Charna Albert
May 2022—Myelodysplastic syndromes are often challenging to diagnose, and it’s the exceptions to the rules that make it so, said Phillipp W. Raess, MD, PhD, associate professor of pathology and laboratory medicine, Oregon Health and Science University, speaking at CAP21. “The diagnostic requirements are relatively stringent, but all of them have caveats to make sure we don’t overcall this entity.”
In a session titled “Hematopathology Alphabet Soup: ICUS, CCUS, CHIP, or MDS? Integrating Next-generation Sequencing into the Evaluation of Cytopenias,” Dr. Raess and Jennifer Dunlap, MD, associate professor of pathology and laboratory medicine and medical director, clinical hematology, OHSU, contrasted the diagnostic criteria for MDS and related hematologic entities and used cases to illustrate the diagnostic difficulties.
The World Health Organization and International Prognostic Scoring System define cytopenias as absolute neutrophil count less than 1.8 k/µL, hemoglobin less than 10 g/dL, and platelets less than 100 k/µL. “These may be different from the reference values on your instruments or the normal values in your laboratory,” said Dr. Raess, also director of OHSU’s immunohistochemistry laboratory. “When we talk about cytopenias in the context of MDS, it’s not necessarily an abnormally low lab value but rather these criteria that we’ll be using.”
“We think about the differential of cytopenias as having three broad mechanisms,” he continued. The first is failure of production due to ineffective hematopoiesis, which has a number of etiologies. One is the medication or toxin effect, which can result in decreased production of peripheral blood elements. Nutritional deficiency is another well-studied cause. “Folate and B12 are common culprits, along with iron. Copper deficiency is less common but certainly can cause cytopenias.” Autoimmune and rheumatologic diseases are another etiology, through mechanisms that are less well understood, he said. And there are infectious etiologies: “Parvovirus B19 may be the most famous of these, but many other infections can cause cytopenias.” Neoplastic etiologies such as MDS also can result in ineffective hematopoiesis, as can acquired bone marrow failure and inherited disorders, including bone marrow failure syndromes and hemoglobinopathies. “And it’s crucial to remember there are multifactorial etiologies for cytopenias,” he said. “So if you find one of these etiologies, it doesn’t necessarily mean it’s the only cause of cytopenias. It’s important to do a complete workup and think about all of these possibilities.”
The second broad mechanism of cytopenias is peripheral destruction or sequestration. “Splenic sequestration, for example, often is a cause of thrombocytopenia,” Dr. Raess said. Other mechanisms of peripheral destruction include autoimmune hemolytic anemias, idiopathic thrombocytopenic purpura, microangiopathic hemolytic anemias, and mechanical intravascular hemolysis.
The last broad mechanism is inadequate production due to marrow replacement. Here the hematopoietic precursors are functionally able to produce peripheral blood elements, but they’ve been displaced and replaced in the marrow. Hematopoietic neoplasms such as plasma cell myeloma can cause this, as can metastatic carcinomas or other solid tumors, “if they’re present in the marrow space.” Neoplasms associated with fibrosis, too, are a potential etiology, as is autoimmune myelofibrosis, which causes fibrosis and therefore displacement of hematopoietic precursors.
In addition to the traditional laboratory evaluation for cytopenias (peripheral blood smear, lab analysis, bone marrow biopsy), next-generation sequencing of peripheral blood may be considered if the patient is unable to undergo a bone marrow biopsy, “or as perhaps a first, less invasive step,” he said. NGS performed on peripheral blood can confirm a clonal disorder in unexplained cytopenias. And early studies suggest certain mutation patterns have high predictive value for the development of a myeloid neoplasm. But NGS is unlikely as of yet to replace bone marrow evaluations, he said, because it can’t identify as many of the etiologies of cytopenias. This is a focus of investigation, however. “I think our perspectives on this will change as more and more data comes out and as we get better at predicting which patients with cytopenias and NGS abnormalities in peripheral blood may be at risk for myeloid disorders.”
[dropcap]P[/dropcap]eripheral cytopenias, dysplasia, and cytogenetics are the “three cornerstones” of a myelodysplastic syndrome diagnosis, Dr. Raess said. Flow cytometry and NGS can be supportive of the diagnosis, but neither by itself is sufficient.
The minimum diagnostic requirements for MDS are persistent cytopenias without other explanation and one of the following: dysplastic morphology in more than 10 percent of forms in at least one lineage, with the caveat that other causes of cytopenia and dysplasia have been excluded clinically; bone marrow blasts of five percent or more, provided growth factors and recovery marrow have been excluded; or certain WHO-defined cytogenetic abnormalities. These do not include trisomy 8, loss of Y, or del(20q), “because we don’t think they’re always associated with myelodysplastic syndromes,” he said.
Dr. Raess begins an MDS evaluation with a peripheral smear and CBC to evaluate for cytopenias. If no cytopenias are present, MDS is unlikely with rare exception. One caveat: If definitive cytogenetic or morphologic findings are present, MDS may be diagnosed with milder cytopenias—a hemoglobin of less than 12 g/dL (in females) or less than 13 g/dL (in males) and platelets of less than 150 k/µL. “If a patient had an MDS-defining cytogenetic finding, you would still be able to diagnose MDS if, for example, your platelets were 130 k/µL, even though that didn’t meet the stricter WHO/IPSS criteria for cytopenias,” he said. Another caveat: Rare variants of MDS—isolated del(5q) or inv(3) (q21.3, q26.2)—can present with thrombocytosis.
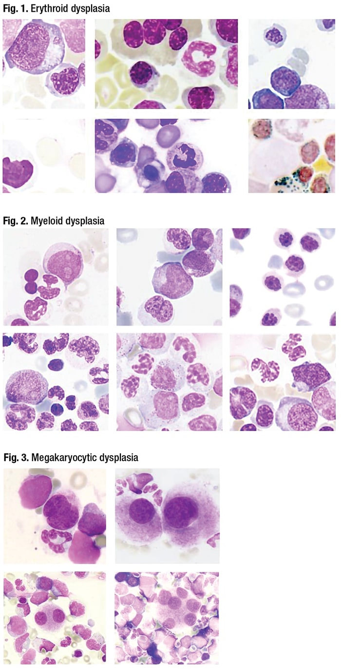
Dysplasia is thought of in three lineages: erythroid, myeloid, and megakaryocytic (Figs. 1–3). Here, too, there are caveats, he said. “Dysplasia is not specific for MDS, despite the name. There are many non-neoplastic mimics that can cause dysplasia.” There also are examples in the literature of dysplastic morphology in “normal” volunteers, and dysplasia can have low reproducibility among observers. Erythroid dysplasia is the least specific morphologic finding for MDS, he said, “in part because many other things can cause erythroid dysplasia.”
Findings that are supportive of MDS but not inherently diagnostic include, on flow cytometry, an abnormal pattern of myeloid antigen expression, aberrant blast immunophenotype (CD7 or CD5 expression, for example), or abnormal quantities of progenitor cells. “Caveats here are that antigen aberrancy is not entirely specific.” And the aspirate can be hemodilute, “so flow cytometry may underestimate blast counts in the marrow.” Mutations in selected genes detected by NGS are also supportive, he said, but although they are common in MDS, occurring in about 80 to 90 percent of cases, they are not specific.
SF3B1 is the only gene used as a diagnostic criterion for MDS, Dr. Raess said. SF3B1 mutations in MDS are highly associated with ring sideroblasts. It’s a subtype of MDS with a unique gene expression profile and favorable prognosis. “This diagnosis requires more than 15 percent ring sideroblasts on an aspirate smear iron stain, or more than five percent ring sideroblasts if there is a concurrent pathogenic SF3B1 mutation. The presence of a pathogenic SF3B1 mutation alters the threshold for the ring sideroblasts necessary to make the diagnosis.” K700E is the most common mutation identified in MDS with ring sideroblasts, “although codon K666 and R625 mutations also are well-described pathogenic mutations that would decrease the threshold to five percent ring sideroblasts to make this diagnosis,” he said. SF3B1 is a key component of mRNA splicing complex, “and that means alterations in SF3B1 don’t only affect this gene but also affect mRNA expression levels globally in the cell. So that’s how one particular point mutation can have such a large phenotypic change.”
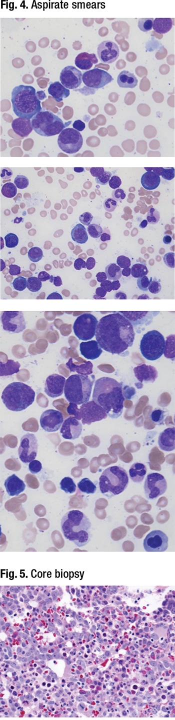
[dropcap]D[/dropcap]r. Raess shared the case of a 53-year-old male who presented with pallor and fatigue. His CBC showed a normal white blood cell count and differential. He had macrocytic anemia (Hgb 7.1, MCV 109.8) and platelets on the low end of normal (155). A bone marrow aspirate and biopsy were performed.
The patient’s aspirate smears are shown in Fig. 4. “Overall we have dysplasia in the erythroid series with megaloblastic changes and irregular nuclear contours, and then megaloblastic changes in the myeloid series as well. This would qualify as dysplasia morphologically in two lineages.”
The core biopsy (Fig. 5) was hypercellular, with many immature-appearing cells—“possibly erythroids, based on the chromatin quality and multiple nucleoli,” he said. Cytogenetics came back with a normal karyotype, and flow cytometry showed no increase in blasts or antigen aberrancy. NGS was pending. A gastric biopsy identified autoimmune multifocal atrophic gastritis. Serum testing found low serum vitamin B12 levels (76 pg/mL) and anti-intrinsic factor antibodies. “So the bone marrow diagnosis in this case is relative erythroid hyperplasia secondary to B12 deficiency.”
“It’s important that we exclude reactive conditions before making a diagnosis of MDS because they can very convincingly mimic MDS by morphologic criteria,” Dr. Raess continued. “Clinical and laboratory testing to rule out mimics is key here.”
[dropcap]D[/dropcap]r. Dunlap discussed clonal hematopoiesis of indeterminate potential (CHIP) and how to differentiate CHIP from MDS.
Clonal hematopoiesis (CH) is the expansion of a population of blood cells derived from a single progenitor/hematopoietic stem cell. CH was first linked to aging through studies that showed skewed X chromosome inactivation in the peripheral blood (indicative of CH) in older females with no evidence of a hematologic malignancy. In 2012, recurrent mutations in TET2 were identified in approximately five percent of normal elderly females with skewed X inactivation, the first association of somatic mutations with CH (Busque L, et al. Nat Genet. 2012;44[11]:1179–1181). Then, in 2014, three large scale sequencing studies further characterized the mutational landscape of CH (Xie M, et al. Nat Med. 2014;20[12]:1472–1478; Genovese G, et al. N Engl J Med. 2014;371[26]:2477–2487; Jaiswal S, et al. N Engl J Med. 2014; 371[26]:2488–2498). The most commonly mutated genes are DNMT3A, TET2, and ASXL1, sometimes referred to as the “DTA” genes. Recurrent mutations are also seen in JAK2, splicing genes (SF3B1, SRSF2), and DNA damage response genes (TP53, PPM1D). These mutations are detectable in individuals without features of hematologic malignancy, and their prevalence increases with age, such that by 70 about 10 to 20 percent of individuals harbor a CH mutation. Using highly sensitive sequencing techniques to detect very small clones reveals a higher prevalence of CH across all age groups, although the biologic relevance of these very small clones is unclear, Dr. Dunlap said. Clonal hematopoiesis of indeterminate potential is defined as the presence of a mutation in a leukemia-associated gene at a variant allele frequency of at least two percent in an individual with no clinically significant cytopenias or evidence of a hematologic malignancy.
CHIP is associated with a higher risk of developing a hematologic malignancy, with an absolute risk of about 0.5 to one percent per year. “That’s not very high—it’s similar to the rate of transformation of monoclonal gammopathy of undetermined significance to multiple myeloma,” she said. Progression to MDS or acute leukemia is almost always accompanied by the acquisition of additional mutations, “but most patients with CHIP will not have progressive disease.”
CHIP predicts a higher all-cause mortality, not from hematologic malignancy but from cardiovascular causes, she said. Patients with CHIP are almost twice as likely to develop coronary artery disease and four times more likely to develop early-onset myocardial infarction (Jaiswal S, et al. N Engl J Med. 2017;377[2]:111–121). “There’s strong evidence to suggest this is a causal relationship,” she said. “Several studies have shown that CHIP clones can cause an enhanced inflammatory response, which may accelerate atherosclerosis.”
Abnormal monocytes or macrophages in CHIP—particularly those with TET2 or DNMT3A mutations—produce increased levels of inflammatory cytokines. This in turn results in increased recruitment of immune cells to the vessel wall, promoting atherosclerosis, Dr. Dunlap explained. “It’s also thought that these inflammatory cytokines elaborated by macrophages may directly damage the myocardium and cause myocardial dysfunction, resulting in ischemic heart failure.” Finally, JAK2 CHIP clones are associated with increased thrombosis, she said. “And that might be due to the release of neutrophil extracellular traps by abnormal neutrophils,” or fragments of DNA and chromatin that are important in the immune response but also thought to possibly promote thrombosis.
Dr. Dunlap compared diagnostic criteria for CHIP and MDS. In contrast to MDS, CHIP by definition does not have clinically significant cytopenias. A diagnosis of MDS requires persistent cytopenias with either dysplastic morphology, an increase in bone marrow blasts, or certain cytogenetic abnormalities. It is important to remember that CHIP can co-occur with other disorders that cause cytopenias, which “can be challenging diagnostically,” she said. “So keep in mind that other causes of cytopenias, including non-neoplastic causes, need to be evaluated and excluded when differentiating CHIP from MDS.”
Dr. Dunlap also compared the spectrum of gene mutations seen in MDS and CHIP. Both can have similar mutation profiles by next-generation sequencing, she said, with the most commonly mutated genes in CHIP also commonly mutated in MDS. “But we do know certain mutation patterns are helpful in predicting risk.” Findings that increase the likelihood of developing a myeloid malignancy include a splicing gene mutation, a RUNX1 or JAK2 mutation, or two or more pathogenic mutations. Larger clone sizes (VAF >10–20 percent) also are associated with increased risk. “On the other hand, isolated low-level mutations in DNMT3A, TET2, and ASXL1 have much less predictive value for the development of a myeloid malignancy,” she said. And the total absence of mutations confers a relatively high negative predictive value for developing a myeloid malignancy (Shanmugan V, et al. Blood. 2019;134[24]:2222–2225; Malcovati L, et al. Blood. 2017;129[25]:3371–3378).
Persistent unexplained cytopenias in patients who do not meet diagnostic criteria for MDS may be classified as idiopathic cytopenia of undetermined significance (ICUS) or clonal cytopenia of undetermined significance (CCUS). In ICUS, “there’s no molecular evidence of clonality and no evidence of malignancy—all we have is an unexplained cytopenia,” she said. CCUS exhibits both an unexplained cytopenia and a somatic mutation in a leukemia associated gene. “But these patients do not meet WHO diagnostic criteria for a hematologic malignancy.” It’s important to identify patients with CCUS, “because these patients do have an increased risk of progression to a myeloid neoplasm,” with a five-year cumulative probability of progression of 82 percent, versus nine percent for ICUS (Malcovati L, et al. Blood. 2017;129[25]:3371–3378). The key distinguishing features between CHIP, ICUS, CCUS, and MDS are summarized in Fig. 6, and Fig. 7 illustrates a practical decision tree when evaluating cases.
[dropcap]D[/dropcap]r. Dunlap shared the case of a 79-year-old female with progressive anemia. The CBC showed a leukopenia with absolute neutropenia (WBC 2.5, ANC 1.3), macrocytic anemia (Hgb 7.6, MCV 102), and a normal platelet count (179). “There was no neutrophil dysplasia in the peripheral blood and no circulating blasts,” she said. The bone marrow aspirate exhibited erythroid dysplasia (Fig. 8). “Myeloid precursors also were dysplastic—many appeared hypogranular,” she said. “There were occasional blasts but overall they were less than five percent.” The iron stain showed ring sideroblasts enumerated at 10 percent. Cytogenetics and flow cytometry were normal. NGS identified two mutations: SF3B1 K700E and a TET2 H800fs frameshift mutation. The final diagnosis was MDS with ring sideroblasts (MDS-RS). As previously discussed, a diagnosis of MDS-RS can be made if there are at least five percent RS when an SF3B1 mutation is present.
Dr. Dunlap presented another case, of an 84-year-old female with persistent, unexplained neutropenia. Hemoglobin and platelet count were normal, as was the neutrophil morphology in the peripheral blood. Bone marrow evaluation (Fig. 9) showed a normal cellular bone marrow with trilineage hematopoiesis, she said, “and no evidence of dysplasia—myeloid, erythroid, or megakaryocytic.” Cytogenetics and flow cytometry were normal. NGS revealed a DNMT3A R882H mutation, present at 10 percent VAF.
[dropcap]I[/dropcap]n summary, accurate diagnosis and classification of MDS requires integrating morphologic, genetic, and laboratory findings. Importantly, MDS must be excluded from CHIP and other causes of cytopenias, including reactive causes and conditions with somatic mutations (CCUS). CHIP is associated with increased overall mortality due to cardiovascular causes and an increased risk of hematologic malignancy (0.5 to one percent per year). CCUS carries a higher risk of progression to MDS or acute myeloid leukemia, which is influenced by the number and type of mutated genes and the clone size.
“There are still many unanswered questions about the exact clinical implications of these precursor states and what drives clonal expansion and inflammation in CHIP,” Dr. Dunlap said. The field of research is “exciting and evolving,” she said, and future studies will likely shed light on these important questions.
Charna Albert is CAP TODAY associate contributing editor.