July 2019—New from CAP Press is Medical Kidney Diseases—Morphology-Based Novel Approach to Renal Biopsy, by Huma Fatima, MD, assistant professor and director of the renal pathology laboratory, Department of Pathology, University of Alabama at Birmingham. It presents a simple and practical approach to renal biopsy by providing a pertinent differential diagnosis related to various patterns of injury involving renal parenchyma by light microscopy and reaching a correct diagnosis by assimilating immunofluorescence and electron microscopy findings. The 90-page book contains 66 cases, two of which we are reprinting here.
CAP TODAY asked Dr. Fatima a few questions about the new book. Her comments and the cases follow.
You write that the book is the outcome of a question that nephrology fellows have asked you several times since you started practicing in 2011. Can you explain?
I have been teaching renal pathology to medical students, pathology residents, nephrology fellows, and foreign scholars since I joined UAB in 2011. On several occasions, nephrology fellows asked me, Is there any good resource we can use for our boards? I realized that most of the currently available material is quite extensive and may be overwhelming for those who are not renal pathologists. This led me to write the book—keeping in mind those who are outside the realm of renal pathology practice—to provide them pertinent information in a simple way that will be useful to them, not only for their board examination but also in practical life.
Can you tell us how the book is organized and how the information is presented?
The book is divided into four sections: glomerular, vascular, tubulointerstitial, and transplant renal pathology. Each section is divided into multiple subsections based on the morphologic pattern of injury by light microscopy. A pertinent differential diagnosis is provided for each pattern of injury, accompanied by relevant cases. Each case includes a brief clinical history, renal biopsy findings along with light microscopy, immunofluorescence and electron microscopy images, diagnosis, key morphologic features required for the diagnosis of that particular disease, and several clinically relevant points at the end.
For whom is the book best suited?
I have written this book, as a quick and easy guide, focusing on those physicians who are not renal pathologists but do need to know renal pathology either for their exams or in real practice like pathology residents, general pathologists, nephrology fellows, and nephrologists. It will also help international physicians by providing a simple and practical approach to renal biopsy interpretation, as renal pathology is a challenging field worldwide with a very limited number of pathologists who can claim expertise in this subspecialty.
You use real-life cases from your own practice, selected, I assume, for their educational value and interest. Is that correct?
Yes, this is true. All of the cases discussed in the book are real-life cases that I have accumulated during the course of my practice.
Is there anything on the market that is similar to your book?
Not to my knowledge. Most books written on medical renal diseases are organized according to the clinical syndrome instead of morphology. This is a different approach and will be useful, especially for people with limited knowledge of renal pathology. I got this idea from Dr. Agnes Fogo’s article, “Approach to renal biopsy,” published in the American Journal of Kidney Diseases (2003;42[4]:826–836), which helped me develop a basic understanding of renal biopsies during the early days of my renal pathology fellowship. This approach will most surely help and guide others as it helped me, even when I had minuscule knowledge of renal pathology.
To order (PUB129), call 800-323-4040 option 1. CAP member price: $68; for others, $85. The ebook (ebooks.cap.org) is $64. If you are interested in writing a book for publication by CAP Press, contact Caryn Tursky at [email protected].
[divider]
Below is a case from the chapter titled “Pattern of Glomerular Lesions.”
Case: A 73-year-old woman with acute lymphoblastic leukemia/lymphoma (ALL) presents with serum creatinine of 4.8 mg/dL, hematuria, 3+ proteinuria, and low C3 and C4. Serum free light chains ratio of 2.87 (normal <1.65) with normal lambda and elevated kappa light chain.
Renal Biopsy Findings
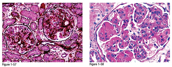
Light microscopy: The glomeruli show mesangial hypercellularity, infiltration of the capillary lumina by inflammatory cells (endocapillary hypercellularity), and rare intraluminal, glassy appearing deposits (pseudo thrombi) obliterating the capillary lumina (Jones silver Figure 1-57). The intraluminal homogeneous, glassy appearing deposits are strongly PASH positive (PASH Figure 1-58).
Immunofluorescence: There is strong granular and chunky peripheral capillary loop and intraluminal staining for IgG (Figure 1-59), IgM (Figure 1-60), and kappa (Figure 1-61), as well as weak staining for lambda (Figure 1-62). The large immune complex deposits along the capillary loops appear sausage shaped with smooth outer contours indicative of the subendothelial location of these deposits.
Electron microscopy: There are frequent subendothelial immune complex deposits (Figure 1-63), which on high power show short curvilinear microtubular substructure with hollow centers (Figure 1-64).
Diagnosis: Cryoglobulinemic Glomerulonephritis
Key Diagnostic Morphologic Features:
Strong PASH-positive intraluminal cryoplugs by LM. IgM-dominant or mixed IgG and IgM with kappa-dominant staining by IF. Microtubular substructure with hollow centers ranging from 25 nm to 35 nm in diameter by EM.
Salient Clinical Features:
The immunofluorescence staining pattern (IgG-IgM with kappa dominance) is consistent with mixed cryoglobulinemia in this case. There are two forms of cryoglobulins: simple (type 1), composed of single monoclonal immunoglobulin (Ig); and mixed, composed of two different types of Ig in which one acts as an antigen and the other as an antibody that is monoclonal in type 2 (rheumatoid factor) and polyclonal in type 3. All type 1 and some type 2 are associated with plasma cell dyscrasia and Waldenström macroglobulinemia or other lymphoproliferative disorder. The most common cause of type 2 cryoglobulinemia worldwide is hepatitis C infection. This is the most common type that involves the kidney. Type 3 is seen with autoimmune disorders or chronic infection. Cryoglobulinemic vasculitis typically involves skin and glomeruli; lung involvement is rare. Severe hypertension is also commonly observed. Plasmapheresis, high-dose glucocorticoids, and cytotoxic agents are the mainstay of the treatment for severe cases. Renal involvement is associated with poor prognosis.
[divider]
Below is a case from the chapter titled “Vascular Lesions.”
Case: A 39-year-old man with a history of scleroderma presents with a hemoglobin of 8.4 g/dL, serum creatinine of 1.7 mg/dL, 4+ proteinuria, and hematuria.
Renal Biopsy Findings
Light microscopy: On low power, there is fibrinoid necrosis of the interlobular arteries and arterioles with fibrin thrombi occluding the lumina and extending to the vascular poles in two glomeruli (top and bottom, Jones silver Figure 2-4). Medium power shows a glomerulus with thickening of the capillary walls caused by endothelial cell swelling and accumulation of material between the endothelial cells and the GBM; this has caused complete obliteration of several lumina, some containing fragmented red blood cells. The remaining lumina are obliterated by fuchsia-colored fibrin thrombi. The associated arteriole is also affected with fibrinoid necrosis and fibrin thrombus (trichrome Figure 2-5). The interlobular artery shows markedly expanded intima with mucoid change and myofibroblastic proliferation (mucoid intimal hyperplasia), leading to occlusion of the lumen (hematoxylin-eosin [H&E] Figure 2-6).
Immunofluorescence: No significant staining for Ig or complements identified.
Electron microscopy: There is marked expansion of the lamina rara interna related to chronic endothelial cell injury with interposed degenerate cellular elements and entrapped fragmented red blood cells. The lumen is partially obliterated and contains fragments of a red blood cell and platelets, and is lined by an endothelial cell that has lost fenestration (Figure 2-7).
Diagnosis: Thrombotic Microangiopathy Consistent With Scleroderma Renal Crisis
Key Diagnostic Morphologic Features:
Acute stage: Intravascular fibrin thrombi and mucoid intimal thickening with or without myointimal cellular proliferation of arteries and arterioles. Chronic stage: Double contours of the GBMs and well-established myointimal proliferation (“onion skinning”) of arteries and arterioles.
Salient Clinical Features:
Scleroderma renal crisis develops in approximately 20% of patients with scleroderma (progressive systemic sclerosis) and is the most common cause of death. Patients present with malignant hypertension and acute renal failure, with additional features of TMA, ie thrombocytopenia, hemolytic anemia (manifested by peripheral schistocytes), increased lactate dehydrogenase (LDH), and depressed haptoglobin.