Anne Ford
May 2020—To combat the spread of COVID-19, Louisiana’s governor in late March issued an order directing state residents to limit their excursions outside. But LSU medical school pathologists at University Medical Center, New Orleans, found a breath of fresh air just the same.
“When this outbreak was approaching, I had our facilities manager review the ventilation in our morgue,” says Gordon L. Love, MD, professor of clinical pathology and chair of pathology at Louisiana State University School of Medicine as well as medical director of University Medical Center clinical laboratories. The medical center building is relatively new, completed in 2015. “We met the CDC recommendations for doing COVID-19 autopsies—that is, we had negative pressure in our morgue, we had a complete outflow of the morgue to the outside and six air exchanges per hour, and we have laminar flow along the autopsy table.” In other words: “Whoever designed the morgue did it expressly to be up to date.”

That means that LSU medical school pathologists are particularly well positioned to conduct autopsies on deceased COVID-19 or presumed COVID-19 patients, of which they had performed 13 by early April, when they spoke to CAP TODAY. “My impression is that not many places are doing many autopsies” on these patients, Dr. Love says. What he and his team have learned may help change that.
As the LSU pathology department was about to conduct its first COVID-19 autopsy, the discovery that OSHA was then recommending against such autopsies “gave us some pause,” says Dr. Love, who felt strongly that OSHA was “gravely mistaken.” (OSHA has since revised its position to align with that of the Centers for Disease Control and Prevention.)
“I think it’s very important that if you can do autopsies in a safe environment, it’s important that they be done,” he says. “I did one of the first AIDS autopsies in Louisiana in 1983, and this is really alarming to see this new epidemic. Autopsies are important; you gain insights that can’t be gained through any other means, including imaging. I feel that it’s our responsibility as pathologists to do what we can to understand this disease and give our impressions back to the treating clinicians. So that’s what we’ve tried to do.”
In addition to up-to-date morgue facilities, LSU medical school pathology had another ace up its sleeve: co-chief resident Bing Han, MD. Having attended medical school and worked as a clinician in China, Dr. Han was in touch with several former colleagues who had treated patients in Wuhan during the initial COVID-19 outbreak there. Based on those colleagues’ input, Dr. Han advised the University Medical Center autopsy team to exceed CDC recommendations for personal protective equipment in at least one regard: by having three layers enclose almost all skin surfaces. In addition, Dr. Han visited the local Home Depot to obtain for the team wraparound eye goggles “that I think provided a little better eye protection than the usual protection,” Dr. Love says.
LSU School of Medicine pathology resident Jack Harbert, MD, explains the autopsy team’s PPE process step by step. “We used separate scrubs that we got especially for these cases, and we put on a biohazard-type suit underneath that,” he says. “And we put surgical scrubs on top of that with an N95 respirator and another mask on top of that, as well as the goggles and then a face shield. When we were done with the procedure, we disposed of all of that, and then we disposed of the scrubs, showered, and changed back into our original scrubs.” As a result, he says, “I felt very, very safe going into this unknown experience.”
The medical center’s first suspected COVID-19 case arrived in mid-March. “Of course, everybody had read about COVID-19 and the kinds of patients it had affected,” that is, the immunocompromised and those over age 65, says Richard S. Vander Heide, MD, PhD, MBA, professor of pathology at LSU School of Medicine and University Medical Center director of autopsy services. “But our first patient was actually an African-American male in his 40s—quite unusual compared to what the general population was seeing in terms of COVID illness” at that time.

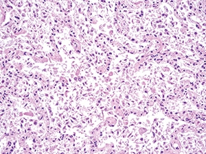
Pneumocytes with apparent cytopathic effect consisting of cytomegaly and enlarged nuclei are present within alveolar spaces. Alveolar capillaries are thickened (H&E, original magnification ×400).
Since then, virtually all of the COVID-19 autopsies the team has done have been on African-American patients, Dr. Vander Heide says. “Almost all of them have hypertension. Almost all of them are at least overweight, if not morbidly obese, and a lot of them have diabetes. So we’re seeing the same kind of clinical picture everyone else is seeing across the country.”
As for the autopsy findings themselves, some of them have surprised the University Medical Center team, and some haven’t. “One of the things we’ve found very characteristic of the COVID patients that was not really reported up until that point was a lot of pulmonary hemorrhage,” Dr. Vander Heide says. “It’s a very consistent finding in all the patients.”
On the other hand, reports from China and Seattle of mysterious heart damage in patients who have died of COVID-19 have not been borne out at University Medical Center. “So far, we have not seen any cardiac deaths,” says Dr. Vander Heide. “The causes of death have all been lung related. However, we’re in the process of doing microscopic analysis and have found cardiac findings that while not a cause of death, we believe are specific to COVID-19 virus infection.” He calls “interesting and surprising” the findings they have submitted to a cardiology journal. “Some of the autopsied COVID-19 patients had some kidney disease during their clinical course and we are finding glomerular lesions that we also believe were produced by SARS-CoV-2,” he says.
Another of the team’s autopsy findings has led to a change in protocol for the entire hospital. “When we started doing these autopsies, we noticed, of course, that they have the typical lung features everybody talks about—diffuse alveolar damage,” Dr. Vander Heide says. “We knew this was happening. And we had some [autopsied] patients who were actually negative on the nasal swab RT-PCR test [for SARS-CoV-2]. So we contacted the chief medical officer of the hospital and indicated we were concerned that the testing being done at that early time point may not have been completely accurate. We told them that if someone looks like they’re COVID-positive in terms of their clinical presentation, they should treat them as COVID-positive.”
[dropcap]O[/dropcap]f the testing itself, Dr. Love says, “It’s been a real struggle to obtain the [SARS-CoV-2 virus] testing that we need.” At first, University Medical Center relied on Louisiana State Public Health Laboratory. “Of course they performed magnificently, but soon they were just overcome,” he says. “We finally brought it all in-house.”
Dr. Love and his team had instituted the purchase of a Roche Cobas 6800 system before the pandemic began, as a replacement for a previous system. However, “The week that we were supposed to have the unit arrive on site to be installed, the installation was interrupted,” he says. “It’s a terrific technology; everyone wants it, and the company is doing what it can with a limited resource.”
While Dr. Love worked to get the hospital’s Cobas unit installed at a later date, he worked out a stop-gap solution with Roche and an old friend at Tulane University School of Medicine, which had its own Cobas 6800 but was not testing for SARS-CoV-2 because the reagents were not easily available. After getting Roche to agree to provide reagents, Dr. Love reached out to the interim pathology chair at Tulane—with whom he’d attended college 50 years ago—and proposed a deal: Tulane would allow University Medical Center patient specimens to be tested on its Cobas 6800, while the medical center would provide the necessary Roche reagents so that Tulane could do its own testing, “and we cooperated in validating their unit.” (Roche would not release reagents to Tulane for SARS-CoV-2 virus testing because of the shortage, Dr. Love notes.) That arrangement “bridged us” until the medical center’s Cobas 6800 arrived, at which time Roche expedited installation, he says. The medical center now has not one but three platforms on which to run SARS-CoV-2 virus testing: Cobas 6800, Abbott ID Now, and Cepheid GeneXpert.

“We did not have the Abbott unit” prior to the pandemic, Dr. Love reports. “We had used a Cepheid four-bay model for Mycobacterium tuberculosis identification/rifampin sensitivity and influenza rapid testing in the past. We are obtaining a Cepheid 16-bay model. The Cepheid takes 45 minutes processing time per SARS-CoV-2 specimen and is manually loaded. The Abbott instrument takes five minutes to produce a positive result and 14 minutes to produce a negative result and is also manually loaded.”
He’s not in favor of maintaining multiple systems to perform the same test. “But we are desperate to bring SARS-CoV-2 testing in-house,” he says. “Now the challenge is convincing clinicians that all SARS-CoV-2 testing is not equal.” The sensitivity and specificity of the Roche Cobas 6800 that processes specimens over 3.5 hours is likely better than a unit that produces a result in 15 minutes, he says. “We work with clinicians to help them understand that false-negatives can occur, the main problems being seen with poorly collected swabs containing lower amounts of virus.”
Dr. Love and his colleagues are pleased to be able to perform autopsies of COVID-19 patients, particularly as the medical community worldwide continues to parse the particulars of the virus that has led to this shocking and uncertain time. “I believe autopsies have been undervalued,” he says. “And I hope as we proceed forward, analyzing our cases, that we will be able to contribute to the understanding of this disease.”
Anne Ford is a writer in Evanston, Ill.