How one breast center used genomic profiling to plan treatment during the pandemic
Sherrie Rice
September 2021—The latest data on the use of two genomic assays in early-stage breast cancer and at the University of Rochester Medical Center as the pandemic set in were reported in a CAP TODAY webinar presented by William Audeh, MD, and David G. Hicks, MD.
Dr. Audeh, medical oncologist and chief medical officer of Agendia, developer of MammaPrint and BluePrint, presented the long-term follow-up results of the MINDACT trial and an age-related analysis, as well as new data on MammaPrint’s use in endocrine therapy decisions.
Dr. Hicks, professor and director of the IHC-ISH laboratory and breast subspecialty service, University of Rochester Medical Center, described how he and colleagues used genomic profiling in an altered workflow when “the pandemic affected nearly every aspect of life in the hospital, including the screening, diagnosis, treatment, and follow-up for the care of patients with breast cancer.”
It was the randomized MINDACT trial in which the 70-gene MammaPrint assay was prospectively validated. Nearly 7,000 patients were enrolled, and the results were first published in 2016, at which time 60 percent of the patients had at least five years of follow-up (Cardoso F, et al. N Engl J Med. 2016;375[8]:717–729). The 8.7-year follow-up was presented at the ASCO Annual Meeting in 2020, and that was followed this year by the final publication (Piccart M, et al. Lancet Oncol. 2021;22[4]:476–488).
The aim of this trial was to determine which patients are able to avoid chemotherapy safely. “The way this was done,” Dr. Audeh said, “was to look at patients who were clinically high risk, with features that would cause me as a medical oncologist to want to give them chemotherapy, but genomically low risk according to the MammaPrint 70-gene assay.” In the long-term follow-up, the main endpoint was the five-year distant metastasis-free survival in this group that was clinically high risk, MammaPrint low risk, and treated only with endocrine therapy. These patients had an excellent outcome of 95.1 percent distant metastasis-free survival, which was not improved significantly by the addition of chemotherapy.
Another finding from the MINDACT trial was the ability of MammaPrint to identify patients with one to three positive lymph nodes who could also safely avoid chemotherapy. The long-term follow-up on the node-positive cohort was presented at the ASCO meeting last year and published this year (Piccart M, et al. Lancet Oncol. 2021;22[4]:476–488). “The finding is that even at eight years, the difference with the addition of chemotherapy in MammaPrint low-risk patients is still negligible and quite durable,” said Dr. Audeh, formerly of Cedars-Sinai Medical Center.
Also from MINDACT was the finding on the age effect of chemotherapy on distant metastasis-free survival in the same clinically high-risk, genomically low-risk patients separated by whether they were age 50 or younger, or over 50. “Although these patients were genomically low risk,” Dr. Audeh said, “if they were 50 years or younger, they did indeed show a small benefit of chemotherapy, but that benefit did not start to appear until four years into their course. By eight years, the difference was about five percent.” This is in contrast to the women over 50 for whom there was no benefit of chemotherapy even though they have the same clinical pathologic features and the same low risk by MammaPrint.
This raised the question: Do estrogen-receptor–positive breast cancers in women age 50 and younger have an intrinsic biological difference that makes them more chemosensitive? To answer this question, Dr. Audeh said Agendia and a number of colleagues participating in the FLEX trial, which obtains whole transcriptome data from newly diagnosed breast cancers, did an analysis of age as it affected the biology of breast cancer and presented the data this year at the ASCO meeting.
“We undertook a whole transcriptome analysis of tumors that were hormone positive and HER2 negative from women 50 years and younger and we compared them to women over 50,” he said, “not just with MammaPrint and BluePrint but also in the entire transcriptome available to us through this trial. We found no significant difference in gene expression based on age.” This made it possible to conclude, Dr. Audeh said, that there is no apparent intrinsic difference in the biology of hormone-positive breast cancers even with MammaPrint low-risk that is attributable to age. “And we believe this supports the hypothesis that the benefit of chemotherapy,” seen in MINDACT and other similar trials, “is not due to a direct chemotherapy effect, but more likely to secondary ovarian suppression by the chemotherapy.”
This led to the way he and colleagues at Agendia, as well as the MINDACT investigators, believe the MammaPrint data should be applied in making treatment decisions (Fig. 1). The data in postmenopausal women with low-risk MammaPrint identifies them as safely avoiding chemotherapy. For premenopausal women, where that small chemotherapy benefit was seen most likely due to ovarian function suppression, they believe this information should be integrated into shared decision-making in which both chemotherapy as well as ovarian function suppression can be discussed with younger women.
[dropcap]D[/dropcap]r. Audeh spoke, too, of MammaPrint’s utility in endocrine therapy decision-making. “We know that within the low-risk range, which runs as MammaPrint is reported from above zero to plus one, there is an ultra-low risk that is above 0.355.” (Esserman LJ, et al. JAMA Oncol. 2017;3[11]:1503–1510).
MammaPrint ultra-low-risk patients had been observed to have an excellent prognosis over at least 10 years, he said. To validate this over the long term, it was necessary to return to an old cohort, the Stockholm tamoxifen trial (STO-3, 1976–1990), in which more than 650 postmenopausal women with tumors 3 cm and smaller and negative nodes were randomized to either no endocrine therapy after surgery or tamoxifen for some period, primarily two years but some for five.
The benefit of this cohort is that they had not only the paraffin-embedded blocks, but also more than 20 years of follow-up of these patients, who were treated only with surgery or with minimal endocrine therapy. “We were able to extract the RNA from the blocks and perform MammaPrint on these patient samples, and we found approximately 19 percent fell into this ultra-low-risk range. With 20 years of follow-up,” Dr. Audeh said, “the surprising findings were that there was a 97 percent breast cancer-specific survival out to 20 years if they had received any tamoxifen at all, even just two years, and that rate was 100 percent at 10 years.”
Furthermore, in the group who received only surgery, if they were ultra-low risk by MammaPrint, they had a 94 percent breast cancer-specific survival at 20 years with no endocrine therapy at all and nearly 100 percent at 10 years.
Also important in this study, he said, was to analyze the remainder of the low-risk patients who were not ultra-low. “They had a very different outcome. Unlike the ultra-low-risk patients, they had a significant benefit of endocrine therapy.”
The results of two additional trials were presented in late 2020: the IKA trial presented at ESMO and the FOCUS trial presented at the San Antonio Breast Cancer Symposium.
“Although these trials had different endpoints of recurrence-free survival and distant recurrence rates, the ultra-low-risk group consistently does better with long-term follow-up. And in these trials, women were treated with either no endocrine therapy or three years or less of tamoxifen therapy.”
Finally and most recently, he said, are data presented at the ASCO meeting this year from the original MINDACT trial. Within the nearly 7,000 patients in MINDACT, they were able to also analyze separately those with an ultra-low-risk MINDACT signature. Josephine Lopes Cardozo, MD, of the Netherlands Cancer Institute, on behalf of the European Organisation for Research and Treatment of Cancer, presented data showing that 15 percent of the MINDACT cohort fell into this ultra-low-risk range—about 1,000 patients. The majority of these women were postmenopausal and node negative. “Even though in this case we had eight years of follow-up, the ultra-low group did do exceedingly well, consistent with the prior studies,” Dr. Audeh said. The breast cancer-specific survival of the MammaPrint ultra-low-risk patients, whether deemed clinically low risk or clinically high risk, was nearly 100 percent at eight years, similar to what had been seen in the other trials.
“Furthermore, when one looked at how these patients were treated, there was in fact a group within MINDACT that deviated from the protocol and received no adjuvant systemic therapy whatsoever.” At eight years, the distant metastasis-free interval was 97.8 percent, little different from those who received any endocrine therapy at all. “Again, showing the consistency of this ultra-low-risk group.”
“We now report this in our MammaPrint reports because we do believe that postmenopausal node-negative women who have an ultra-low-risk MammaPrint may be able, if they need to, to discontinue endocrine therapy before five years have been completed if they are experiencing severe toxicity. We do not advocate withholding endocrine therapy at the outset of therapy for the ultra-low-risk group, but endocrine therapy carries considerable side effects, and for those women who want to stop early, it may be safe for them to do so if they’re ultra-low.”
Additional data were presented at ASCO this year for the remainder of the low-risk group who are not ultra-low, specifically regarding the utility of extended endocrine therapy beyond the first five years. “This was an analysis of the original NSABP B-42 trial in which extended aromatase inhibitor therapy was analyzed,” Dr. Audeh said. MammaPrint was used to determine whether it could identify which patients would benefit from extended endocrine therapy in years five to 10.
The original NSABP B-42 study enrolled women who completed their first five years of antiestrogen therapy and had no evidence of recurrence. They were then stratified to receive an additional five years of letrozole (overall 10 years of endocrine therapy) or placebo (a total of five years of endocrine therapy). “The results of this trial without any specific biomarkers or clinical features to identify which patients would benefit did show overall a 3.3 percent disease-free survival benefit for the letrozole arm [Rastogi P, et al. J Clin Oncol. 2021;39[suppl 15]:502]. But there were no clinical indicators to identify which patients would obtain that benefit,” he said. “This was the reason MammaPrint was applied to this cohort.”
It was the MammaPrint low-risk patients, not high-risk, who showed the benefit of extended letrozole therapy. For disease-free survival, MammaPrint low-risk patients who were treated with 10 years of letrozole had a 7.8 percent absolute benefit in disease-free survival (P< .001). For breast cancer-free interval, it was the MammaPrint low-risk group that had an absolute benefit of seven percent (P< .001).
“When the ultra-low-risk are removed from this group, or at least separated, an even more significant difference can be seen,” Dr. Audeh said. The disease-free survival for the low-risk patients who are not ultra-low improves to 9.5 percent (P< .001), while the ultra-low did not appear to benefit. In low risk, the breast cancer-free interval improves to 7.9 percent (P< .001). “By using MammaPrint in this setting to determine who will benefit from extended letrozole therapy, the low-risk patients who were not ultra-low have the largest benefit,” he said, “significantly greater than what was seen in the overall group in the original B-42 trial.”
MINDACT revealed that low-risk MammaPrint patients are unlikely to benefit from chemotherapy. “And now we see from the ultra-low data that MammaPrint can be used in endocrine therapy planning for the first five years, and now for extended endocrine therapy as well.”
[dropcap]T[/dropcap]he 80-gene BluePrint is a subtyping assay developed by Agendia using a supervised gene expression clustering analysis beginning with the use of IHC and FISH, as well as single-gene mRNA expression, to ask from the transcriptome which genes adequately and accurately identify luminal-type, HER2-type, and basal-type tumors.
The clinical validation of BluePrint came with the NBRST trial of 1,072 patients who were to receive neoadjuvant therapy based on IHC/FISH using preoperative core biopsy samples. That same core biopsy sample was subjected to MammaPrint and BluePrint, and the outcomes were compared. There was a 22 percent discordance between the classification by IHC and by genomic profiling, Dr. Audeh said, and this discordance played a role in predicting which patients would achieve a pathologic complete response. The groups in which this discordance was primarily seen were the HER2-positive cancers that were genomically more dominantly driven by luminal or basal biology and the estrogen-positive cancers by IHC that were genomically basal with little or no estrogen signal.
For estrogen-positive cancers by IHC, the overall pathologic complete response to neoadjuvant chemotherapy was 10 percent. “However, when one applies MammaPrint and BluePrint to further stratify these patients, what you see are the pathologic complete response rates of two percent for luminal A, 5.6 percent for luminal B, and a very different pathologic complete response of 34 percent for the group that is genomically basal by BluePrint.” In this cohort, 13 percent of all the hormone-positive patients were reclassified as basal by BluePrint.
“With MammaPrint and BluePrint, we define luminal A as tumors that are low risk by MammaPrint and luminal in their BluePrint subtype, and we define luminal B as high risk by MammaPrint and luminal by BluePrint. The basal groups are nearly always high risk by MammaPrint. But by being basal through BluePrint, we are not detecting any hormonal signaling,” he said. When they limit their analysis to hormone-positive patients who are MammaPrint high-risk, the basal group makes up 29 percent.
When Dr. Audeh first saw this data, he suspected, as he said most clinicians would, that these ER-positive basal cancers were limited to the hormone-positive patients with the very low estrogen receptor expression by IHC. But that is not the case, he said, pointing to a scatterplot with all of the IHC levels for the ER-positive basal breast cancers. “While they do tend to cluster at the lower range of IHC, the range goes all the way up to 99 percent,” he said.
Progesterone receptor can also be positive, generally up to 50 percent. “So these receptors don’t definitively allow the identification of which patients are basal.” A comparison of pathologic complete response (pCR) rates between IHC-defined triple-negative cancers and BluePrint-defined ER-positive basal cancers reveals they are almost identical, compared with much lower pCR rates in luminal tumors by BluePrint, he said.
The longer term outcomes are also different. The five-year data were presented in San Antonio in 2020 in which the distant metastasis-free and overall survival outcomes were determined according to whether they had achieved a pCR (Whitworth P, et al. Cancer Res. 2021;81[suppl 4]:PD9-01). The basal tumors that achieved a pCR have an excellent outcome (93.7 percent probability of DMFS at five years), and, conversely, if they do not achieve a pCR, as with triple-negative breast cancers, the ER-positive basal cancers have a poor outcome (58.2 percent at five years). The probability of overall survival for ER-positive basal cancers that achieve a pCR is 82.1 percent, and for those that do not, 58.4 percent. “They behave in every way like triple-negative breast cancers,” he said of those that don’t achieve a pCR. “So we believe that BluePrint is essential to identifying these high-risk estrogen-receptor–positive breast cancers that are biologically and genomically in every way identical to triple-negative breast cancers, except for the fact that they express estrogen receptor protein, which appears to be nonfunctional.”
[dropcap]W[/dropcap]ith the onset of the pandemic, Dr. Hicks and colleagues at the University of Rochester Medical Center began to be involved in the profiling of core needle biopsies. The recommendation made to health care systems was to delay elective care, including breast cancer surgery. In response, the Society of Surgical Oncology and the COVID-19 Pandemic Breast Cancer Consortium of the American Society of Breast Surgeons released guidelines suggesting that, in some cases, the use of core biopsies for genomic testing could be helpful in making decisions about surgical versus neoadjuvant treatment.
“In dealing with a pandemic in our breast center,” Dr. Hicks said, “we’ve struggled with the following questions: Will genomics via core biopsy impact triaging patients who are essential versus nonessential for surgery under this current and difficult circumstance? And will early access to genomic test results lead to more efficient and effective breast cancer management decisions?”
The standard workflow in pathology at the URMC when evaluating core biopsies from newly diagnosed breast cancer patients would be to order ER, PR, HER2, and Ki-67 on the diagnostic core needle biopsy, and decisions on genomic profiling typically would remain postoperatively with tissue being sent from the resection specimen. “During the pandemic, we changed that workflow,” Dr. Hicks said. “We sent unstained slides for genomic profiling at the time the breast cancer biomarkers were ordered in hopes that genomic profile results would be back in time for the patient’s surgical consultation and treatment decisions.” This was part of a program called Preoperative Clinical Impact.
Between April and September 2020 they sent 211 specimens to Agendia for MammaPrint and BluePrint studies. Ten unstained slides were sent for genomic testing, and they were cut at the same time that the receptor testing was ordered. “We wanted to evaluate, first, the success rate of testing using these core biopsy tissues. What was the average turnaround time for results? Would results be available at the time of the surgical consult? And then what was the reclassification rate? How often were the genomics discordant with our clinical morphology and immunohistochemical results?” And finally, and probably the most challenging, he said: How often did this result influence treatment planning?
The reclassification rate—how often the results differed from their pathologic interpretation—was 32.3 percent (65/201). One ER-positive breast cancer came back with basal genomics (1/150). Of their triple-negative breast cancers, 16 percent came back as a luminal type (2/26 luminal A, 2/26 luminal B). Seventeen percent of the estrogen-receptor-negative, HER2-positive cancers came back as basal (1/6). Of the triple positives, 37 percent came back as luminal B (7/19) and five percent as luminal A (1/19). “And for what we would consider clinical high-risk tumors that were T2 and above and lymph node-positive, 39 percent came back as a luminal A subtype [26/67]. Of our clinically low-risk group, 62 percent came back as MammaPrint ultra-low [16/26].”
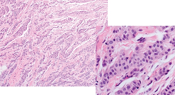
Dr. Hicks shared cases of these reclassifications that reveal how the genomics influenced their thinking. The first was that of a 74-year-old postmenopausal woman with no family history. She had an 8-mm mass on routine mammography, and a core needle biopsy was performed. “It’s an invasive carcinoma of an intermediate histologic grade. It has abundant eosinophilic cytoplasm, and a suggestion of some apocrine features.” (Fig. 2).
The immunohistochemical panel came back ER-negative, PR-negative, and HER2-negative, “so the response on the part of the clinicians would be aggressive and would elicit thoughts about neoadjuvant chemotherapy.” The genomics came back with a luminal A molecular subtype and a MammaPrint low-risk. Neoadjuvant chemotherapy would be unlikely to have a good pathological response, according to the report. “So a very different genomic profile compared with our pathology,” Dr. Hicks said. This elicited an immediate call from the oncologist who wanted an explanation.
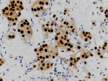
The pathology did provide hints, Dr. Hicks said. “This did not look like a typical basal phenotype breast cancer. It was an intermediate histologic grade, and it had apocrine features. So we performed an androgen receptor test, and all of the tumor cells were strongly positive for androgen receptor [Fig. 3]. What this case represents is an example of a luminal androgen receptor subtype of breast cancer, an unusual subset of triple-negative breast cancers that behave very differently from the typical triple negative.”
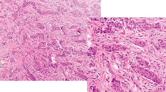
The second case is that of a 72-year-old postmenopausal woman who had a palpable mass that was 3.0 cm and a family history (sister with breast cancer). A core needle biopsy was performed. She had an invasive carcinoma of intermediate histologic grade (Fig. 4).
Her tumor showed fairly strong expression of estrogen receptor (Fig. 5). The progesterone receptor was negative, HER2 was negative, and the Ki-67 proliferative index was fairly high. “By immunohistochemical subtyping, I would consider this a luminal subtype of breast cancer, probably a luminal B.” The genomics indicated a basal type with a MammaPrint high-risk. “So this would be one of those ER-positive basal breast cancers you heard about from Dr. Audeh.” Unlike what they anticipated from the immunohistochemistry, he said, the response to neoadjuvant chemotherapy in a patient with these genomics would be much closer to what one would expect from basal-type breast cancer.
“So we found that this accelerated utility workflow worked very well.” The genomic profiling has been an important step, he said, in optimizing risk stratification and treatment selections.
“And the pathologist has a role in helping to interpret this information in the morphologic context for the patient’s cancer. The genomic testing did play an important role in our treatment planning during the pandemic, and it was frequently discussed at tumor board. And I would receive calls from surgeons and medical oncologists.”
The approach has great potential for clinical utility beyond the pandemic, he said. “And our breast center right now is in active discussions about how we want to use this going forward.”
[dropcap]A[/dropcap]gendia collaborates on several research protocols, one of which is the I-SPY trial, a neoadjuvant therapy trial seeking biomarkers for prediction of response. They have elected in their study design to use MammaPrint as a genomic screen for their hormone-positive patients. They will only enroll high-risk MammaPrint patients when they’re seeking pathologic complete response rates as their endpoint. Data generated by I-SPY and presented at a 2018 AACR meeting shows that as the MammaPrint index becomes higher in the high-risk range, the likelihood of a pathologic complete response goes up, indicating there is an association between MammaPrint risk and chemosensitivity (van’t Veer L, et al. Eur J Cancer. 2018;103[suppl 1]:e15–e16).
The most important finding is that the highest end of the MammaPrint high-risk range, known as High 2 or MP2, has clinical meaning. That was displayed in one of the I-SPY trials published last year, in which standard-of-care chemotherapy (paclitaxel) was compared to the experimental arm in which two targeted therapies were used—immune checkpoint inhibitor durvalumab and PARP inhibitor olaparib—in combination with chemotherapy (Pusztai L, et al. Cancer Res. 2020;80[16 suppl]:CT011). MammaPrint High 2 was found to predict IO/PARP response in ER-positive breast cancer. “And we believe this will become a helpful biomarker for identifying ER-positive patients who may benefit from immunotherapy,” Dr. Audeh said. As with the low-risk range in MammaPrint, he added, they now have additional information in the high-risk range.
“And now as we split MammaPrint high-risk into High 1 and High 2, we also have these intriguing findings from I-SPY showing that these High 2 or ultra-high-risk MammaPrint patients are not only the most chemosensitive patients, but also they appear to have more sensitivity to immune checkpoint inhibitors such as pembrolizumab as well as PARP inhibitors and possibly even carboplatin.”
That leaves, as a subject for future research, the rest of the MammaPrint high-risk patients who are in the High 1 range, patients who need more than chemotherapy and endocrine therapy. “We believe this may be the group that may most benefit from CDK 4/6 inhibitors subject to future research that Agendia is undertaking.” Agendia’s FLEX study—it uses whole transcriptome data to expand breast cancer knowledge—enrolls all early-stage breast cancer patients, on whom MammaPrint and BluePrint are performed. “In the same run, in the same platform, with the same tissue sample, we are also able to obtain entire transcriptome data on each of these patients.” As part of this IRB-approved patient consent to trial, they also obtain multiple clinical data points and annotate the database. This database is then made available to their investigators around the country for substudies analyzing the subgroups within breast cancer.
Sherrie Rice is editor of CAP TODAY. The full webinar, made possible by a special educational grant from Agendia, is at https://www.captodayonline.com/combining-pathology-mammaprint-and-blueprint-to-inform-diagnostic-workup-and-treatment-planning-for-er-patients/.