Karen Lusky
June 2019—The pathologic approach to evaluating specimens as part of a workup for medical lung disease demands a different strategy than is typically used for the patient with a question of neoplasia, says Brandon T. Larsen, MD, PhD, senior associate consultant in the Department of Laboratory Medicine and Pathology at Mayo Clinic Arizona and associate professor, Mayo Clinic School of Medicine. Incorporating clinical and imaging information is essential to arriving at the best diagnosis, he says. “And the pathologist should have a low threshold for consulting with the medical record or getting on the telephone and talking with his or her clinical colleagues.”
Dr. Larsen’s remarks represent some of the recurring themes in a CAP18 session, “Forget Your Unease With Interstitial Lung Disease: Top 10 Pearls to Change Your Practice Immediately,” which he co-presented with Maxwell L. Smith, MD, a consultant in the same department and associate professor, Mayo Clinic School of Medicine. The goal in developing the course, Dr. Smith says, “was to share with the general surgical pathology community the challenges we see that they face most often.” It was also to provide a bit of the background data—clinical and radiographic—in the setting in which pathologists see these biopsies, to better equip them to sidestep the pitfalls.
Dr. Larsen reviewed the current classification of interstitial lung diseases (Fig. 1). “The first category includes the diffuse parenchymal lung diseases where there is a known cause or association that can be demonstrated through clinical, radiologic, and/or laboratory means,” he said. The second category of interstitial or diffuse parenchymal lung diseases includes the idiopathic interstitial pneumonias, which are clinically idiopathic and therefore diagnoses of exclusion by definition. The other categories include the granulomatous lung diseases, such as hypersensitivity pneumonitis and sarcoidosis, and a “wastebasket category” of other diffuse lung diseases.
With interstitial lung disease (ILD), pathologists see patterns of injury in the lung biopsy, Dr. Larsen said. “We don’t actually see specific diagnoses a lot of the time, which is what makes this a challenging arena.” In addition, “biopsies that have identical histology to the idiopathic interstitial pneumonias may actually have very clearly defined etiologies clinically.” For example, a biopsy that looks like a usual interstitial pneumonia, or UIP, pattern isn’t necessarily always idiopathic. “It can certainly be some other problem.”
In discussing their pathologic approach to the lung biopsy in ILD, Dr. Smith shared a poster titled “Leslie’s 6 Patterns of Pulmonary Pathology,” compiled by now-retired Mayo Clinic pathologist Kevin O. Leslie, MD (Fig. 2, and available at www.6patterns.org/the-poster). To explain why the poster is so useful, Dr. Smith showed an image of a scorpion and asked two questions: “Is this good or bad? It’s bad, right? When I put the image up there, you knew it was bad. The hair on the back of your neck is standing up a bit.”
“The second question is, how many legs does this guy have?” It’s a more difficult question, Dr. Smith said, observing that some people weren’t even attempting to answer because they didn’t want to “engage the brain” to consider it. Some were counting until they got to the pedipalps and couldn’t decide if it was a leg or an arm. The scorpion in the image was an Arizona bark scorpion. Of the thousands of scorpion species in the world, “only a few of them are venomous, and this one is one of the ones that is venomous,” he said. “So these are nasty buggers.”

Dr. Smith said the exercise embodies two ways people think, according to cognitive scientists: fast and slow. Those attending the session involuntarily answered the first question about whether the scorpion was good or bad. “This is your fast thinking. It happens quickly; it requires no effort. It’s like a tubular adenoma. Super easy.”
Fast thinking provides a survival advantage. “When I’m at my house and stick my foot down next to the scorpion, I jump back really fast,” Dr. Smith illustrated. “I don’t have to stop and think, ‘Well, it has eight legs and has the tail doing this, and I’m going to move my foot.’” However, fast thinking “is prone to bias because sometimes I put my foot down next to a coiled-up rubber band, and I jump back too, and then I look kind of silly.”
The second question about the number of scorpion legs involves slow thinking. It requires voluntary activation and effort; it’s slow and inefficient. “This is like the polyp you get at three in the afternoon that is not a tubular adenoma or a hyperplastic polyp. And you are like, ‘Ahh, is it an SSA [sessile serrated adenoma]?’” Slow thinking “gives you an intellectual advantage,” Dr. Smith said. “It’s very analytical and calculating.”
The six patterns of pulmonary pathology poster offers the benefits of fast and slow thinking. There are only six patterns, Dr. Smith said, which pathologists can easily determine with their fast thinking: “Acute lung injury: edema, hyaline membranes. Fibrosis: scarring. Cellular infiltrates: a lot of lymphoplasmacytic infiltrate. Alveolar filling: You don’t see any more air spaces. Nodules are nodules,” he said. “Everybody can recognize a nodule. And then minimal change. You look at the biopsy and say it looks pretty much normal.” Underneath each fundamental pattern is a list of additional things pathologists should look for to develop a differential diagnosis and dig further into the case.
Fast thinking gets the pathologist the first step, Dr. Larsen said. “The second step, of course, is to slow it down and start looking for clues that can help refine your diagnosis.” In that regard, he recommends also assessing the severity and distribution of disease. “Some injury processes are mild and some are severe, and then there is other stuff in between, and depending on how severe that injury is, the consequence in the biopsy will differ.”
As pathologists know, the pulmonary lobule is the functional unit of the lung, Dr. Larsen said. “There is the bronchovascular bundle in the center of the lobule, and then the airway branches into respiratory alveolar ducts.” The alveoli are in the periphery. As one might expect, he said, a mild injury to the alveolar parenchyma could cause mild thickening or mild scarring of the alveolar parenchyma. Yet the lung’s architecture is still maintained. To show how that might appear histologically, Dr. Larsen referred to the image of mild diffuse fibrosis (Fig. 3), saying, “Most of us would recognize this as an NSIP (nonspecific interstitial pneumonia) type process from a mild inflammatory injury to that alveolar parenchyma.”
That’s different from a severe injury in which all alveolar structures are destroyed. The body has no framework to repair that damage, other than to lay down a lot of scar tissue. When that scar develops and contracts, it pulls on the airways in the middle of that lobule, making them ectatic, Dr. Larsen said, pointing to the image of honeycombing (Fig. 3). “So it’s essentially a tractional bronchiolectasis in the center of that destroyed lobule that has nothing but a bunch of fibrosis in its periphery,” he said. In lung pathology, this honeycombing is the result of a severe injury process involving that lobule. “You can see the histologic correlate very clearly: cystically dilated air spaces surrounded by scarring.”
In terms of the distribution of injury, Dr. Larsen finds it useful to identify an airway-centered pattern of injury. If some type of injurious agent is inhaled into the central airways, such as aspirated food or an antigen to which the person has been sensitized, it will preferentially affect the central part of the lobule. “You will end up with central destruction of the lobule with scar formation,” he said. (Fig. 3). “If that scar occurs and then starts to contract and mature, it will pull on the surrounding parenchyma, and you can end up with cystic dilatation of the peripheral parenchyma in that lobule,” which would look somewhat like the airway-centered fibrosis in the image. “If you see airway-centered fibrosis, you know you are probably dealing with an injury process that involves some sort of substance that is coming in through the airways.”
Drs. Larsen and Smith presented 10 cases, among them the two reported in this article. They took turns acting as though they were the original pathologist “falling into the pitfall of the case,” Dr. Smith said. The other one would then come in and explain what the pitfall was and how to avoid it.
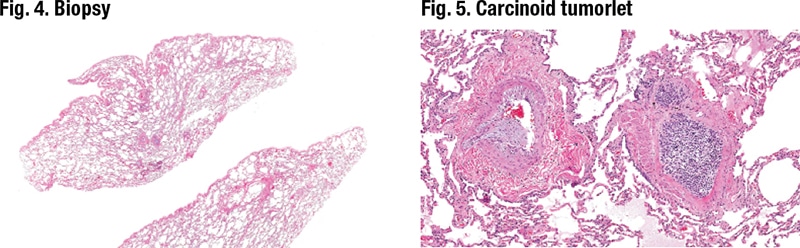
[dropcap]I[/dropcap]n the first case, a female in her early 50s had a cough and increasing shortness of breath and required oxygen. Imaging studies exhibited bilateral ground glass opacities (GGOs). Wedge biopsies of the right upper and lower lobes were performed. Dr. Smith reported that the biopsy did not have any fibrosis, organizing pneumonia, or cellular interstitial infiltrates (Fig. 4). The airways and arteries looked okay and the interstitium wasn’t expanded. Seeing a small carcinoid tumorlet, he signed the case out: “Normal lung tissue with rare carcinoid tumorlet.” (Fig. 5).
The pulmonologist was astonished: “Normal? My patient is dying, on oxygen, short of breath, with bilateral infiltrates. Please send that case out.”
Dr. Larsen pointed out that people who have a surgical wedge biopsy are almost always very ill. And the radiologic differential diagnoses for ground glass opacities are diffuse alveolar damage, acute lung injury, cryptogenic organizing pneumonia, nonspecific interstitial pneumonia, or aspiration. “So there’s clearly a discrepancy between the histopathology and the radiology” and what the pulmonologist suspected. The pathologist seems to be wrong, he said. It’s not a normal biopsy; the patient is very sick.
The radiologist was responsible for the discrepancy in this case. Dr. Larsen noted that mosaic attenuation is a helpful characteristic on a CT scan, signifying a phenomenon in which the lung demonstrates patchy lighter and darker areas—gray, black, white. Ground glass denotes areas where the lung is lighter in color, and the lung architecture behind that can be seen. “So it’s lighter gray, if you will,” he said. “But the radiologists know that other things can cause this patchwork where, in fact, the light areas are not the abnormality; the dark areas are the abnormality,” which is an indicator of air trapping owing to disease of the small airways (Fig. 6).
“This is a common misinterpretation that we see,” Dr. Larsen continued, because usually the mosaic attenuation is ground glass, and the ground glass opacities are the abnormality. Sometimes, however, the opposite is true and sometimes the radiologist misinterprets this kind of phenomenon. (One of the clues that radiologists use to distinguish GGOs from air trapping is “the expiratory phase or expiratory imaging,” Dr. Larsen said. If those abnormalities become more prominent when the person exhales, the radiologist interprets that as indicative of air trapping. [Fig. 7].)
Dr. Larsen said he’d already shared the differential diagnosis for GGOs. “But, basically, when it’s really ground glass opacities, the clinician is expecting acute injury, diffuse alveolar damage—some sort of acute process—whereas air trapping will typically manifest itself histologically as a minimal change biopsy.” (Fig. 8)
The pearl: When pathologists see a minimal change biopsy, they should consider small airways disease, constrictive bronchiolitis, chronic vascular disease, “or something along those lines,” Dr. Larsen advises. “In our particular case, if you go back to this biopsy, it does look essentially normal and yet something is missing from this histology. Where are the airways? The small airways have been pruned as part of that disease process. They are fewer in number. The disease process has resulted in destruction of the small airway, which is why they end up with a bunch of air trapping.”
The small area of neuroendocrine cell proliferation, the carcinoid tumorlet, should alert the pathologist to examine the remaining airways more closely, he advises. “In this particular case, there was profound neuroendocrine cell hyperplasia surrounding most of the small airways that were still there.” (Fig. 9). “So this is actually a case of diffuse idiopathic pulmonary neuroendocrine cell hyperplasia, or DIPNECH, with resulting constrictive bronchiolitis, producing a pattern of air trapping on the imaging studies that was mimicking ground glass opacities but in fact was not that.” Dr. Larsen suggests that in such a case, the pathologist might consider including a note that says, “The GGOs on the imaging studies may actually reflect mosaic attenuation of constrictive bronchiolitis, as there is no histologic correlate for ground glass opacities in the biopsy.”
The point here, Dr. Larsen tells CAP TODAY, is that the carcinoid tumorlet isn’t the main pathology. “It’s what catches the eye of the pathologist, but it’s not actually the major problem.” As for why the pathologist didn’t notice the loss of airways, Dr. Larsen says it’s easy to see something unexpected, such as the carcinoid tumorlet. “What’s harder for people to recognize is the absence of a structure that should be there but isn’t. That’s the fundamental problem here, and the bigger problem is one that relates to the overall point of our entire course, which is you can’t evaluate these things in a vacuum without clinical and imaging information.”
[dropcap]D[/dropcap]r. Larsen presented a case in which a 71-year-old male with end-stage renal disease who had a kidney transplant a week and a half earlier now had shortness of breath and swollen legs. The patient’s imaging studies resembled those of the prior case: “There’s mosaic attenuation. Maybe this is ground glass opacities, maybe it’s air trapping, one of the two—probably more likely ground glass opacities,” he speculated. The radiologist reported “extensive ground glass attenuation, focal areas of increased density and consolidation with linear opacifications in the lower lobe.” The radiologic impression was as follows: “Diffuse pulmonary edema or diffuse alveolar damage or diffuse infection or a combination of the above. Cannot exclude a chronic fibrosing process.”
Dr. Larsen viewed the biopsy at low power and said it look liked there was an alveolar filling pattern and acute lung injury. “It’s really edematous, and I see hyaline membranes, which is fantastic because now I know what the diagnosis is. Diffuse alveolar damage. Things look really reactive. I don’t think this is a tumor; I think this is just all acute and organizing diffuse alveolar damage.” (Fig. 10).
When the pathologist told the clinician he thought the patient had acute and organizing diffuse alveolar damage, the clinician replied, “No kidding. We already knew that. The patient is in the ICU on a ventilator trying to die.” The clinician said they knew the patient would have DAD because clinically there was acute respiratory distress syndrome. “The reason I did the biopsy,” the clinician said, “was so you could tell me why my patient has DAD.”
The pearl associated with this case, Dr. Smith said, is that a pathologist’s job is not complete once he or she diagnoses DAD or acute lung injury. “There’s actually a laundry list of things you need to look for in order to help identify the etiology, because that’s what the pulmonologists and clinicians and infectious disease doctors are interested in—what is causing this acute presentation with injury.”
Dr. Smith named eight features he sees frequently in the setting of acute and organizing lung injury (Fig. 11). One is edema, which is sometimes the only finding even before hyaline membranes. “All you see is edema,” he said. Others are hyaline membranes, organization, inflammatory cell infiltrates, fibrin, necrosis, and thrombi. In some cases they also see squamous metaplasia. “Then people worry about squamous cell carcinoma in situ because the squamous metaplasia is so robust in the setting of acute and organizing DAD.”
Dr. Smith recommends pathologists look for eight clues to help them discover the etiology. He refers to his mnemonic as C-BED-FISH (for the first letters of each item):
Connective tissue disease. “An acute flare in a patient with connective tissue disease will look like acute and organizing DAD,” Dr. Smith said, but features in the background suggest connective tissue disease. These are lymphoplasmacytic infiltrates, chronic pleuritis, lymphoid aggregates, chronic bronchiolitis, follicular bronchiolitis, and inflammatory cell changes.
Blood. “Features that suggest acute lung injury is related to an acute and organizing alveolar hemorrhage process are hemosiderin laden macrophages, red blood cells entrapped within fibrin, and evidence of capillaritis,” he said.
Eosinophils. Unless the patient was treated with steroids first, the criteria for acute eosinophilic pneumonia are eosinophils embedded within fibrin with reactive type II pneumocytes.
Drugs. Pathologists should look for features of drug reactions. “The common one we think about is amiodarone-induced drug toxicity where you have foamy cytoplasmic change of the pneumocytes and the macrophages in the air spaces.”
Foreign material. Someone who aspirates a lot of gastric contents might have foreign material in the lung, Dr. Smith noted, but the person can also develop an acute aspiration pneumonitis with DAD from it, and from other material too, such as chemoembolization beads.
Infection. This is the most important one to search for, Dr. Smith said, given that clinicians would treat the other conditions with steroids. “When you boil it down, that is really why they did the biopsy—to answer that one question,” he said. With input from the audience, he identified four things to look for in the setting of acute and organizing lung injury: necrosis, granulomas, viral cytopathic effect, and prominent neutrophilic inflammation. “If you have those things, you have to be super concerned about an infectious process. And you tell the clinician, ‘I don’t think I would treat that patient with steroids. Even though I can’t stain a bug with my special stains, I don’t think I would treat that patient with steroids.’”
Pathologists always have to be concerned about infection in any acute and organizing lung injury, so he advises at a minimum getting a GMS (Gomori’s methenamine silver) stain. However, “If you say it’s an acute and organizing DAD, but there’s no necrosis, no granulomas, no neutrophilic inflammation, and no viral cytopathic effect, the likelihood that that DAD is associated with infection drops,” but not to zero. “You can’t say it’s not an infection, but it drops significantly enough to say, ‘I don’t see any of these features and you want to treat with steroids, so I’d say go ahead—high dose.’”
Scarring. Patients with a background interstitial lung disease characterized by scarring may be experiencing an acute exacerbation of their idiopathic ILD.
Hypersensitivity. Many don’t think about the features of hypersensitivity in the setting of acute lung injury. Yet if someone has a “large organic antigen exposure”—such as the person who is hypersensitive to mold and cleans out a barn containing huge amounts of hay mold—he or she is going to present with an acute and organizing lung injury, Dr. Smith cautions. Features to look for are cellular interstitial infiltrates and poorly formed interstitial granulomas.
Returning to the case, Dr. Smith displayed an image of the patient’s biopsy at low and then high power, noting the pronounced foamy cytoplasmic change, both of the pneumocytes and the histiocytes that are present within the air spaces. This is what amiodarone and other drug-associated lung toxicity looks like in the setting of diffuse alveolar damage, he said, encouraging attendees to burn the image into their heads (Fig. 12).
The pathologist has to perform clinicopathologic correlation in these cases, Dr. Smith said. So he spoke with the nephrologist who said the patient’s atrial fibrillation had been treated with daily amiodarone for years. During the pre-transplant assessment, the clinicians said he should probably discontinue the drug to prepare for the transplant. “Somehow, some way, the ball got dropped, and he was actually taking amiodarone on the day he was called to get a renal transplant,” Dr. Smith said. The patient also had risk factors for amiodarone-induced lung toxicity. He was an older male who had been on a fairly high dose for years and had just undergone a major abdominal surgery for renal transplantation.
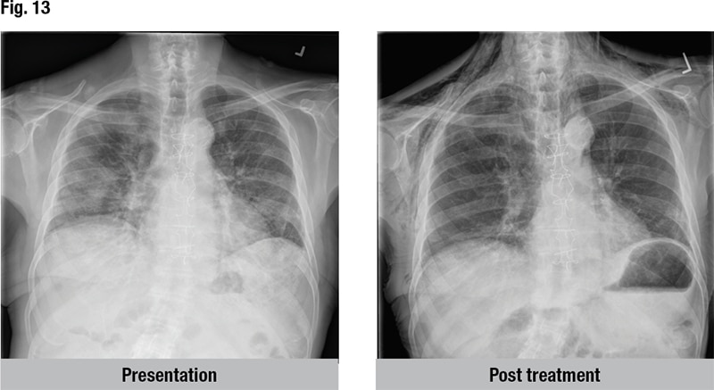
Amiodarone-induced diffuse alveolar damage was the clinicopathologic diagnosis. Dr. Smith pointed to the man’s post-treatment CT scan, which no longer showed infiltrates (Fig. 13). This is what happens, he said, when the patient has an adverse drug reaction that is treated appropriately by stopping the medication and administering high-dose steroids. “The patients do very well. It’s one of the best kinds of DAD you can have, if there is a good kind of DAD to have.”
Dr. Smith, who practiced as a general pathologist before becoming a lung pathologist, proposes how pathologists could use Dr. Leslie’s poster on pulmonary pathology patterns when they don’t have the clinical history and imaging studies for a case. “The fast thinking and the slow thinking can at least narrow down a differential diagnosis,” he tells CAP TODAY. Then the pathologist has a “handful of possibilities” and can call the clinician and say, “‘I don’t know anything about this case, but this is what I’m seeing, and I am thinking about these five possibilities. What are your thoughts?’ And that opens up a nice dialogue with your clinical colleagues.”
In Dr. Smith’s experience, often the clinicians have reviewed the patient’s imaging studies themselves and come up with a differential diagnosis. “What they are hoping for from the biopsy is some guidance as far as the diagnosis, and then how to treat their patient,” he says. Between the clinician who knows the radiology and the pathologist, “you can usually get pretty close to the actual pathologic process that is going on with the patient.”
Karen Lusky is a writer in Brentwood, Tenn. Drs. Larsen and Smith will present all 10 of their cases and pearls at CAP19, Sept. 21–25 in Orlando.