Karen Lusky
May 2021—How to distinguish “reactive” and “nonreactive” benign lymphocytosis from malignant lymphocytosis, and between benign and malignant large granular lymphocytosis, is how Kyle Bradley, MD, of Emory University, opened his talk in a CAP20 virtual session last fall.
Dr. Bradley, associate professor of hematopathology and director of surgical pathology, co-presented with Olga Pozdnyakova, MD, PhD, on a morphology-based approach to hematopoietic neoplasms presenting with an abnormal WBC differential. (For coverage of Dr. Pozdnyakova’s talks on neutrophilia and monocytosis, see CAP TODAY, February and March 2021.)
“Some reactive lymphocytes can show very atypical morphologic features,” Dr. Bradley tells CAP TODAY, “and individual cells may understandably be worrisome for a lymphoid leukemia or lymphoma.” In these cases, it is important to review many lymphocytes on the smear to identify the broad spectrum of lymphocyte morphologies typical of a reactive lymphocytosis, he says.
Benign lymphocytosis with nonreactive morphologic features is often more of a mimic of malignant lymphocytosis, which is characterized by a monotonous population of lymphocytes. “The main feature for malignant lymphocytosis is that the lymphocyte population is atypical and monotonous in some way,” Dr. Bradley said.
For reactive lymphocytosis, there is a wide range of lymphocyte morphologies within a given blood smear. “That’s the major feature you’re looking for,” he said, noting in Fig. 1 one small typical lymphocyte in the left image. In the center image is one that’s larger and more plasmacytoid appearing. The large lymphocyte on the right has more basophilic cytoplasm and some nucleoli. “This heterogeneity is a good feature for reactive,” he said. “More abundant cytoplasm on some of the cells is typical. Nuclei may be more irregular.”
A typical malignant lymphocytosis is considerably more monomorphic (Fig. 2). “Some atypical features will be present. You may see normal lymphocytes in the background, so you get kind of a dimorphic population,” he said. Extensive blood involvement by mycosis fungoides, a type of T-cell lymphoma, can be seen in Fig. 2.
All of the lymphocytes are atypical, he said, and atypical in similar ways, with the chromatin slightly more dispersed than in a normal lymphocyte. There’s a little more abundant cytoplasm, and a lot of the lymphocytes have “interesting nuclear indentations, or grooves. So uniformity across the cells is the key feature that lets you know this is malignant.”
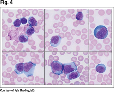
Dr. Bradley presented a case that he called the classic example of benign lymphocytosis with reactive morphology (Fig. 3). A six-year-old male had a white blood cell count of 26.0 × 109/L, 84 percent lymphocytes. “Even in this young age where they can have more of a lymphocytosis, this is still well above the reference range,” he said. (In adults, lymphocytosis is generally defined as an absolute count that exceeds 4.0 × 109/L.)
Every cell is lymphoid, but there is a variety of shapes and sizes. “Some of them are smaller cells. Some are distinctly larger and have more cytoplasm and more dispersed chromatin.” A smudge cell can be seen in Fig. 3 on the left, he said, and “a bit of a remainder of a smudge cell” on the right. Occasionally these can be seen in reactive lymphocytosis.
On higher power (Fig. 4), “sometimes these cases can look scary,” Dr. Bradley said. “Some of the cells can be quite frightening when you first put the smear down, but as you look around and start focusing in on the morphology, you can come to recognize that variety of shapes and sizes.” Some of the lymphocytes are small and look fairly normal. Some are large and have nucleoli and deeply basophilic cytoplasm. “And there’s a lot in between with more abundant cytoplasm.”
The clinician in this case suspected infectious mononucleosis and had already ordered EBV serology, which was indicative of an acute infection (positive IgM viral capsid antigen). The diagnosis was reactive lymphocytosis due to acute infectious mononucleosis.
The Downey classification of reactive lymphocytes is not commonly used in current practice, he noted, but Downey identified, in 1923, three types of cells that defined the spectrum of reactive lymphocytes (Fig. 5). “And these are useful to recognize” when questioning if something is reactive. “I like to search around and find these different types. When I do, I feel much more confident and comfortable that, yes, this is indeed just reactive.”
Type I is less common than type II. “They’re smaller cells but still show atypical features. The nucleus usually has some degree of indentation, or maybe a little lobulation, and the cytoplasm is moderately abundant.” Cytoplasmic granules can be seen in type I.
Type II is the most common type of reactive lymphocyte and is characterized by a larger cell with abundant cytoplasm, he said. The nucleus that is generally round may be a bit irregular, and the chromatin is less condensed than in a normal lymphocyte. “You may get a slight, subtle hint of a nucleolus, but the nucleoli generally are not prominent. The cytoplasm has a characteristic feature—accentuated basophilia. Where it contacts the red blood cells, it often sort of molds around the red blood cells.” Radiating basophilia is a feature that he said is less discussed but fun to observe:
“It’s basically where the basophilia touches the red blood cells. It sort of radiates back to the nucleus.”
Type III cells, Dr. Bradley said, “are frankly immunoblasts, large angry-looking cells but with very coarse chromatin. A prominent central nucleolus is typical,” as is “deeply basophilic, royal blue cytoplasm.”
For lymphocytosis with reactive morphology, in the differential is not only infectious mononucleosis, the classic one and relatively common in practice, but also other viral infections (some cases of acute HIV and viral hepatitis; rarer would be adenovirus, HHV-6, rubella, roseola, mumps, chickenpox), especially acute cytomegalovirus, for which the morphology can appear identical to that of EBV. Parasitic infection (toxoplasmosis) and drug reactions are also in the differential. “The classic group [for drug reactions] would be anticonvulsants, especially phenytoin.”
When is flow cytometry indicated? Dr. Bradley offers guidelines, not hard-and-fast rules. “Basically, anything that doesn’t fit right,” he said, referring to an atypical presentation—an older patient, for example, or clinical information inconsistent with a viral infection. Persistent lymphocytosis and non-classic lymphocyte morphology (less heterogeneous population, highly irregular or lobated nuclei) are other indications.
[dropcap]D[/dropcap]r. Bradley turned to large granular lymphocytosis, which he said “crosses the aisle between benign and malignant.” In Fig. 6 are three large granular lymphocytes (LGLs) in one field (an unusual quantity). “If the LGL count is not too high, you are kind of left wondering whether it is reactive or neoplastic. We can do ancillary studies,” Dr. Bradley said, “but a lot of times I’m signing these cases out as descriptive, and they need to correlate clinically” so a decision can be made on whether and how much to work it up.
In reactive conditions, the absolute LGL count is often less than 2.0 × 109/L, he said. Post-bone marrow transplantation or post-chemotherapy are common etiologies, and some viral infections can increase LGLs. In his practice at an academic center where bone marrow transplants are performed, he sees modest increases in LGLs often. If there was a transplant, “we don’t work them up further,” and he reports it only in the microscopic description.
In contrast, neoplastic cases of LGLs usually are greater than or equal to 2.0 × 109/L. “Sometimes they can be less than that, but more than two should raise your suspicion that this may be neoplastic.” Most of these cases will be the cytotoxic T-cell type. NK-cell types also exist and can look similar morphologically.
Reactive and neoplastic LGLs can be distinguished by flow cytometry.
According to the WHO Classification of Tumours book, to be neoplastic, the lymphocytosis has to persist for more than six months without an identifiable cause. Sometimes LGLs will have atypical morphology. “Typically there’s neutropenia and it may be severe. So if you have LGLs and there’s neutropenia, and not a known explanation for that,” think neoplastic, he said. Occasionally there will be anemia. Thrombocytopenia is less common.
“Most of these neoplasms are indolent, both T-cell and NK-cell type,” he said. “And up to 40 percent of the neoplastic cases can be associated with another disorder, most commonly autoimmune disease” but occasionally myelodysplastic syndrome or, rarely, B-cell leukemia or lymphoma.
Flow cytometry is a good first step to help identify whether the LGLs are NK cells or cytotoxic T cells, he said. “You may have some phenotypic aberrancy and that can be detected by flow cytometry, but there’s not usually significant flow aberrancies.”
Molecular studies are indicated, Dr. Bradley said, noting he and his colleagues often do T-cell receptor gene rearrangement studies. “If you get a clonal population, that doesn’t identify it for certain as neoplastic, but it makes you more suspicious that it may be neoplastic.” He finds the molecular testing most useful when a negative result points to the LGL proliferation being reactive.
A STAT3 mutation analysis is another test to consider. “This mutation may be seen in either T-cell or NK-cell LGL proliferations. About 30 percent of them will have this,” he said, adding that finding the mutation confirms the proliferation is neoplastic. STAT5b is a rare mutation but another one that would confirm neoplastic if present.
[dropcap]N[/dropcap]onreactive morphology—meaning without the wide variety of shapes and sizes—is the last group within benign lymphocytosis. In the differential diagnosis for reactive lymphocytosis with nonreactive morphology are transient stress lymphocytosis, Bordetella pertussis infection, persistent polyclonal B-cell lymphocytosis, autoimmune disease, and T-cell lymphocytosis associated with invasive thymoma.
Transient stress lymphocytosis is under-recognized, Dr. Bradley said. If a blood smear originated from the emergency department, for example, and the patient has lymphocytosis, look into the clinical history, he advises, to see if trauma, sickle cell crisis, myocardial infarction, a burn, or status epilepticus can be identified.
The lymphocytosis is usually mild (4–10 × 109/L) and resolves in a day or two in most cases—sometimes a few days longer—and usually is followed by a neutrophilia.
Fig. 7 is what Dr. Bradley said he typically sees in his practice. “We see a fair amount of sickle cell crisis, and we get these blood smears sent over from the laboratory because the lymphocyte count is significantly elevated. But these are usually young patients, and I don’t have clinical suspicion for a lymphoproliferative disorder. But if you know that this stress event can cause a lymphocytosis, you feel much more confident in explaining it. You can put in your comment that it should resolve in a few days and that the lymphocytes are generally pretty normal looking.”
Some of the lymphocytes can have granules in the cytoplasm, he noted, as seen in Fig. 7. “When you see granules in a lymphocyte, usually they are going to be large granular lymphocytes, but this is an interesting case where in transient stress lymphocytosis, the lymphocytes are not particularly large,” he said in an interview. “They are still small, but you can see a few granules in them. So it helps you distinguish them from LGLs.”
The idea here, he adds, is that if the pathologist recognizes the clinical setting, especially if the patient’s age “doesn’t quite fit for CLL, or there was no real worry about that, it might be reasonable in those situations to recommend following the patient to make sure the lymphocytosis resolves in a week or so rather than do extensive additional testing.”
Bordetella pertussis is another one to be aware of. Bacterial infections cause neutrophilia but seldom cause lymphocytosis, although pertussis is an exception, he said. “The organism produces a toxin that prevents homing of lymphocytes from the blood back to lymphoid tissue. This is an interesting mechanism. Basically, the cells are getting into the blood and then can’t exit, so they’re accumulating in the blood.” The mean lymphocyte count is 10 × 109/L, but it may exceed 30 × 109/L and be concerning for a neoplasm.
The classic morphology is that most of the lymphocytes will have an interesting cleaved or clefted morphology, he said (Fig. 8). “And this breaks the rules because when you see monotony and atypical features, it’s almost certainly malignant. This is an exception to the rule.”
“Generally, the clinical information will be a big bailout,” he continued, because the patient may be a one-year-old and the chance the child will have a follicular lymphoma, mycosis fungoides, or some other B-cell or T-cell malignancy is rare. “If the clinicians don’t already know the patient has pertussis, then you get to play that role and be sure they do that testing.”
Persistent polyclonal B-cell lymphocytosis, which can sometimes persist for decades, is rare. The median lymphocyte count is 5.5 × 109/L—not markedly elevated. “There are curious associations with females [82 percent of patients] and almost every patient is a smoker,” Dr. Bradley said.
A polyclonal increase in IgM is another finding, and a third to half of the cases will have a cytogenetic abnormality—a gain of isochromosome 3q, “which would raise concern for malignancy.”
The morphology can be seen in Fig. 9. “Beautiful binucleated lymphocytes,” Dr. Bradley said, and different from pertussis. They’re a minority of the lymphocytes. “This won’t be all the cells, but if you see these scattered around, they would be very curious cells,” he said, and “pretty specific for this entity.”
Persistent polyclonal B-cell lymphocytosis breaks the rules, he says, because the presence of a clonal cytogenetic abnormality is almost always indicative of a malignancy. “We always think about genetic abnormalities such as this as being seen only in malignant conditions, but this is something that is noticed in this disorder.” PPBL is rare, “so there’s limited data on it, and the thought is that most of these cases are benign. They don’t show malignant behavior. They don’t progress, they don’t grow, they don’t require treatment, but there are rare reports in the literature of patients developing lymphoma afterward,” he says.
Dr. Bradley has never seen a case of PPBL, but it’s important to be aware of this rare entity, he says, because its features—persistence of lymphocytosis, lack of typical reactive morphologic features, presence of a cytogenetic abnormality—are concerning for a malignant lymphocytosis.
“If pathologists ever run across it, they need to know it exists. Otherwise, you’d be completely confused by what this is.”
And that, he says, was the point of part of his presentation: “to put something that’s hidden in the back of somebody’s mind.”
Karen Lusky is a writer in Brentwood, Tenn.