Amy Carpenter Aquino
August 2021—Platelet function testing using platelet-rich plasma is the gold standard, but whole blood platelet aggregation has its advantages, with less risk for preanalytic error among them. “More important, if you use whole blood, it’s more physiological,” says Morayma Reyes Gil, MD, PhD, medical director, hematology and coagulation laboratories, Montefiore Medical Center, and associate professor, Department of Pathology, Albert Einstein College of Medicine.
Dr. Reyes Gil, in a virtual AACC session last year, reported on the use of whole blood assays to identify platelet disorders and a handful of her laboratory’s cases. A co-presenter, Geoffrey Wool, MD, PhD, reported on how to use platelet-rich plasma (https://tinyurl.com/789wab6t).
“The first thing we do when we’re asked to diagnose a bleeding disorder is to rule out things that are common or easy to rule out” with prothrombin time and partial thromboplastin time tests, Dr. Reyes Gil said. “Let’s make sure they’re normal and there’s not a coagulation factor deficiency.”
If the PT and PTT results are normal, and von Willebrand factor levels are normal, assessing the platelet count is the next step. “An abnormal platelet count can lead us to the right diagnosis,” Dr. Reyes Gil said. A high platelet count could be due to thrombocytosis—reactive or owing to a myeloproliferative disorder—while a low platelet count could indicate an acquired condition, such as immune thrombocytopenic purpura, or a hereditary condition.
Many laboratories do not accept cases in which the platelet count is lower than 150,000 because it could affect the results. “In my lab, I tend to be a bit more flexible,” with a platelet count of 100,000 or greater allowed. “But we have to be extremely careful with interpretation.”
The platelet function analyzer 100 (PFA-100 and the newer PFA-200) and thromboelastogram (TEG or ROTEM) provide information about platelet function and can reduce the need for a platelet aggregation study, but they have limitations. “These assays are not diagnostic. The diagnostic test for platelet disorders has to be platelet aggregation,” Dr. Reyes Gil said.
The strong platelet agonists—collagen, thrombin, thromboxane A2, and arachidonic acid—directly induce aggregation, thromboxane A2 synthesis, and granule secretion. “We can give platelets arachidonic acid just to ask if they can make and respond to thromboxane A2,” she said.
The weak platelet agonists—ADP and epinephrine—are more useful for platelet-rich plasma optical detection, she said, because of the ability to see a secondary wave of aggregation with these agonists, which indicates platelet secretion. They are not so useful in whole blood, especially epinephrine. “There are a high number of patients who are completely normal and don’t respond well to epinephrine using whole blood platelet aggregation.”
Ristocetin, which causes agglutination but no aggregation, is useful for revealing the binding of von Willebrand factor to GpIb and platelets.
The PFA-100 (and -200) uses whole blood for platelet analysis. The blood passes through a hole in the membrane of a test cartridge coated with collagen and epinephrine or collagen and ADP. “The platelets start aggregating because they bind to the collagen and the other agonists,” Dr. Reyes Gil said. When the platelets aggregate enough to close the hole and prevent blood from passing through the membrane, “that’s the closure time.”
PFA-100 test results are based on whether the closure times fall within the reference ranges: 81 to 180 seconds for collagen with epinephrine and 66 to 116 seconds for collagen with ADP (shorter because ADP is a bit stronger than epinephrine). “This is a wide range, which tells us that we may miss some mild conditions or disorders,” she said, noting that storage pool disorders, secretion defects, and mild von Willebrand disease may present with normal PFA-100 results.
Prolonged closure times for both collagen/epinephrine and collagen/ADP membranes would indicate likely severe platelet dysfunction, Dr. Reyes Gil said. “It could be Glanzmann thrombasthenia or Bernard-Soulier syndrome or severe von Willebrand disease.”
A prolonged closure time with only the cartridge that has collagen and epinephrine would more likely be associated with aspirin or NSAIDs.
Anemia will give a prolonged closure time because of the decrease in the red blood cell count. “It’s a matter of concentration and density,” she said. “There’s more room for the platelets to move around, to go through the hole, before they form a platelet plug.” And many patients with platelet disorders already have anemia because they bleed. “But there are many other conditions that can cause anemia, like iron-deficiency anemia,” Dr. Reyes Gil said. “And that doesn’t rule out mild platelet disorders if you have a normal result with a PFA-100 or rule in anemia as the sole explanation if you have an abnormal result.”
The thromboelastogram uses a sensor pin inside a cup to test for clot formation of whole blood. “If the cup is spinning, it is a TEG. If the pin is spinning, it is a ROTEM. But there are similar parameters with both modalities, and the principle of viscoelasticity is the same,” she said.
In TEG, the cup with the whole blood rotates slowly, followed by the activation of the coagulation cascade with kaolin. The first parameter of TEG is the R value, which measures in seconds the time from the start of the reaction to the first sensing of pin movement. “That tells you that the coagulation cascade has activated platelets,” she said, “and that R correlates very well with how well the coagulation factors have formed thrombin.” Heparin will prolong the R, as will decreased coagulation factors, specifically intrinsic factor deficiencies, such as in hemophilia.
Also measured is the angle and the K (kinetics), which is the distance from the start of R until the clot reaches a set point (20 mm, usually a third of the maximum clot size), maximum amplitude (the larger the better the platelet function), and clot lysis.
[dropcap]T[/dropcap]he whole blood platelet aggregation method is based on electrical impedance: Activated platelets bind to electrodes in the whole blood and create a layer of phospholipids that becomes resistant to current. “Measuring the change in impedance, which is directly proportional to the degree of aggregation, is how we assess aggregation,” Dr. Reyes Gil said.
It requires less total blood volume than what is needed for platelet-rich plasma aggregation, she said, noting its significance for pediatric cases. A panel of platelet aggregation with 10 agonists would require a minimum of 10 mL of whole blood, “but for platelet-rich plasma, we would need about 20 mLs,” she said.
Whole blood platelet aggregation doesn’t require the manipulation needed to separate platelet-rich plasma, which is time-consuming and can lead to preanalytic errors and platelet activation, she said. “Because you can avoid all of that, it becomes faster.”
One of its disadvantages is the inability to visualize a secondary wave—normally seen with weak agonists like ADP and epinephrine—as a sign of secretion. “So as an alternative, we can use chemiluminescence, which can be used in either platelet-rich plasma or whole blood,” Dr. Reyes Gil said. Chemiluminescence is performed by adding luciferase and its substrate, luciferin, to whole blood. Luciferase cleaves luciferin to produce light “only in the presence of ATP,” she said, “because it needs ATP.” When they get activated, the platelets will secrete the ATP needed for luciferase to produce light. “So we can measure the light as a surrogate of ATP secretion.”
Whether a laboratory is using the platelet-rich plasma optical method or the whole blood platelet aggregation method, a pattern can be seen for the most common platelet disorders, Dr. Reyes Gil said. For example, von Willebrand disease isn’t an intrinsic problem of platelets, “but it may affect how well platelets respond to ristocetin.” Because ristocetin binds von Willebrand and platelet GpIb, it brings them close together and induces platelet agglutination. Increased aggregation or agglutination with ristocetin “could be due to a gain-of-function von Willebrand disease, also known as von Willebrand disease type 2B or pseudo (platelet-type)-von Willebrand disease if the gain-of-function mutation is in platelet GpIb.”
Decreased aggregation, even with high-dose ristocetin, could be a dysfunction of von Willebrand, or it could indicate a significantly lower amount of von Willebrand factor, she said. “Or you could have a normal response, which is what commonly happens for most cases of mild von Willebrand disease.”
With Glanzmann thrombasthenia, in which there are abnormalities and mutations in GpIIb/IIIa, no aggregation will be seen with agonists, but it will be normal with ristocetin because functional GpIIb/IIIa isn’t needed for VWF binding to GpIb on platelets.
“An opposite pattern is seen in Bernard-Soulier,” Dr. Reyes Gil said. “The problem here is that GpIb is affected and/or mutated, and therefore that binding to von Willebrand factor is decreased, so you will see absent aggregation with ristocetin but it will be normal with all other platelet agonists.”
Dr. Reyes Gil turned to secretion, noting that if the formation of thromboxane A2 is inhibited, or the enzymes needed to form thromboxane A2 are missing, “you’re not going to see aggregation when you give arachidonic acid to platelets. And because thromboxane A2 is so important for the secretion when platelets are induced with other agonists, you may see decreased ATP secretion with other agonists like collagen or ADP.”
Thromboxane A2 analogue U46619 can be useful in differentiating an aspirin-like defect from a storage pool disorder. Decreased ATP secretion with multiple agonists is seen in storage pool disorders, and the abnormalities are more obvious when platelet aggregation secretion is induced with thromboxane A2 analogue U46619, Dr. Reyes Gil said.
“Thromboxane A2 is a very important agonist,” she said. “It diffuses out of the platelet and binds the thromboxane A2 receptor and induces signaling. So it’s extremely important for activation and secretion and its production is induced by all other strong agonists—ADP or collagen or thrombin. The platelets will make their own thromboxane A2 when activated.”
[dropcap]D[/dropcap]r. Reyes Gil presented the case of a 33-year-old female with obesity and pseudotumor cerebri requiring surgery. She had three pregnancies and had given birth to three children. She lost her youngest child at six months from a spontaneous intracranial hemorrhage, “a strong indication of a possible autosomal dominant disorder,” she said, noting most platelet disorders are autosomal recessive.
Dr. Reyes Gil said her laboratory always runs a normal control with the patient for the same agonist during whole blood platelet aggregation. In this case, the low-dose ADP release was normal for the control and at acceptable limits for the patient. The high-dose ADP release result was useful, she said, because “if it’s abnormal at low dose but then normal at high dose, we call it normal because we can overcome the deficiency.”
In this case, the ADP release improved on the patient at a higher dose and was considered normal. The pattern for collagen was also normal.
For arachidonic acid, the control result was normal, but the patient’s result revealed no aggregation for arachidonic acid and no ATP release. (For thromboxane A2 analogue, for control and patient: normal aggregation and ATP release.) “So there was a problem with the response to arachidonic acid: zero aggregation, zero ATP release,” Dr. Reyes Gil said. (Von Willebrand studies were normal.)
“So the interpretation of this is that the only abnormality was absent aggregation and ATP release with arachidonic acid,” she said. “We always make sure patients do not take aspirin or NSAIDs” by calling when the aggregation is scheduled and on the day before aggregation when patients are reminded of their appointment and asked whether they took aspirin or NSAIDs in the prior two weeks.
“We knew this patient had not [taken aspirin or NSAIDs], and indeed she mentioned she avoids those medications as she bruises when she does. So we called it an aspirin-like defect,” she said. “This is a very rare, most times autosomal dominant condition. Most times it is a cyclooxygenase deficiency and tends to be mild bleeding and underdiagnosed.”
Aggregometry revealed no response to arachidonic acid but normal aggregation response to thromboxane A2 analogue, indicating its receptor, downstream pathway, and secretion are normal. “This shows us how useful thromboxane A2 is,” she said.
Another case is that of a 34-year-old female from Puerto Rico. The patient had excessive vaginal bleeding and a known platelet disorder in the past, though what disorder it was wasn’t known because the medical record couldn’t be accessed. She had desmopressin for her three deliveries, with no issues.
“With whole blood platelet aggregation, we can measure ATP release with thrombin. The patient has decreased thrombin ATP release when her platelets are induced with thrombin,” she said. With collagen, the patient’s platelets could aggregate, but there was no ATP release. The patient’s platelets were also able to aggregate with ADP, but the ATP release was decreased. With arachidonic acid, the patient’s platelets could aggregate, but there was no ATP release. And with thromboxane A2 analogue, she said, there was a somewhat decreased aggregation compared with the control and no ATP release.
“The pattern we’re seeing is that there is a problem with ATP release and secretion,” Dr. Reyes Gil said, adding that the patient had “a classic presentation of Hermansky-Pudlak,” for which electron microscopy is recommended for confirmation.
Hermansky-Pudlak, which is a storage pool disorder, has a “constellation of symptoms,” such as oculocutaneous albinism, Dr. Reyes Gil said. “It’s common in Puerto Rico [1/1,800 people] because of a founder HPS1 mutation in Puerto Rico but is fairly rare elsewhere [1/500,000].”
Dense granules would be visible by electron microscopy of whole mount of platelets in a normal case, she said, “and in this patient we saw no dense granules.”
The patient was given desmopressin and advised to wear sunscreen. “One of the major complications in this patient is pulmonary fibrosis, so we treated with steroids and immunomodulators.”
[dropcap]T[/dropcap]he third case is that of a 52-year-old female with a medical history of heavy menses and with chronic, stable thrombocytopenia since 2001. The patient presented for recent menorrhagia with symptomatic anemia requiring RBC transfusion.
The platelet aggregation study result (whole blood) with arachidonic acid was decreased compared with the normal control, as was the ATP release. “When we looked at thromboxane A2 analogue U46619, there was absolutely no response,” Dr. Reyes Gil said. The ATP release was also decreased.
“So in this patient we see absent aggregation with ADP and thromboxane A2, and decreased aggregation with collagen and arachidonic acid. However, there is normal ATP release with ADP and low-dose collagen, decreased ATP release with high-dose collagen and arachidonic acid, and normal response to ristocetin.”
Platelet electron microscopy revealed normal dense granules, so it was not a dense granule deficiency.
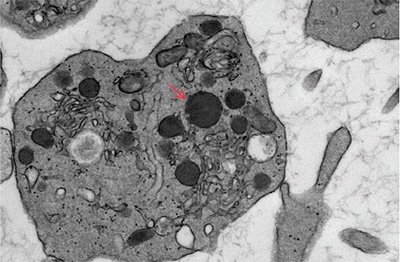
In looking at the thin section platelet transmission electron microscopy, the patient was seen to have normal mitochondria, tubular networks, glycogen, and dense granules. “But we see no alpha granules,” she said (Fig. 1).
“This is called gray platelet syndrome. It’s a rare congenital autosomal recessive bleeding disorder caused by a reduction or absence of alpha granules in the blood platelets.” Mutations in the NBEAL2 gene on chromosome 3p is the cause for about 90 percent of cases. The NBEAL2 gene encodes a protein containing a BEACH domain that is involved in vesicular trafficking, she said.
Case No. 4 is that of a one-year-old male with Jacobsen syndrome and persistent borderline thrombocytopenia who presented for follow-up. The patient’s screening test for coagulation was normal.
“This patient had a delayed response to arachidonic acid compared to the control,” Dr. Reyes Gil said. He had no ATP release with arachidonic acid and a somewhat delayed response to and no ATP release with thromboxane A2.
The aggregation studies were normal for other agonists, but the decreased ATP release and the delayed response to arachidonic acid and thromboxane A2 were significant. “It’s somewhat similar to what we saw before in the storage pool disorder,” she said.
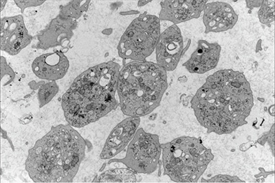
“When we looked at the platelet electron microscopy, we found large, giant alpha granules” and an increased tubular network (Fig. 2).
Jacobsen syndrome is a rare disorder caused by a congenital partial deletion of chromosome 11q23. About 90 percent of JS patients have a mild bleeding disorder called Paris-Trousseau syndrome, which is a macrothrombocytopenia characterized by large platelets and mucocutaneous bleeding. The electron microscopy showed giant alpha granules and decreased numbers of dense or delta granules (Krishnamurti L, et al. Am J Hematol. 2001;66[4]:295–299).
[dropcap]D[/dropcap]r. Reyes Gil said that her laboratory at Montefiore had analyzed more than 100 cases using the thromboxane A2 analogue in whole blood studies. “We have pretty good sensitivity [94 percent with a single agonist; 100 percent with more than two agonists] and specificity [88 percent with a single agonist; 96 percent with more than two agonists] using the U46 in whole blood. It’s useful because it allows us to differentiate storage pool disorders—where U46 would be abnormal along with arachidonic acid—from aspirin-like defects, in which only arachidonic acid would be abnormal but there should be normal response to U46.”
Dr. Reyes Gil’s final case was an acquired platelet function disorder. “Most acquired conditions known to be associated with a platelet dysfunction don’t need to have a platelet aggregation,” she said. “If you know the patient to have a myeloproliferative syndrome and/or thrombocythemia, you don’t need to do platelet aggregation studies.” In some cases where the cause is unknown, though, “it may be helpful.”
In this case, a 53-year-old male was being treated with multiple chemotherapeutic agents for stage IV colon cancer. Every time he received chemotherapy infusions, his platelet count dropped significantly. The patient’s hematologist requested that the laboratory test each individual chemotherapy drug in the patient’s blood just before his next chemotherapy cycle. The platelet aggregation results showed no aggregation with the drug fluorouracil but a strong platelet aggregation with low and higher doses of the drug leucovorin, but not with the control. A large ATP release was also shown with leucovorin.
“We looked at the clot formation in the electrode that we put in the cuvette with the blood, and we were able to see a very large clot with only leucovorin in this patient but not in the control,” Dr. Reyes Gil said.
“Most times we don’t do platelet aggregation studies for acquired conditions,” she said, “but in this particular case, it was extremely useful.” The patient’s thrombocytopenia improved after withdrawal of leucovorin. “This was likely a drug-induced autoantibody that induces platelet activation in the presence of the drug. This can be confirmed by flow cytometry, but only a few laboratories offer this test.”
Amy Carpenter Aquino is CAP TODAY senior editor.