Karen Lusky
July 2020—When patients who have colorectal cancer surgery at another institution seek further care at Beth Israel Deaconess Medical Center in Boston, the Beth Israel pathologists routinely request the original slides. Raul S. Gonzalez, MD, a gastrointestinal pathologist at Beth Israel, says he usually agrees with everything the outside pathologist reports. But if there are differences, lymph nodes versus tumor deposits is one place where he might disagree.
Tumor deposits can’t always be distinguished from positive lymph nodes, and definitive criteria for calling them remain elusive, says Dr. Gonzalez, associate professor of pathology, Harvard Medical School.
The interobserver variability for a lymph node involved by cancer versus a tumor deposit in colorectal adenocarcinoma is higher than pathologists would like, he says. “There are some variables we can assess that may help us lean toward one or the other. Sometimes it is obvious. Sometimes it is difficult.” And some, he says, “are just difficult scenarios where there is not necessarily a correct answer. It’s just whatever a combination of your brain and your gut come up with.”
Dr. Gonzalez made these points in a recent CAP TODAY interview about his talk on tumor deposits, which was part of a CAP19 session, “Stains, Deposits, and Buds: Update on Prognostic Factors in Colorectal Carcinoma.”
“Why do these tumor deposits matter?” he asks. “Why do we need to evaluate them? Why are they incorporated in staging?” Almost every study looking at tumor deposits has found, he says, that a tumor deposit is a “stage independent indicator of decreased patient survival.”
He describes a tumor deposit as a local metastasis of the colon cancer into soft tissue. “It’s a discrete, discontinuous focus of the carcinoma that is separate from the primary mass,” he says. The metastasis will be based in the peripheral connective tissue, “the subserosa, mesentery, or non-peritonealized pericolic or perirectal tissue.”
Pathologists typically will see tumor deposits in those sections at the end where they “put out all of the lymph nodes, and all the fat is there,” he says. In some instances, pathologists may see the deposits “kind of underneath the cancer itself in the sections from the main mass.”
It’s important to differentiate tumor deposits from their impostors, he says, “namely, positive lymph nodes, foci of lymphovascular invasion, tumor still within a blood vessel, perineural invasion, or a direct kind of snaking, continuous extension from the primary tumor itself. There are currently no size, shape, contour, or distance criteria.” (For an image of tumor deposit and lymph node side by side, see Jin M, et al. Surg Oncol Clin N Am. 2018;27[2]:401–412.)
How frequently will pathologists encounter tumor deposits when examining colon cancer resections? he asks. “Several different studies have reported different incidence rates, but it’s in the ballpark of 10 to 20 percent of colon cancers having these tumor deposits. Of that, only a sliver—two to three percent overall—are going to have these tumor deposits without also having positive lymph nodes.” Most often, pathologists see these tumor deposits in more aggressive colon cancers with adverse prognostic features—lymphovascular invasion, perineural invasion, and positive lymph nodes. Seldom is a tumor deposit going to be the only adverse factor in a colon cancer, he says, though that will happen in a small percent of cases.
A study of nearly 700 cases revealed that patients who have tumor deposits do worse, whether or not they had positive lymph nodes, or the tumors were colonic or rectal, pT3 or pT4 (Ueno H, et al. Am J Surg. 2014;207[1]:70–77).
Another study including 150 stage III colon cancers found a significant link between tumor deposits and diminished patient survival, and a heightened risk of recurrence (Landau MA, et al. Int J Surg Pathol. 2019;27[2]:147–158).
In a meta-analysis, the colon cancer patients without tumor deposits generally did better (Nagtegaal ID, et al. J Clin Oncol. 2017;35[10]:1119–1127). Essentially, what the meta-analysis said, Dr. Gonzalez says, “is if you have a tumor deposit, the increase in potential for a bad outcome is similar or slightly worse than the risk of having a positive lymph node or extramural vascular invasion.”
Tumor deposits are relatively easy to look at in regular colon cancer that goes right to resection. Yet for rectal cancers for which the patient undergoes neoadjuvant therapy before resection, it’s possible that what looks like a focus of residual tumor tissue deep to the main cancer might have initially been clearly continuous with the cancer itself, Dr. Gonzalez warns. Some of the cancer may have died off owing to neoadjuvant therapy and some has not. “That is why you would have what appears to be a discrete discontinuous focus,” he says. One of the two major studies on this said pathologists should count these as tumor deposits, and the other study said they shouldn’t. “So, it’s still to be determined, but that’s something to keep in mind, if you have a rectal cancer treated with neoadjuvant therapy that has what appears to be a tumor deposit.”
Pathologists want to use tumor deposits when staging colorectal cancer patients using the AJCC criteria, Dr. Gonzalez notes, and “the criteria and the implications for them have changed fairly significantly over the past 20 years” (Jin M, et al. Surg Oncol Clin N Am. 2018;27(2):401–412). The fifth edition of AJCC in 1997 was the first to include the concept of tumor deposits. “And all it said was look at the size. If the nodule tumor is greater than three millimeters, it’s a positive lymph node. Just call it a lymph node.” However, if the nodule is smaller than or equal to 3 mm, “it’s discontinuous extension, and that might bump up your T category staging.”
The AJCC sixth edition in 2002 is where the contour rule was added. “If it’s nice and round, really looks like it was probably a lymph node in a prior life, you can call it a lymph node, put it in the N category. Otherwise, call it a discontinuous extension and have it count in the T category.
“Now for the seventh [2010] and the current eighth [2018] editions, they have done away with all of that, and tumor deposits are only going to potentially influence the nodal category, the N staging,” Dr. Gonzalez says. “So, if you can clearly see histologic evidence of residual node, then you would call it a lymph node metastasis.” If not, he says, call it a tumor deposit. “And now there is this category called N1c, which is kind of where you tuck tumor deposits away.”
In the eighth edition, N1 disease is separated into three categories: N1a for one positive lymph node, N1b for two or three positive lymph nodes, and N1c for at least one tumor deposit and no positive nodes. “It could be one, it could be 500” tumor deposits, he says of N1c. AJCC now says to “state whether there are one to four, or five or more, deposits, but that won’t additionally factor into the N1 status of the tumor,” he says.
He admits it “seems a little funny” to ignore the deposits if any nodes are positive, “but at least it is something, and it does appear that the N category is the best home for these tumor deposits.”
Several studies have attempted to gauge whether this N1c approach is optimal. “And, honestly, it’s probably not,” Dr. Gonzalez acknowledges. “It’s sort of the best we have at the moment but, for example, various studies have looked at tumor deposit size cutoffs. In particular, one study said cutoffs of three millimeters and 12 millimeters give a nice three-categorization scheme, with larger deposits indicating worse outcome” (Ueno H, et al. J Clin Oncol. 2011;29[18]:2550–2556). “And also, there’s the number,” he says. If one patient has one tumor deposit and another has 10, “the patient with 10 is probably going to do worse. So it does appear that with increasing size and with increasing number, patients do worse with these tumor deposits, and that’s not captured in the AJCC system as we currently have it.”
Many studies have also suggested considering a tumor deposit the same as a lymph node when tallying the number of locally metastatic disease foci. “So if it’s two nodes and three deposits, just say it’s five metastatic foci in the N category and go with that,” Dr. Gonzalez says. He quoted from the 2017 meta-analysis by Nagtegaal, et al.: “Inclusion of tumor deposits only in the absence of [lymph node metastasis] is not justified by the evidence.” Unfortunately, he says, it’s what pathologists “have to do with the scheme that we currently have available.”
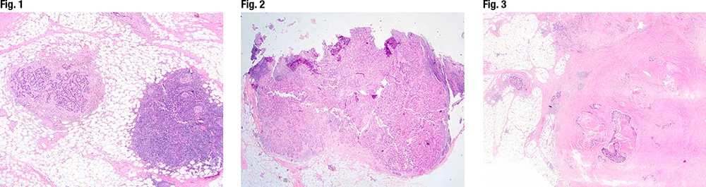
[dropcap]H[/dropcap]ow good are pathologists atrecognizing tumor deposits? Dr. Gonzalez asked, before showing in his CAP19 presentation images of six foci of metastatic disease (the first three from his own cases). In the first image (Fig. 1), he noted “a nice clean negative lymph node” on the right. He polled the attendees on whether they thought the focus on the left was a lymph node or tumor deposit. Tumor deposit won, two to one.
Nearly everyone thought the second image (Fig. 2) was a lymph node. “If you look, you can actually see a little lymph node tissue in here. It’s nice and rounded.” Dr. Gonzalez agreed with the audience about the third image (Fig. 3), most of whom felt it was a tumor deposit.
The last three cases are from a study on interobserver variability in diagnosing lymph nodes versus tumor deposits in colon cancer (Rock JB, et al. Arch Pathol Lab Med. 2014;138[5]:636–642). In the study, 25 metastatic foci were circulated among seven GI pathologists. “You would probably recognize most if not all of the names. And of those 25, about half, 11, had complete agreement among the seven people, five of them lymph nodes and six tumor deposits,” he says.
All seven study pathologists diagnosed one image (Fig. 4) as a tumor deposit. Dr. Gonzalez described the CAP19 audience polling on the image as a “battle royale.”
“I think I’d have to call it for tumor deposit, but this one is very close. This is almost an even split.”
In the study, they surveyed the pathologists on what criteria they use, and then looked at the tumor foci and scored what those showed when there was considerable agreement. “So, what they say versus what they do,” as Dr. Gonzalez put it. “And the takeaway was that the most common criterion people used for calling something a positive lymph node was round shape,” he says. The Archives article says, “Four additional features (thick capsule, peripheral lymphoid follicles, peripheral lymphocyte rim, and size >3 mm) were listed as useful in at least 60% of metastases called a positive LN.”
Six of the seven pathologists called the second study image a lymph node (Fig. 5). Dr. Gonzalez noted that it was “nice and round, had a thick capsule, potentially a lymph node capsule, peripheral lymphoid follicles or lymphocytes, indicating that there was residual nodal tissue, although you can have this scattered inflammation around a tumor deposit.”
Four of the seven pathologists diagnosed the third study image as a lymph node (Fig. 6). This one is also rounded and looks similar to the previous one but not quite the same, Dr. Gonzalez says. “So these can be very subtle distinctions that might change someone’s opinion.”
If every one of these images had been 100 to zero or 95 to five, then there isn’t a problem, “but clearly this is a diagnostic dilemma,” Dr. Gonzalez says. “This is a differential that people can absolutely struggle with.”
[dropcap]I[/dropcap]n his presentation and in the interview, Dr. Gonzalez spoke also about direct extension versus tumor deposit. “These tumor deposits are usually some distance away from the main cancer. There’s a space in between,” he says. If it’s very close to the main cancer, however, it could be local extension. “The tumor is just spreading, burrowing its way through the tissue, but still at the primary site and has not gained the ability to metastasize.” If it’s several millimeters away, he says, “that makes it much more likely that you are not missing a thin connection in between, and that this does, in fact, represent a consequence of metastatic spread.”
If the focus is 2 mm away from the main tumor, pathologists can be “reasonably comfortable” that they are probably dealing with a metastatic tumor deposit instead of local extension of the primary tumor, Dr. Gonzalez says, based on his review of the literature. “But there is no recommended distance cutoff that has been put forward by any authoritative body.”
If the pathologist sections all the way through the block, maybe a connection would be found. “Of course, you can only cut one direction into a block. If you could conceptually cut backward in the focus that you don’t have, maybe there would have been a connection in that direction that there is no way to prove. So this issue is difficult, if not impossible, to solve, but I would say two millimeters sounds about as good as anyone is going to be able to do.”
Could immunostains help? “The answer is really no, to both immunostains and special stains,” he says, noting there isn’t much literature on the topic and he knows of no one doing them in routine practice. There is no stain that can rule in a tumor deposit where the pathologist can say, “Yes, this has to be a tumor deposit.”
Tumor deposits may be able to be ruled out, he says. “If you get a little lucky, you might, for instance, do an elastin stain and see an internal elastic lamina, and say, ‘This has to be a large vessel.’ I can call this extramural vascular invasion rather than a tumor deposit. Similarly, you could use smooth muscle stains and say, ‘Oh, I see what has to be the vessel wall, or that’s the lymph node capsule.’ That may be the case, but number one, I think that can be hard to interpret because there are several other muscular structures that could get in the way. And if you stain it and don’t see it there, it could just be that it got obliterated by the cancer.”
Heather Dawson, MD, senior staff GI pathologist at the Institute of Pathology, University of Bern in Switzerland, who presented the tumor budding portion of the same CAP19 session, told CAP TODAY that if she has the “strong impression” that a potential tumor deposit is really an extramural venous invasion, she might consider doing an elastin stain to see if there are vessel wall remnants. “Apart from that,” she says, “I would not do any stains.”
Dr. Gonzalez asks how pathologists should approach tumor deposits from a conceptual standpoint. “How should we be putting these in AJCC’s staging, et cetera?” Based on the literature and what is said about this, he says, “I do think it’s going to be easier to basically consider a tumor deposit and a positive node equivalent.” And he says he hopes “we move toward something like that in the future. It is going to make it a lot easier to evaluate these. I’m not going to have to go back” to the doctor who sent the case “and say, ‘I think this is a tumor deposit. Sorry.’”
This might depend on pathologists summing up how many N category foci there are. “If we do that, though, it isn’t clear how the denominator would be handled.” He is sure he’s had a pathology resident say—or has said himself at some point—“I found 11 lymph nodes and a tumor deposit. That counts as 12 nodes, right?” Perhaps “we will be able to get away with something like that in the future, though not right now.”
As for staging, Dr. Gonzalez says when in doubt, he calls it a lymph node. If he “blatantly” thinks it’s a tumor deposit, he will call it a tumor deposit. If he’s on the fence and it might “nudge a patient up from, say, N1b to N2a” or into a different overall stage, such as IIIA to IIIB, he might get more levels, and he would show it to someone. “There are breakpoints where it might actually matter, but if it’s the difference between two nodes and one deposit, or three nodes and no deposits, meaning it’s N1b either way, just call it a lymph node,” he advises.
Every oncologist and surgeon understands lymph nodes very well, but “their understanding of tumor deposits may not be as nuanced as it is for lymph nodes. It may not be as nuanced as our understanding,” Dr. Gonzalez cautions. A study in the oncology literature found that patients with positive nodes were more likely to receive adjuvant therapy than patients who had only tumor deposits, “even though they still had that N1c disease,” Dr. Gonzalez says (Wong-Chong N, et al. Dis Colon Rectum. 2018;61[9]:1043–1052).
Patients with tumor deposits, which are local metastatic foci, should have adjuvant therapy, he says. “So if my saying lymph node over tumor deposit makes sure the patient gets the treatment they need, then that is a valid reason to make that choice.”
Dr. Gonzalez says he hopes more studies will clarify and streamline the role of tumor deposits in N category staging for colorectal cancer. “I think the N1c classification, while I appreciate its significance, may downplay the potential for poor outcome that some patients have, particularly if they have several tumor deposits.” He hopes more studies will continue to bring attention to tumor deposits.
“With the N1c category that has now existed for two editions of the AJCC staging,” most experienced pathologists who do a lot of gastrointestinal pathology have a good sense, he says, of how to apply their interpretations to the present staging framework. “There obviously is still an issue of variability and discrepancy in interpreting difficult cases, but once the pathologist has decided whether something represents a lymph node or a tumor deposit, we are very good at taking our findings and reporting them as accurately as possible.”
Other gastrointestinal malignancies develop tumor deposits, he notes, though colon cancer has been the best studied. A 2019 meta-analysis evaluated them in gastric cancer (Graham Martinez C, et al. Histopathology. 2019;74[6]:809–816).
Besides colon cancer, the only other cancer for which tumor deposits come into play, he says, from AJCC staging is for small bowel neuroendocrine tumors, which is where a tumor deposit larger than 2 cm is N2 disease. “So they didn’t use N1c, they used N2. But in terms of the overall staging, N1 and N2 have the same effect. So, it’s similarly just another way of saying there’s something behaving like a positive lymph node.”
Karen Lusky is a writer in Brentwood, Tenn.