented at the weekly radiology-pathology correlation conference, however, the radiologists shared clinical information suggesting a different malignancy. “They told us that clinically these were violaceous plaques over large areas of the breast. It was almost oozing blood,” she said. “So this obviously raises the additional question of whether this might represent angiosarcoma.”
Additional testing revealed that the tumor was keratin negative and CD31 and factor VIII positive, resulting in a revised diagnosis of epithelioid angiosarcoma (Figs. 2 and 3). “One of the unfortunate consequences of radiation therapy is that you can get secondary angiosarcomas,” Dr. Collins tells CAP TODAY. “It’s very rare, but it has to be borne in mind.”
Patients may receive neoadjuvant systemic therapy (NAST) for grade three triple-negative breast cancers, but this patient wasn’t a good candidate for NAST, Dr. Collins says, so it is likely she would have had surgery first. “Right now, the mainstay of therapy for angiosarcoma is surgery,” and because patients have already received radiation therapy, “they are not usually candidates for radiation therapy. And there are some trials looking at inhibitors of angiogenesis.”
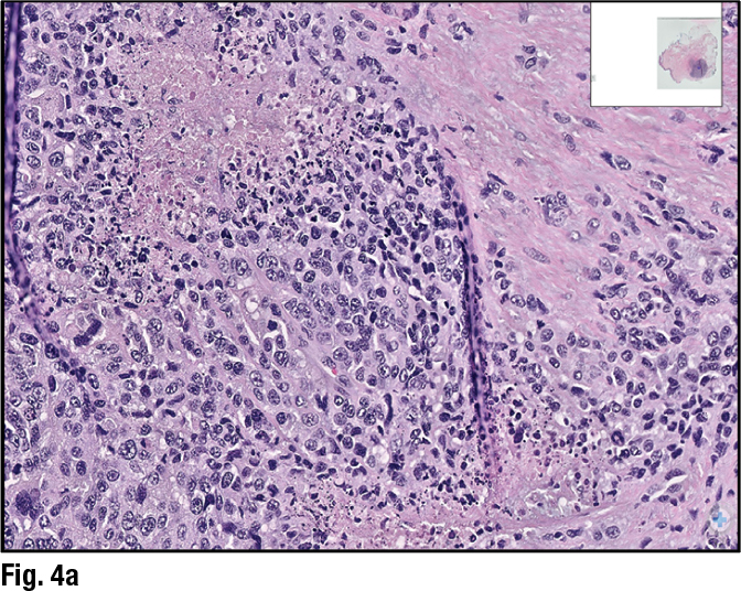
In consultation case No. 2, Dr. Collins’ practice received a mastectomy specimen. On core needle biopsy, the case had been signed out as a triple-negative breast cancer. The patient underwent neoadjuvant chemotherapy but had very little response to the treatment, as the mastectomy specimen demonstrated.
Dr. Collins described the mastectomy specimen as having “sheets of tumor cells.” On high power, “you see these are very atypical cells with large pleomorphic nuclei,” she said, and areas of necrosis and mitotic figures (Fig. 4a). Yet some areas appeared “slightly more spindled.” (Fig. 4b).
Given this different morphology and the poor response to the neoadjuvant chemotherapy, the original pathologist wondered whether the lesion might be a malignant melanoma. The pathologist used melanoma markers, Dr. Collins said, showing an image of the positive Melan A stain (Fig. 5). “So this is an example of a metastatic melanoma to the breast that had been diagnosed as a triple-negative breast carcinoma and treated with neoadjuvant chemotherapy.” Melanoma is not a carcinoma but can appear epithelioid, as it did in this case. “We teach our trainees that melanomas are the great mimicker; they can look like anything,” she says.
Dr. Collins shared several cases in which she and colleagues addressed the second question: Is the carcinoma in the breast a primary breast carcinoma? Not every cancer in the breast is a breast cancer, she noted, saying, “You should consider this when the morphology is atypical, when there is an absent in situ component.” (She cautioned, however, that triple-negative breast carcinomas often have little, if any, ductal carcinoma in situ.)
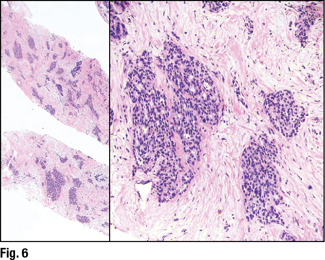
She showed an image of a lesion in a core needle biopsy that, in her view, looked like a grade two invasive ductal carcinoma (Fig. 6). “I think I would struggle to think this wasn’t a breast primary,” she said. The darker-appearing ducts in the left image are the normal terminal ductal lobular units. “The tumor cells are the larger nests of cells surrounding those ducts,” she said.
The ER stain was only weakly positive, however (Fig. 7), and she called this a point of caution. “If you have something that you think looks like a low- or intermediate-grade breast cancer, and the ER shows only weak positivity like this, you need to revisit your diagnosis because this should be strongly and diffusely ER positive.” In fact, the patient had a history of lung cancer and numerous lung nodules in addition to the breast mass.
Dr. Collins suggested that perhaps the best ancillary test is comparing the lesion in the breast to the prior tumor pathology, if available, and then performing supportive immunohistochemistry studies if needed. She presented images of the Napsin A and TTF-1 immunostains (Fig. 8). The final diagnosis: metastatic lung carcinoma.
She characterized the next image as another “rather scary example of a breast core needle biopsy,” with large areas of necrosis, very high-grade nuclei, and sheets of tumor cells (Fig. 9). “This morphology is very much in keeping with a triple-negative breast cancer, but this actually happens to be a metastatic colon cancer to the breast.”
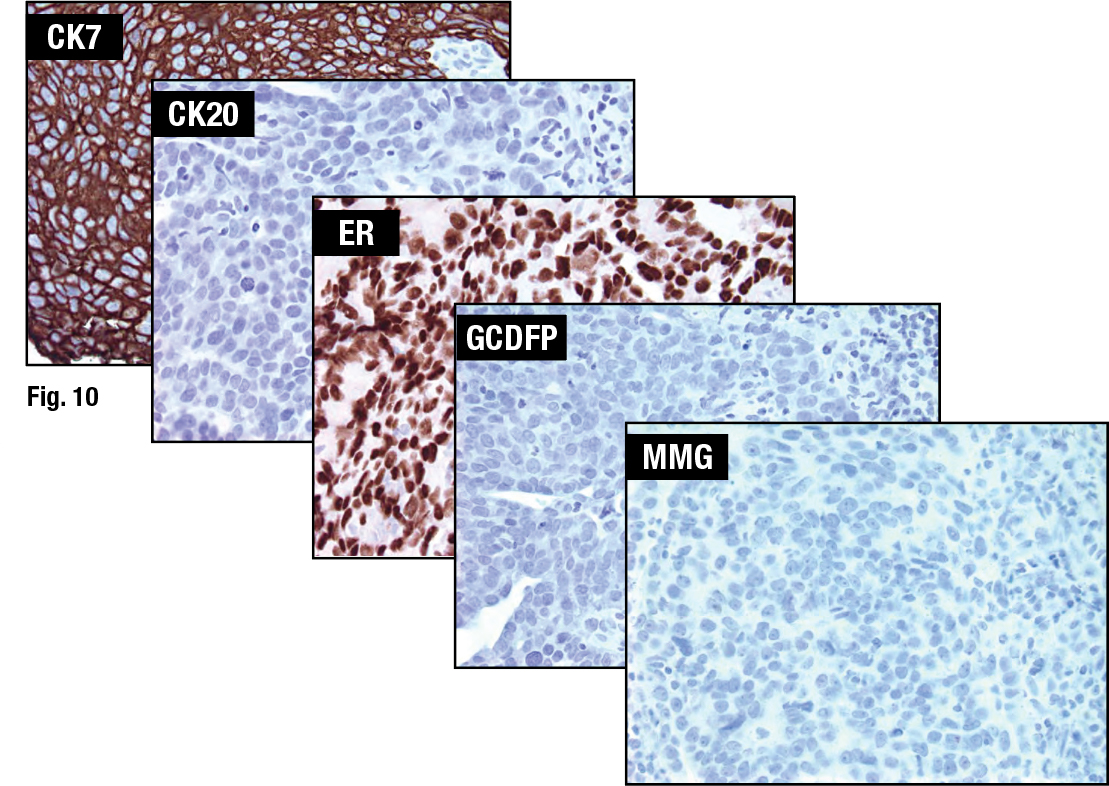
Dr. Collins showed a papillary carcinoma of the breast that she said one might think looks morphologically like a breast primary (Fig. 10). “The only slight reason for pause maybe is that the nuclear features are rather higher grade than we would typically expect in a breast papillary carcinoma.” The case was that of her co-presenter, Dr. Schnitt, chief of breast oncologic pathology, Dana-Farber/Brigham and Women’s Cancer Center, who worked it up a bit further. “The CK7 was positive, and the CK20 was negative,” Dr. Collins reported. “ER was strongly and diffusely positive. GCDFP-15 and mammaglobin were both negative, but that’s not necessarily out of line with a primary breast carcinoma.”
The patient, however, had a history of a primary ovarian cancer a few years earlier. Dr. Collins showed images of the breast lesion and the previous ovarian carcinoma, noting the “strikingly similar” morphology (Fig. 11). WT1 was performed on the cancer in the breast and established that this was a metastatic carcinoma and not a primary breast tumor (Fig. 12).
Jon H. Ritter, MD, Ladenson professor of pathology and immunology at Washington University School of Medicine in St. Louis, cautioned in a CAP TODAY interview that “some patients who have BRCA [gene mutations] may have both ovarian cancer and breast cancer, so you can get trapped there thinking that a breast lesion is a metastasis and it’s not, or that it’s a primary and it’s not.”
A study by Dr. Ritter and colleagues, titled “Metastatic disease to the breast: the Washington University experience,” found that among 18 patients who had such disease, “tissues of origin included 3 ovarian, 6 melanoma, 3 medullary thyroid, 3 pulmonary neuroendocrine, 1 pulmonary small cell, 1 oral squamous cell, and 1 renal cell” (Vaughan A, et al. World J Surg Oncol. 2007;5:74). Not included in their series were hematolymphoid lesions. “When you see lymphoma in the breast, they are often in the setting of people with relatively extensive lymphoma, although there are relatively uncommon primary breast lymphomas,” Dr. Ritter says.
He points out features that could tip off the pathologist to metastases. “They tend to be more well circumscribed or they don’t have a spiculated appearance, which is a reflection of the fact that metastases often have less desmoplastic or fibrous reaction than primary breast cancers.” Part of the reason cancers can become metastatic is they have developed a way to “escape the body’s surveillance. So they can grow and often will not invoke the same kind of reaction that you see with a primary lesion. Whether you are talking about metastasis to the lung, breast, or other sites, that lack of host reaction can be a helpful feature, but in a smaller biopsy, it is not always easy to appreciate that feature,” Dr. Ritter says.
As he and colleagues wrote in their 2007 article, on the topic of clinical features, the impression often is that these metastatic lesions may be benign. “Because of the lack of desmoplastic reaction,” Dr. Ritter says, “they tend to be more mobile like a fibroadenoma, so you can push them around like a fibroadenoma or some other type of benign lesion. So there is a discordance between something that looks like a high-grade malignancy and a radiology impression that might not really show infiltration or fixation to adjacent structures.”
In reviewing how to avoid trouble on core needle biopsies of the breast, Dr. Collins said pathologists should always be aware of the imaging findings and the radiologist’s differential diagnosis. Also, “We always advocate liberal use of levels,” she said, noting that wouldn’t necessarily have helped in the examples she presented. “But in core needle biopsy, in general, levels can be helpful,” as can more judicious use of immunostains. “You don’t want to throw a whole battery of immunostains at these lesions. Be careful about the panel you select and use them wisely.”
Be conservative, too, she continued, “and avoid over-diagnosis when the findings are equivocal. Don’t lock yourself into a primary breast cancer if there is a possibility that this might represent a metastasis.” And it’s prudent, in her view, to re-review triple-negative breast cancers or triple-negative cancers (more on that later).
As for the immunohistochemistry workup of lesions metastatic to the breast, pathologists might use differential cytokeratin such as CK7 and CK20, Dr. Collins said. “You would expect 7 to be positive and 20 to be negative in breast primaries,” but many other tumors have this profile. Examples include non-small cell lung cancer, ovarian serous carcinoma, endometrial carcinoma, and mesothelioma.
Pathologists, of course, also perform the breast markers: ER, PR, HER2, GATA3, GCDFP-15, and mammaglobin, she said, adding that GATA3, GCDFP-15, and mammaglobin have about a 78 percent sensitivity. Using them in combination increases the sensitivity to about 80 percent.
Dr. Collins cited these caveats:
- ER can also be observed in lung tumors and thyroid, neuroendocrine, and gynecologic tract carcinomas.
- HER2 may be seen in gastric and lung carcinoma.
- GCDFP-15 is also seen in salivary gland, skin, and prostate tumors.
- GATA3 is also seen in skin and urothelial cancers.
- Mammaglobin can be seen in endometrial and ovarian cancers and melanomas.
“The absence of staining with any of these breast markers does not exclude breast origin, in fact, because triple-negative cancers can lack these markers,” she said.
Dr. Collins referred to what she called “a landmark paper” in terms of GATA3 expression in epithelial neoplasms (Miettinen M, et al. Am J Surg Pathol. 2014;38[1]:13–22). Miettinen and colleagues studied expression of GATA3 in 2,040 epithelial neoplasms. They found that between 92 percent and 100 percent of breast tumors express GATA3. “But it’s also expressed in urothelial carcinomas, some germ-cell tumors, as well, so it’s not perfectly specific,” Dr. Collins said.
In the metastatic setting, GATA3 positivity and ER positivity strongly suggest breast. “Of course, this wouldn’t apply to triple-negative cancers, whereas other combinations suggest either gynecologic or urothelial origin,” Dr. Collins said (Deftereos G, et al. Am J Surg Pathol. 2015;39[9]:1282–1289). Triple-negative breast cancers do express GATA3 in 40 percent to 60 percent of cases, she said, “so it can be very helpful in that setting.”
Regarding the breast versus lung differential, Dr. Collins reported that about 10 percent of lung cancer cases can demonstrate focal ER expression. “This might be antibody clone related,” she said. About five percent of lung cancers are focally GCDFP-15 positive, and they are usually the ones that are TTF-1 negative. “So that can be challenging,” she said. And about two percent of breast cancers can be TTF-1 positive. “So you need to be circumspect or use caution when interpreting small biopsies, particularly from the lung in a patient with a history of breast cancer, or, as we have seen, in breast biopsies in patients with lung lesions” (Wang LJ, et al. Appl Immunohistochem Mol Morphol. 2009;17[6]:505–511).
Dr. Ritter says the lung adenocarcinomas that occasionally display estrogen receptor positivity “can really fool you. It tends to be weak expression,” he says, “but it is also not unusual in a high-grade breast cancer to have only weak estrogen receptor positivity.”
A study of the expression of Napsin A and TTF-1 in lung adenocarcinomas showed that it was sensitive and specific, Dr. Collins said. “None of the 10 breast cancers in this particular study stained with either Napsin A or TTF-1” (El-Maqsoud NM, et al. Tumour Biol. 2016;37[3]:3123–3134). She noted that Dr. Schnitt and colleagues did research on TTF-1 expression in more than 500 breast cancers and discovered that 2.4 percent of cases demonstrated TTF-1 expression, with no particular correlation to histologic type, grade, or biomarker status (Robens J, et al. Am J Surg Pathol. 2010;34[12]:1881–1885). The authors wrote that expression of TTF-1 “varied from focal and weak to diffuse and strong and was seen in both invasive and in situ components.”
A later study of 1,132 primary invasive breast carcinomas, from the Chinese University of Hong Kong, showed a much lower rate of TTF-1 expression (.09 percent) in that population (Ni YB, et al. Histopathology. 2014;64[4]:504–511). The authors suggested this might be clone dependent, Dr. Collins said. “Different clones were used in these two studies.”
Ovarian cancer primaries are probably the most commonly overlooked breast metastasis because these are often ER and PR positive, Dr. Collins said. “PAX8 and WT1 are most useful, with about 87 percent of ovarian carcinomas being PAX8 positive. And that is improved [96 percent] if you eliminate mucinous tumors from the cohort you are studying with non-breast carcinomas reported to express PAX8.” WT1 is positive in about 85 percent of ovarian carcinomas, but it can be expressed in about two percent of breast cancers overall. “Mucinous breast carcinomas, in particular, can express WT1.”
EMA is especially useful for the differential of micropapillary carcinomas versus serous ovarian carcinomas. “You have membranous staining with reversed polarity in micropapillary breast tumors, and diffuse cytoplasmic staining is seen in ovarian carcinomas,” Dr. Collins said. She showed images of a micropapillary carcinoma in a breast biopsy and the EMA staining “confirming that reverse polarity and supporting a diagnosis of micropapillary carcinoma of the breast” (Fig. 13).
In summarizing, Dr. Collins advised always getting a complete clinical history when evaluating breast core biopsies with cancer, “and consider using additional immunostains to rule out metastases, especially in triple-negative tumors in patients with a prior history of cancer. And in patients with a known prior history, comparison with the old slides might be just as important, if not more important, than doing a whole panel of immunostains.” Dr. Collins said she couldn’t overemphasize the importance of “just pausing with these triple-negative breast cancers or triple-negative cancers in the breast in patients who might be candidates for neoadjuvant therapy.”
She displayed an image of a triple-negative primary breast carcinoma, predicting that the audience would agree it looked similar to the other examples she had shown “where you have sheets of high-grade tumor cells, large zones of necrosis, and often the whole core is taken up with this tumor, and there is seldom an in situ component.” (Fig. 14).
Dr. Collins’ focus is on invasive ductal carcinoma because invasive lobular carcinomas have a characteristic morphology and are usually ER positive. Breast cancers called special types—adenoid cystic carcinoma and secretory carcinoma—are triple negative, but they also have a characteristic morphology. “The specific morphology would characterize them as breast primaries in the absence of any history to the contrary,” she says.
When Dr. Collins concluded her talk, an audience member asked how she works up a triple-negative breast cancer. The first thing she does when signing out, Dr. Collins said, is pause and ask herself: Does this look like a typical triple-negative breast cancer? If the lesion “looks funny and there’s no prior history [of cancer], then I think GATA3, mammaglobin, and GCDFP-15 would be a good place to start,” she said.
Joining the discussion, Dr. Schnitt reported having had a recent case that was a poorly differentiated carcinoma in a breast core needle biopsy. “The cells had a lot of pink cytoplasm and no in situ component,” and the patient had a previous history of invasive cervical carcinoma, he said. He looked at the breast lesion and noted that it could potentially be a poorly differentiated squamous cell carcinoma. So he worked up the case. “Of course, it turned out to be breast cancer, but the question is at what point do you do that because if you do it on every triple-negative breast cancer, you are going to waste a lot of time and resources.”
“You really have two shots at this,” Dr. Schnitt said. “The first shot is when you just get the H&E. The second shot is when you look at the ER, PR, and HER2 and see that it’s triple negative and review the H&E with that.”
Dr. Collins pointed out that triple-negative breast cancers are much more common than metastasis. “Metastasis is rare. We do receive some cases in consultation where GATA3 is done on every single breast core biopsy.” She views that as “sort of overkill” because the vast majority of cancers are ER positive, “so it’s not indicated in that situation.”
“The challenge,” she says, “is to not let the unusual case slip through. And some of the examples I showed do look very much like carcinoma. They could be high-grade breast cancers, which is why the mistakes were made. It’s an easy mistake to make.”
[hr]
[hr]
‘The patient might be a male’
Not all cancers in the breast occur in females, Dr. Laura Collins said as a reminder for pathologists attending the CAP17 session on ancillary testing in breast pathology. Dr. Collins said she is cautious about checking the number on the requisition with the number on the slides. “Our slides have the last name on them, so I check the last name on the requisition with the last name on the slide, but since I am invariably dealing with female patients, I don’t necessarily always notice that it is a male, at least from the slide label.”
“Of course, when you look histologically, you should see there are just ducts and no lobules,” Dr. Collins added. But in some cases where there’s a lot of tumor, the pathologist needs to remember that the patient might be a male “and think of other differential diagnostic considerations.”
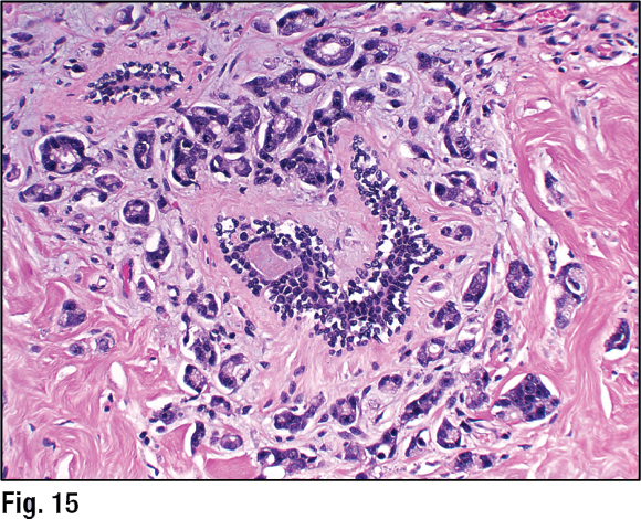
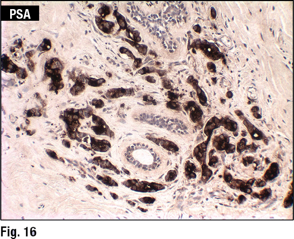
Dr. Collins showed an image of a carcinoma that had infiltrated around a benign duct in the patient’s breast (Fig. 15). Another duct in the middle of the image had a little proliferation, which she cautioned might be misconstrued as an in situ component. “In fact, it is just a little bit of hyperplasia,” she said. The tumor had “pleomorphic, highly atypical nuclei, and very prominent nucleoli in this particular case.” The patient had a history of prostate carcinoma. “PSA and PSAP testing confirmed this as an example of metastatic prostate carcinoma to the breast in a male patient.” (Fig. 16). —Karen Lusky
Karen Lusky is a writer in Brentwood, Tenn. All images are courtesy of Laura C. Collins, MD, and Stuart J. Schnitt, MD.