June 2014

CAP TODAY and the Association for Molecular Pathology have teamed up to bring molecular case reports to CAP TODAY readers. Here, this month, is the fourth such case. (See the February, August, and September 2013 issues for the first three.) AMP members write the reports using clinical cases from their own practices that show molecular testing’s important role in diagnosis, prognosis, treatment, and more. Case report No. 4 comes from the Department of Pathology and Laboratory Medicine, Hospital of the University of Pennsylvania. If you would like to submit a case report, please send email to the AMP at amp@amp.org. For more information about the AMP, visit www.amp.org.
[hr]
Using molecular techniques to confirm donor-derived post-transplant lymphoproliferative disorder (diffuse large B-cell lymphoma of CNS)
Gordana L. Katava, DO
Michele Donato, MD; Tao Hong, PhD
Ciaran Mannion, MD
Pritish K. Bhattacharyya, MD
Post-transplantation lymphoprolif-erative disorders (PTLD) encompass a spectrum of neoplasms, ranging from benign hyperplasia to non-Hodgkin lymphoma and Hodgkin lymphoma. Epstein-Barr virus is postulated to play a key role in the pathogenesis of PTLD in patients who were previously EBV negative. This is a case report of a 52-year-old female, status post unrelated bone marrow transplant for myelofibrosis, who developed primary central nervous system diffuse large B-cell lymphoma, post-transplantation. To confirm that the CNS lymphoma was PTLD, molecular testing was performed, including EBER (EBV messenger RNA) in situ hybridization and STR (short tandem repeat)-based chimerism by multiplex PCR. These tests confirmed that the diffuse large B-cell lymphoma was of donor origin.
Introduction
Post-transplantation lymphoproliferative disorders are subcategorized into four different categories: 1) early lesions, including plasmacytic hyperplasia and infectious mononucleosis-like PTLD, 2) polymorphic PTLD, 3) monomorphic PTLD including diffuse large B-cell lymphoma, and 4) classical Hodgkin-like PTLD.1 Most of the neoplasms are Epstein-Barr virus driven, as it is postulated to play a role in pathogenesis. The incidence of PTLD is directly related to the degree of immune suppression.2 The incidence is lowest in kidney transplant recipients and highest in patients receiving heart/lung and small bowel transplants.3 EBV-naïve individuals status post solid organ transplant with a primary infection are at highest risk of PTLD,3 and the majority of cases of PTLD in bone marrow allograft recipients occur within the first six months.1 CNS-PTLD is especially rare and no treatment is available, other than to decrease or stop immunosuppressive therapy. Whole brain radiation may be attempted. PTLD can be donor or recipient driven, with the majority of PTLD cases occurring in bone marrow transplantation recipients being donor driven. As demonstrated in this case report, molecular testing is useful to confirm donor or recipient origin, thereby serving to determine the most appropriate treatment modality.
Case report
A 52-year-old female with a diagnosis of myelofibrosis underwent a mismatched unrelated bone marrow transplantation. The patient was placed on tacrolimus, an immunosuppressive therapy. At three months post-transplantation, she was treated with methylprednisolone for management of graft-versus-host disease. In the course of her clinical workup, the patient was found to be EBV positive, cytomegalovirus positive, and BK virus (a polyomavirus) positive by PCR. She was treated with ganciclovir, rituximab, and foscarnet. One month later, the patient was CMV negative but had BK-virus–associated hemorrhagic cystitis, requiring bilateral stent placement. One month later, the patient became disoriented and had altered mental status. She was referred by her infectious disease physicians to the transplant team to rule out PTLD. MRI of the brain revealed multiple areas of abnormalities without enhancement. A subsequent brain biopsy showed diffuse large B-cell lymphoma. Given the clinical setting, this process was considered to be PTLD. EBV studies were initiated, and the EBER-ISH was positive. STR chimerism by multiplex PCR was performed and revealed that the lymphoma was donor derived (see Fig. 1, distinct different alleles in panel B compared with recipient alleles in panel A in electropherogram). Since post stem cell transplant PTLDs are donor derived, the patient was started on methotrexate with hydration, and complete systemic workup was performed for diffuse large B-cell lymphoma. She commenced allopurinol and rituximab, with a decrease in her immunosuppressive therapy. One month after the initiation of these treatment changes, there was a decrease in bifrontal, basal ganglia and right temporal hypodensities on MRI.
Discussion

B) Donor DNA in the lymphoma.
Post-transplant lymphoproliferative disorders encompass a heterogeneous group of lymphoid proliferations that occur in the post-transplantation setting, either bone marrow or solid organ transplantation. The spectrum ranges from reactive lesions, consisting of polymorphic B-cell population, to neoplastic lesions of plasmacytic differentiation and non-Hodgkin B-cell or T-cell lymphoma, as well as classical Hodgkin lymphoma-like PTLD.1,2 The incidence appears to be related to the degree of immunosuppression2 with the incidence lowest after kidney transplantation and highest after heart/lung and small bowel transplantation.3 The risk in bone marrow transplants is highest with unrelated or HLA-mismatched related donors.1 Before transplantation, patients are placed on immunosuppressants depending on the type of transplant. This predisposes the patients to infections, including EBV and other viruses. When human T cells are suppressed, the proliferative potential of lymphoproliferative disorders of latency infected B cells by EBV may result in PTLD.3 The risk of PTLD appears to be highest following EBV infections in hitherto EBV-naïve, solid organ transplant recipients.3 The majority of cases of PTLD in bone marrow allograft recipients develop within the first six months following transplantation.1 In addition to EBV, CMV infection has also been associated with an increased risk of PTLD.4 PTLD can be either donor or recipient in origin, and several methods have been employed to determine the origin of tumor cells in PTLD, including STR chimerism analysis.

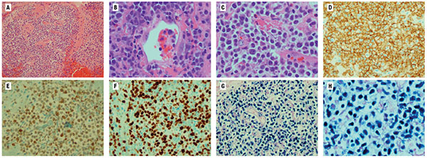
CNS-PTLD is a rare condition. Other than reducing or discontinuing immunosuppressive therapy, there are very few treatment options.4 Methotrexate offers some positive results, and rituximab is effective in systemic PTLD without CNS involvement, but does not cross the blood-brain barrier.4 At the time of admission, the working differential diagnosis in this patient was CNS lymphoma or viral encephalitis. MRI showed multiple abnormalities without enhancement. Brain biopsy was performed and revealed diffuse large lymphoid cells that were CD20 positive and BCL-2 positive, consistent with diffuse large B-cell lymphoma, with a proliferation index (based on Ki-67 immunohistochemical staining of tumor nuclei) of 50 to 60 percent. With a preliminary working diagnosis of CNS-PTLD, methotrexate was immediately started. EBER-ISH (EBV-encoded messenger RNA by in situ hybridization) was performed and showed positivity, confirming EBV-associated PTLD lymphoma (Fig. 2). Chimerism analysis, using STR-based multiplex PCR, revealed donor DNA in the lymphoma as compared with recipient DNA retrieved from a swab of the buccal mucosa (Fig. 1). In contrast to solid organ transplant PTLD, which is recipient DNA derived, most post-allogeneic bone marrow transplant PTLDs are donor derived.
Conclusion
This case emphasizes the role of molecular techniques in confirming a diagnosis of donor-derived post-transplantation lymphoproliferative disorder, following bone marrow transplantation. It also emphasizes the importance of this determination, given the differences in treatment of PTLD of recipient origin versus PTLD of donor origin.
- Swerdlow SH, Campo E, Harris NL, et al. WHO Classification of Tumours of Haematopoietic and Lymphoid Tissues. 4th ed. Lyon, France: International Agency for Research on Cancer; 2008.
- Ng IO, Shek TW, Thung SN, et al. Microsatellite analysis in post-transplantation lymphoproliferative disorder to determine donor/recipient origin. Mod Pathol. 2000;13(11):1180–1185.
- Knight JS, Tsodikov A, Cibrik DM, et al. Lymphoma after solid organ transplantation: risk, response to therapy, and survival at a transplantation center. J Clin Oncol. 2009;27(20):3354–3362.
- Yaginuma T, Yamamoto H, Mitome J, et al. Successful treatment of monomorphic primary central nervous system post-transplantation lymphoproliferative disorder 5 years after kidney transplantation. Transpl Infect Dis. 2012;14(5):E102–E106.
[hr]
Dr. Katava is a PGY3 resident in anatomic and clinical pathology at the University of Medicine and Dentistry of New Jersey, Newark. Dr. Donato is medical director of the Blood and Marrow Collection Facility at John Theurer Cancer Center, Dr. Hong is chief of microbiology and molecular diagnostics, Dr. Mannion is chairman of the Department of Pathology and Laboratory Medicine, and Dr. Bhattacharyya is director of hematopathology and molecular pathology—all at Hackensack University Medical Center, Hackensack, NJ.