Lisa Yerian, MD
February 2015—CAP Press’ new Atlas of Transplant Pathology is now out. We spoke with its editors and a contributor last month; this month we bring to you one of its 56 chapters. To order a print book (PUB124), go to www.cap.org (“Shop” tab) or call 800-323-4040 option 1. For members, $76; for nonmembers, $95. To order an ebook, go to ebooks.cap.org ($65).
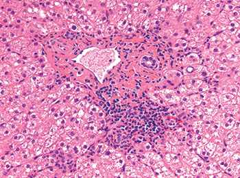
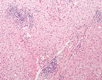
Protocols for histologic evaluation of potential donor livers for steatosis and other pathology vary by center. This assessment may be performed by frozen section at the time of organ evaluation, “back-table” or postreperfusion “time-zero” biopsies, or routine biopsy of potential living donors during evaluation for organ donation. Mild mononuclear portal inflammatory cell infiltrates (Fig. 3.1.1), bile ductular proliferation (Fig. 3.1.2), and cholestasis (Fig. 3.1.3) are nonspecific findings and do not preclude successful transplantation.
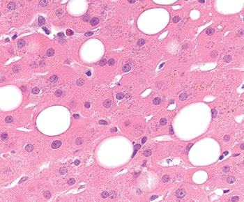
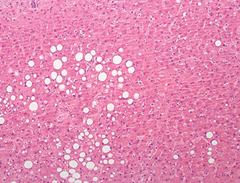
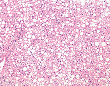
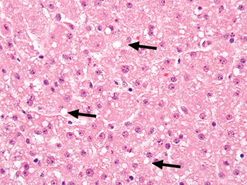
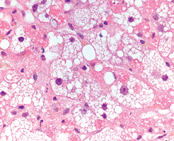
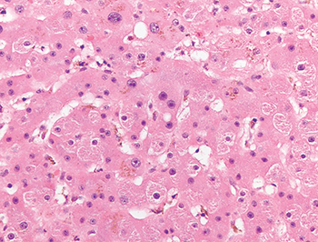
Hepatic steatosis is assessed as the percentage of the biopsy involved by macrovesicular or “large-droplet” steatosis. In macrovesicular steatosis, one or a few large fat droplets displace the nucleus to the edge of the hepatocyte (Fig. 3.1.4). Frozen section may be used to assess potential graft organs for steatosis because steatosis cannot be reliably assessed by gross evaluation, and moderate or severe steatosis has been associated with increased risk of poor or delayed graft function in some series. There is no uniformly acceptable amount of steatosis, and reported graft and patient outcomes for steatotic livers vary widely. Grafts with less than 30% steatosis are usually considered suitable for transplantation (Fig. 3.1.5), whereas those with greater than 30% (Fig. 3.1.6) or even greater than 60% (Fig. 3.1.7) are less desirable but have been used successfully in some circumstances. Special stains for fat (oil red O) may be used in steatosis assessment but are not required. “Small-droplet” steatosis refers to a single or few small lipid droplets that do not displace the nucleus (Fig. 3.1.8). This finding alone does not adversely impact graft function. Pure microvesicular steatosis is a rare finding that manifests as multiple tiny lipid droplets that surround the nucleus and impart a foamy or vesicular appearance to the hepatocyte cytoplasm (Fig. 3.1.9). Pure microvesicular steatosis likely represents an agonal or ischemic change that does not impact graft function.
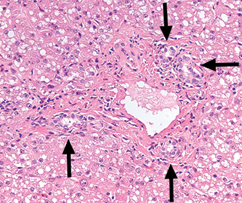
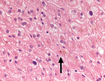
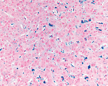
Extended-criteria grafts do not meet standard donation criteria due to factors that increase the risk of early graft failure or predispose to inferior graft or patient survival. Examples include steatotic livers, livers harvested after cardiac death, and organs from hepatitis-C–positive donors (Fig. 3.1.10) or donors of advanced age. These organs are offered to patients who will not, or likely will not, receive a standard criteria graft due to advanced donor age, tumor burden, or low graft availability. Frozen sections may be performed to assess these organs for advanced scarring, vascular pathology, or other abnormalities. While precise staging of fibrosis requires a trichrome stain, advanced scarring is generally apparent and can be visualized more easily with use of polarized light. A host of other unusual and unexpected findings, including alpha-1 antitrypsin deficiency, amyloidosis, histoplasmosis, and varying degrees of iron overload (Fig. 3.1.11 and 3.1.12), have also been reported in living and cadaveric donor livers. While a few cases of “recurrent” iron overload have been reported with use of hemochromatotic donor livers, in other reports organs with iron and other pathologies such as alpha-1 antitrypsin deficiency have been used successfully.
- Chavin KD, Taber DJ, Norcross M, et al. Safe use of highly steatotic livers by utilizing a donor/recipient clinical algorithm. Clin Transplant. 2013;27:732–741.
- de Graaf EL, Kench J, Dilworth P, et al. Grade of deceased donor liver macrovesicular steatosis impacts graft and recipient outcomes more than the Donor Risk Index. J Gastroenterol Hepatol. 2012;27:540–546.
- Deroose JP, Kazemier G, Zondervan P, et al. Hepatic steatosis is not always a contraindication for cadaveric liver transplantation. HPB (Oxford). 2011;13:417–425.
- Lo IJ, Lefkowitch JH, Feirt N, et al. Utility of liver allograft biopsy obtained at procurement. Liver Transpl. 2008;14:639–646.
- Melin C, Miick R, Young NA, Ortiz J, Balasubramanian M. Approach to intraoperative consultation for donor liver biopsies. Lab Med. 2013;137:270–274.
- Minervini MI, Ruppert K, Fontes P, et al. Liver biopsy findings from healthy potential living liver donors: reasons for disqualification, silent diseases and correlation with liver injury tests. J Hepatol. 2009;50:501–510.
- Yersiz H, Lee C, Kaldas FM, et al. Assessment of hepatic steatosis by transplant surgeon and expert pathologist: a prospective, double-blind evaluation of 201 donor livers. Liver Transpl. 2013;19:437–439.
[hr]
Dr. Yerian is director of hepatobiliary pathology at the Cleveland Clinic.











