Erik R. Washburn, MD
Elizabeth E. Frauenhoffer, MD
Rina Kansal, MD
June 2016—CAP TODAY and the Association for Molecular Pathology have teamed up to bring molecular case reports to CAP TODAY readers. AMP members write the reports using clinical cases from their own practices that show molecular testing’s important role in diagnosis, prognosis, and treatment. The following report comes from Penn State Milton S. Hershey Medical Center and Penn State College of Medicine. If you would like to submit a case report, please send an email to the AMP at amp@amp.org. For more information about the AMP and all previously published case reports, visit www.amp.org.
Mesenchymal neoplasms are typically characterized by gene fusions that occur due to chromosomal translocations, detection of which leads to a precise diagnosis.1 Among soft tissue sarcomas, these specific chromosomal translocations include the t(X;18)(p11;q11) for synovial sarcoma, t(11;22)(q24;q12) or t(21;22)(q22;q12) for Ewing tumor family (ES-PNET), and t(2;13)(q35;q14) or t(1;13)(p36;q14) for alveolar rhabdomyosarcomas. Molecular diagnostic tests have contributed immensely to accurate and specific diagnosis of soft tissue sarcomas,1,2 in part due to the limited utility of immunohistochemical stains.3 Synovial sarcoma (SS) is an aggressive sarcoma with a propensity for late local recurrence and metastasis. After rhabdomyosarcoma, SS is the second most common soft tissue sarcoma in children and adolescents. SS accounts for between five and 10 percent of all soft tissue sarcomas and most commonly occurs as a deep-seated tumor within the upper and lower extremities of older children and young adults.4 SS can display a variable degree of epithelial differentiation with a biphasic or monophasic pattern histologically. Greater than 90 percent of SS cases harbor a specific chromosomal translocation t(X;18)(p11;q11), leading to the formation of the SS18-SSX fusion gene, which can be identified definitively by molecular methods.1,2,5,6
We present a case of a 16-year-old female with a poorly differentiated synovial sarcoma, where the diagnosis was established by molecular diagnostic techniques, including reverse transcriptase polymerase chain reaction (RT-PCR) for detecting the SS18-SSX2 fusion transcript, and fluorescence in situ hybridization (FISH) for demonstrating the absence of EWSR1 gene rearrangement.

Case. A 16-year-old Hispanic female presented with a one-month history of proximal right thigh pain. Ultrasound showed a deep vein thrombosis in the right common femoral vein and a large complex mass in the right groin. Magnetic resonance imaging revealed an enhancing 9.3 × 8.9 × 7.2 cm mass of the right inguinal region, involving the adductor longus and adductor brevis musculature, with central necrosis. A 7.3 × 5.4 × 4.8 cm peripherally enhancing necrotic right common iliac lymph node was present, with no evidence of metastatic disease.
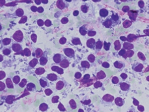
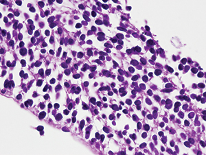
A CT-guided fine needle aspiration and core needle biopsy of the right inguinal mass demonstrated monotonous, overlapping, hyperchromatic ovoid spindle cell nuclei consistent with malignant small round blue cell tumor (Fig. 1). The core biopsy showed loosely cohesive groups of round-to-spindled cells with extensive necrosis (40 percent) within a fibrous background (Fig. 2). Tumor cells stained moderately for CD99, strongly for vimentin, with no staining for desmin, muscle specific actin, S100, CAM 5.2, or epithelial membrane antigen. Based on the histologic features and immunohistochemical staining, the differential diagnosis included extra-skeletal Ewing’s sarcoma and SS. Formalin-fixed, paraffin-embedded tumor tissue blocks were sent to Mayo Clinical Laboratories for RT-PCR and FISH studies, which were performed using previously described methods.7,8 The SS18-SSX2 fusion transcript, characteristic of SS, was detected by RT-PCR (Fig. 3). FISH showed absence of EWSR1 gene rearrangement, excluding Ewing’s sarcoma. The patient was given neoadjuvant chemoradiation therapy as per Children’s Oncology Group protocol ARST0332. A right external hemipelvectomy was performed, showing 94 percent tumor necrosis in the main tumor and 100 percent necrosis in the metastatic lymph node. At 17 months post therapy, the patient has no evidence of tumor recurrence.

Discussion. In this case, the histologic and cytomorphologic appearance of poorly differentiated SS closely resembled other sarcomas, in particular ES-PNET and rhabdomyosarcoma. By immunohistochemistry, negativity for the muscle specific markers excluded rhabdomyosarcoma. Ewing’s sarcoma could not be excluded, however, since CD99 and keratin can be expressed in both Ewing’s and SS.3,5
While most pediatric sarcomas may require a combination of neoadjuvant chemotherapy, radiation, surgery, and long-term follow-up, the specific protocols may differ depending on the type of sarcoma.9 Therefore, precise diagnosis, achieved by molecular or cytogenetic methods, is critical. The SS tumor-specific t(X;18)(p11;q11) translocation can be identified by conventional cytogenetic karyotypic analysis.10 While a cytogenetic analysis provides a global analysis of all chromosomes and can detect any additional secondary cytogenetic abnormalities, it requires a 1- to 2-cm3-sized fresh, viable, non-necrotic tumor sample, which is possible to obtain only from resection specimens and is not feasible from small needle core biopsies, as in this case. For formalin-fixed, paraffin-embedded tissues, a molecular cytogenetic assay such as FISH or a molecular method such as RT-PCR may be used to identify specific fusion genes or the fusion transcript, respectively.11,12 Both FISH and RT-PCR are designed to detect only a specific molecular genetic abnormality, without examining the remainder of the genome (complete chromosomes) in the analyzed tissues.

To identify gene fusions, FISH is performed using locus-specific probes, which are gene-specific complementary sequences of DNA that hybridize with the specific gene targets in the analyzed tissue.8,13 The translocation in SS involves the SS18 gene on chromosome 18 and one of several genes (usually SSX1 or SSX2 and, much less commonly, SSX4) on the X chromosome and results in formation of the SS18-SSX oncogenes.1,2,4 RT-PCR is a rapid, highly specific, and sensitive technique requiring extraction of tumor RNA, preferably from snap-frozen tissue to yield better RNA integrity, followed by reverse transcription to DNA, and finally PCR for DNA amplification utilizing primers flanking the chimeric gene to be detected.6,7 In fixed tissues, RNA integrity depends on the fixative and the time interval between the surgery and the tissue fixation, thus requiring an assay control (housekeeping gene to be amplified). In our case, primers specific for SS18 and SSX were used, and the amplified product was analyzed via electrophoresis and compared with appropriate positive and negative controls (Fig. 3).7 Table 1 shows a comparison of RT-PCR and FISH assays in detecting the SS18-SSX fusion transcripts in SS.
Approximately two-thirds of SS cases have the SS18-SSX1 fusion, and one-third carry the SS18-SSX2 fusion. Most biphasic SS have the SS18-SSX1, and monophasic tumors may have either fusion. Earlier studies showed significantly improved prognosis with the SS18-SSX2 fusion; however, more recent studies have shown that the SS18-SSX fusion type is not a significant factor in prognosis.4,14
To summarize, the use of RT-PCR and FISH assays for the detection of the SS18-SSX fusion is the gold standard for the diagnosis of SS. These assays can be used with limited available tissue, as with fine needle core biopsies, and can be applied to formalin-fixed, paraffin-embedded tissues, in contrast to cytogenetic analysis that requires fresh, viable tissue.
The authors would like to thank André M. Oliveira, MD, PhD, of Mayo Clinic, Rochester, Minn., for kindly providing the image for the RT-PCR assay and the FISH and RT-PCR procedural references.
- Antonescu CR. The role of genetic testing in soft tissue sarcoma. Histopathology. 2006;48(1):13–21.
- Smith SM, Coleman J, Bridge JA, Iwenofu OH. Molecular diagnostics in soft tissue sarcomas and gastrointestinal stromal tumors. J Surg Oncol. 2015;111(5):520–531.
- Olsen SH, Thomas DG, Lucas DR. Cluster analysis of immunohistochemical profiles in synovial sarcoma, malignant peripheral nerve sheath tumor, and Ewing sarcoma. Mod Pathol. 2006;19(5):659–668.
- Thway K, Fisher C. Synovial sarcoma: defining features and diagnostic evolution. Ann Diagn Pathol. 2014;18(6):369–380.
- Fletcher CDM, Bridge JA, Hogendoorn PCW, Mertens F, eds. WHO Classification of Tumours of Soft Tissue and Bone. 4th ed. Lyon, France: WHO Press; 2013.
- Tsuji S, Hisaoka M, Morimitsu Y, et al. Detection of SYT-SSX fusion transcripts in synovial sarcoma by reverse transcription-polymerase chain reaction using archival paraffin-embedded tissues. Am J Pathol. 1998;153(6):1807–1812.
- Jin L, Majerus J, Oliveira A, et al. Detection of fusion gene transcripts in fresh-frozen and formalin-fixed paraffin-embedded tissue sections of soft-tissue sarcomas after laser capture microdissection and RT-PCR. Diagn Mol Pathol. 2003;12(4):224–230.
- VYSIS EWSR1 break apart FISH probe kit. Abbott Molecular website. https://www.abbottmolecular.com/products/vysis-ewsr1-break-apart-fish-probe-kit.html. Accessed Jan. 21, 2016.
- Hawkins DS, Spunt SL, Skapek SX; COG Soft Tissue Sarcoma Committee. Children’s Oncology Group’s 2013 blueprint for research: Soft tissue sarcomas. Pediatr Blood Cancer. 2013;60(6):1001–1008.
- Sandberg AA. Cytogenetics and molecular genetics of bone and soft-tissue tumors. Am J Med Genet. 2002;115(3):189–193.
- Guillou L, Coindre J, Gallagher G, et al. Detection of the synovial sarcoma translocation t(X;18)(SYT;SSX) in paraffin-embedded tissues using reverse transcriptase-polymerase chain reaction: A reliable and powerful diagnostic tool for pathologists. Hum Pathol. 2001;32(1):105–112.
- Ten Heuvel SE, Hoekstra HJ, Suurmeijer AJ. Diagnostic accuracy of FISH and RT-PCR in 50 routinely processed synovial sarcomas. Appl Immunohistochem Mol Morphol. 2008;16(3):246–250.
- Cerrone M, Cantile M, Collina F, et al. Molecular strategies for detecting chromosomal translocations in soft tissue tumors (review). Int J Mol Med. 2014;33
(6):1379–1391. - Kubo T, Shimose S, Fujimori J, Furuta T, Ochi M. Prognostic value of SS18-SSX fusion type in synovial sarcoma; systematic review and meta-analysis. Springerplus. 2015;4:375.
- Szuhai K, Cleton-Jansen AM, Hogendoorn PC, Bovée JV. Molecular pathology and its diagnostic use in bone tumors. Cancer Genet. 2012;205(5):193–204.
- Amary MF, Berisha F, Bernardi FDC, et al. Detection of SS18-SSX fusion transcripts in formalin-fixed paraffin-embedded neoplasms: analysis of conventional RT-PCR, qRT-PCR and dual color FISH as diagnostic tools for synovial sarcoma. Mod Pathol. 2007;20(4):482–496.
[hr]
Dr. Washburn is a PGY 2 resident in anatomic and clinical pathology, Dr. Frauenhoffer is a professor of pathology and orthopedics and unit director of bone and soft tissue pathology, and Dr. Kansal is an associate professor of pathology and medical director of the diagnostic molecular laboratory—all in the Department of Pathology and Laboratory Medicine at Penn State Milton S. Hershey Medical Center, Penn State College of Medicine, Hershey, Pa.