Karen Lusky
May 2022—Infectious disease diagnosis sometimes requires a surgical pathologist, often in unexpected situations. In a CAP21 session, “Uncultured: Infectious Diseases in Surgical Pathology,” Sarah D. Hackman, MD, assistant professor, Department of Pathology and Laboratory Medicine, University of Texas Health San Antonio, presented a sampling of such cases, two of which follow.
The first case is that of a 27-year-old woman with diabetes who was admitted to the hospital in diabetic ketoacidosis secondary to influenza. She arrived with a dry cough but then began to produce thick sputum. Her chest CT scan was concerning for necrotizing pneumonia. She was started on triple antibiotic and antiparasitic therapy and brought to bronchoscopy.
In Fig. 1 is a bronchial brushing Pap stain from the case. Neutrophils and scattered bronchial epithelial cells are seen in the background, and in the center is an orangeophilic cluster of hyphae. Fig. 2 is the image at higher power; broad, ribbon-shaped hyphae are seen with nearly 90-degree branching.
Fig. 3 is from a subsequent transbronchial biopsy. On the left is a large fragment of necrotic cartilage. On the right (at top) is a fragment of necroinflammatory debris. Below it appears to have been the bronchial epithelium and the supportive smooth muscle, Dr. Hackman said, “but unfortunately that was also necrotic, so we lost our morphologic clues.” One of those fragments at higher power (Fig. 4) reveals fungal forms embedded in the hyalinized necrotic stroma, “several of them scattered throughout,” she said, and it’s not easy to see the morphology of all. “But when you see a good one cut in the correct section, you can see they are pretty thick.”
The patient was diagnosed with mucormycosis and started on antifungal therapy. She was feeling reasonably well, but when a repeat bronchoscopy was performed after she had been in the hospital for two weeks, her left lower lobe was seen to be completely collapsed. The bronchoscopy found that the same fungi were present, suspended in the necroinflammatory debris. The surgical consultants recommended a total left pneumonectomy to fully clear the infection. The young patient was hesitant to have the surgery and departed the hospital. When she became ill a few days later, she presented to a different hospital where she underwent the procedure.
Mucormycosis is a filamentous fungi in the order Mucorales and the third most prevalent fungal infection after candidiasis and aspergillosis. “Mucormycosis is more commonly associated with the rhinocerebral form,” which make up about 39 percent of infections. “That’s the classic story of a person with uncontrolled diabetes or ketoacidosis or renal failure, who can present and it becomes a surgical urgency and often generates several frozen sections for us to try to see where the mucor is on frozen section,” Dr. Hackman said.
The pulmonary form, as seen in this case, makes up about 24 percent of mucormycosis infections. Other forms are, for example, cutaneous, GI, and disseminated, and mortality is high for all.
In pulmonary mucormycosis, inhaled sporangiospores germinate into hyphae, “and then the hyphae decide where they would like to invade.” Symptoms are determined by the location of the invasion. “If they invade the vessels, as they often do in mucor, you get thrombosis or hemorrhagic infarction, which may have been the originating event behind all that necrotic cartilage in our biopsy,” Dr. Hackman said. If they invade the tissue, they show necrosis with possible extension into the pleural or pericardial cavity or the mediastinum. Imaging of pulmonary mucormycosis is nonspecific.
Thus it becomes about acquiring tissue containing mucormycosis. “And on histologic exam, it shows exactly what our case showed with broad non- or pauciseptate hyphae, and seeing these is the gold standard for diagnosis.”
Patients can present with airway obstruction, she added, particularly if the necroinflammatory debris turns into a “ball valve problem.” Mucosal necrosis, which they saw in their patient, and purulence, which they saw also, corresponded to their slides showing necroinflammatory debris with fungal forms suspended in it.
Much of the literature consists of single case reports, Dr. Hackman said, but a study published in 2018 reported on 12 cases of tracheobronchial mucormycosis and an additional 48 cases previously reported in the literature (He R, et al. Clin Respir J. 2018;12[4]:1651–1660). The authors found that patients who have diabetes may have a predilection for endobronchial (versus parenchymal) disease. “And only 23 percent of patients with tracheobronchial mucormycosis had endobronchial abnormalities on radiology.” It wasn’t until bronchoscopy was performed that mucosal airway erythema, necrosis, and purulence could be seen. “So it highlights the need for bronchoscopy in these cases when there is a respiratory symptom,” she said. Seventy-six percent of the diagnoses in the study were made on histology of tissue collected during bronchoscopy. “So the surgical pathology was the key to the diagnosis in three quarters of cases. And only 50 percent had a corresponding positive culture result.” In the case Dr. Hackman presented, mucormycosis wasn’t even suspected, she said. “So she did not have a culture. It was based on what we saw the first time as those orangeophilic structures on a Pap stain slide.”
[dropcap]T[/dropcap]he second case Dr. Hackman presented isthat of a 70-year-old male who had a liver transplant a month before developing dysphagia. He had been diagnosed recently with herpes esophagitis, for which he was treated. A few days later he developed nonspecific abdominal pain; he was found to have a sigmoid ulcer.
The patient was diagnosed with hyphal fungal elements with morphology suggestive of mucormycosis. “We were somewhat limited by the number of fungal forms we had to evaluate,” she said.
A repeat colonoscopy two weeks later noted an obstructive area in the sigmoid colon with exudate and underlying tissue that was erythematous and friable. Biopsies were done to characterize the exudative tissue and to exclude an underlying mass or malignancy.
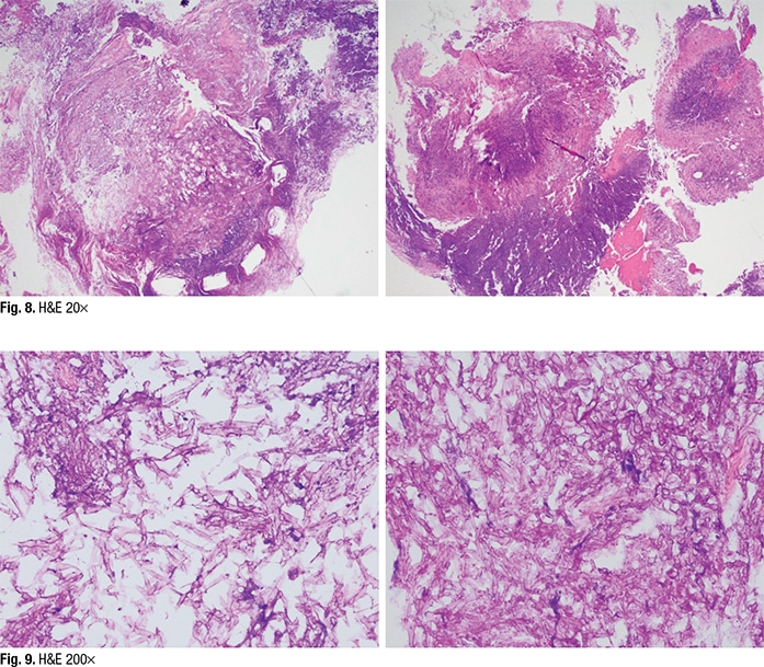
In Fig. 8 are images taken from the obstructive mass exudative area in the sigmoid corresponding generally to the site of the ulcer in the first colonoscopy. “And it’s a considerably worse-looking specimen in every way,” Dr. Hackman said. Both images (individual fragments that were sampled) show “full-thickness, necrotic damage with a lot of necroinflammatory debris clinging onto every surface.”
On higher power (Fig. 9), in the areas that appeared the least viable, which is “where we like to look for bugs,” she said, are a stack of fungal hyphae forms, with a few septa. “The branching is a little hard to appreciate,” she said, because the hyphae are piled up, “but it shows variable branching from anywhere that looks a little less than 90-degree to 45-degree branching in some places.”
This biopsy (not sent for culture) showed a significant increase in the number of fungal forms. “Based on the variable branching and variable number of septa we saw, we couldn’t quite nail down the diagnosis, because we were still also considering other hyphal fungal forms,” including Aspergillus on the second biopsy (not cultured). They informed the clinicians that they saw a large increase in the number of fungal hyphae. The patient developed symptoms from the obstructive area and needed a sigmoid resection.
The resection specimen revealed “full thickness involvement of his sigmoid with transmural ulceration. And essentially the entire ulcerative tract contained too numerous to count fungal hyphae,” extending from the mucosa to the serosal surface and including some on the margin sections. Shortly after, the patient died of sepsis.
The GI tract is a relatively uncommon site for mucormycosis—only seven percent of mucor infections overall, Dr. Hackman said. Inhaled spores are cleared eventually by the GI tract. Ingestion of contaminated food or herbal products or minor breaks in the skin are believed to be how it enters the GI tract.
The stomach is the highest site of disease for GI mucormycosis, followed by the colon and then the ileum. “These present grossly as ulcers with irregular and rolled edges,” Dr. Hackman said. Because of that ulcer-like appearance, malignancy is often the second item in the differential. Fatality is often a result of bowel perforation “because these are tissue-invasive fungus and also vascular-invasive fungus,” as seen in the patient whose case she presented.
“Histologically, the picture looks a lot like it did in the pulmonary tree”—neutrophilic inflammation, infarction if it involves the vessels, necrosis, and broad ribbon-like, pauciseptate hyphae with random branching at any angle.
Invasive aspergillosis of the gastrointestinal tract, usually disseminated from pulmonary infection, is more common than mucormycosis. Symptoms are nonspecific: neutropenic enterocolitis, ulcers, ileus, abdominal pain, GI bleeding. “Aspergillus spores don’t typically survive on mucosal surfaces, but if there are breaks in the mucosa from any other reason, that can be a point of entry” to the GI tract. A gross specimen from an invasive aspergillosis can show ischemia, thrombosis, infarction, and perforation.
Laboratory tests can be used as adjuncts: culture or microscopic evaluation, galactomannan serology (should be positive in invasive aspergillosis), and 1, 3-β-d-glucan testing (can be positive in many fungal infections but should not be positive in mucormycosis).
Fig. 10 shows, in Asperigillus, septate hyphae of uniform width and branching at acute angles. Some of the fungi in Dr. Hackman’s case looked similar, she said, when they were piled upon each other. “So we cautioned the clinical team at the time that we couldn’t exclude a mixed mycotic infection, and we were having a hard time morphologically excluding both mucor and Aspergillus.” Those were the two leading differential diagnoses, but the patient died before a definitive diagnosis could be made.
[dropcap]G[/dropcap]astrointestinal basidiobolomycosis (Basidiobolus ranarum) is another filamentous fungal infection. It occurs in immunocompetent hosts and is usually described as a chronic subcutaneous tissue infection, though GI infections can occur if contaminated food or water is ingested. Symptoms are similar—abdominal pain, fever, bleeding—which means tissue or culture will be needed to distinguish them. Radiology often presents more as an intestinal wall thickening or a mass rather than an ulcer, but it’s non-specific, and because the fungus lives submucosally, endoscopic biopsies are often non-diagnostic (Geramizadeh B, et al. Iran J Med Sci. 2015;40[2]:90–97). Diagnosis is made by culture or molecular testing on formalin-fixed, paraffin-embedded tissue, especially if the fungus can’t be seen on the initial biopsy, Dr. Hackman said.
- Granulomas with numerous eosinophils.
- Splendore-Hoeppli bodies.
- Thin-walled, broad hyphae.
- Zygospores (resembling amoeba). “This would be the clue to the diagnosis if you were able to see one,” Dr. Hackman said.
Fusarium is the second most common cause of filamentous fungal infections after Aspergillus spp. (Uscamayta MG, et al. Infect Dis Rep. 2021;13[1]:11–17). There are more than 50 species, but only 12 cause human infections, among them sinusitis, pneumonia, and fungemia. The fungus is inhaled or enters through an open skin wound. “It’s an emerging foodborne invasive fungal infection,” Dr. Hackman noted (Benedict K, et al. Foodborne Pathog Dis. 2016;13[7]:343–349).
Fusarium histology differs slightly from the others, “but if you only had the histology to go on, it could still be a tricky differential to consider,” she said. The characteristic histology is septate hyaline hyphae, 3–6 µm in diameter (Fig. 11, published in the above-cited case report by Uscamayta, et al.) The patient in this case had a Fusarium graminearum infection, and his risk factors were acute lymphoblastic leukemia and febrile neutropenia. “He was in the most at-risk group for developing overwhelming fungemia and fungal infections,” she said.
These were some of the considerations Dr. Hackman and colleagues had for their patient’s fungal infection. “Unfortunately, we were never able to come to a definitive diagnosis, but it’s safe to say it’s probably one of these filamentous fungal infections.”
Karen Lusky is a writer in Brentwood, Tenn.