A tale of antithesis with yearslong accumulative genetic alterations
September 2023—CAP TODAY and the Association for Molecular Pathology have teamed up to bring molecular case reports to CAP TODAY readers. AMP members write the reports using clinical cases from their own practices that show molecular testing’s important role in diagnosis, prognosis, and treatment. The following report comes from Henry Ford Hospital. If you would like to submit a case report, please send an email to the AMP at amp@amp.org. For more information about the AMP and all previously published case reports, visit www.amp.org.
Ejas Palathingal Bava, MD
Zhiqiang B. Wang, MD, PhD
Micropapillary pattern of adenocarcinomas (MPC) are considered aggressive variants of lung adenocarcinomas. They have been associated with unfavorable outcome in terms of five-year survival in stage-matched patients with other morphological variants.1 The presence of a micropapillary component of greater than five percent was reported as an independent risk factor for recurrence in patients treated with wedge resection or segmentectomy for lung adenocarcinomas 2 cm or smaller in size.2 Other investigators stated that the prognosis is poor, regardless of the percentage of micropapillary component.3 We herein report one case with a primary pT4 MPC that recurred 13 years after surgical resection. At the same time, we set out to delineate the molecular events and explore the pathophysiology behind the primary and recurrent tumors.
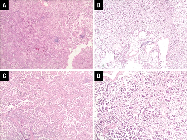
Case. The patient was a 78-year-old male with no history of smoking. He had a history of a left lower lobe lobectomy for a micropapillary predominant (>50 percent) lung adenocarcinoma 13 years earlier. The tumor measured 7.2 cm and was staged as pT4N0 (clinical stage IIIA). Other risk elements were negative, e.g. margin (1.5 cm to closest parenchymal margin), pleural invasion, and lymphovascular invasion (Fig. 1A-B). He received adjuvant chemotherapy with cisplatin/Navelbine after the primary tumor resection.

A) Primary tumor, center, mixed papillary and micropapillary pattern. B) Primary tumor, periphery, micropapillary pattern. C) Recurrent tumor, papillary pattern. D) Recurrent tumor, periphery, micropapillary pattern. All images were 20× magnified.
This time he presented with a biopsy-proven lung adenocarcinoma of the left upper lobe. PET imaging revealed negative mediastinal lymph nodes and distant metastasis. He underwent left upper lobe wedge resection that revealed 3.5-cm lung adenocarcinoma with morphologic similarity to the previously resected left lower lobe tumor (Fig. 1C-D). The tumor invaded visceral pleura and was 0.5 cm from the parenchymal margin. The sampled hilar lymph node was negative for metastasis. The tumor was staged as pT2aN0.
Next-generation sequencing using the Illumina MiSeq instrument and data analysis by the Sophia DDM platform with a panel of 53 genes were performed to determine and characterize the genetic alterations associated with the primary and recurrent tumors. Three NGS assays were performed on DNA extracted from formalin-fixed, paraffin-embedded tissue blocks: 1) microdissected MPC of the primary tumor, 2) microdissected papillary component (PC) of the primary tumor, and 3) recurrent tumor. RNA sequencing was not performed.
The NGS assays were monitored with the following benchmarks: 1) percent of targets with coverage greater than 500× (>95 percent), 2) coverage 10th quantile (>500), 3) coverage heterogeneity (<5 percent), 4) percent on target (enrichment) (>70 percent), and 5) duplication fraction (<90 percent). All of the NGS assays were successful, indicating high DNA quality after 13 years of preservation.
As summarized in Table 1, the primary lung adenocarcinoma demonstrated the following genetic alterations: two TP53 tier one/two variants on the PC; two same TP53 variants and a MET exon 14 skipping mutation on the MPC. Additionally, one tier three variant was also seen on the MPC portion. On the recurrent tumor, a total of 14 tier one/two variants were identified, including one same truncating TP53 variant (TP53 p.Arg213*) that was detected previously and one actionable EGFR variant, with an additional 88 tier three variants of unknown significance.
Discussion. In contrast to the notion that MPC is aggressive, our patient with stage III MPC lived 13 tumor-free years until recurrence. Behind the indolence were the morphologic features indicating that the peripherally abundant MPC appeared to have grown out of the centrally located papillary “nidus” as a secondary structure and the relative paucity of genetic alterations. Separate NGS assays performed on microdissected papillary component and MPC of the tumor detected two same TP53 variants (c.853G>A, p.Gly285Lys; c.637C>T, p.Arg213*) in both portions. Such results were hence supportive of their clonal essence. TP53 gene is the most common mutated gene in lung cancers.4 In addition, the reduced allelic fractions of both TP53 variants from 20 percent of PC to 10 percent of MPC implicated the subclonal rather than primary or de novo nature of MPC of this tumor. Subclonal evolution of the MPC was also supported by the detection of actionable MET c. 3313+1G>A variant, which affects the evolutionally conserved splice junction leading to exon 14 skipping of the MET gene. Although it is debatable if the subclonal features of MPC obligated the tumor’s clinical behavior similar to papillary adenocarcinoma, these unique findings should open research opportunities to improve our understanding.

PC and MP: papillary component and micropapillary component; AF: allelic fraction; NM_000546.5, NM_005228.3, NM_001127500.2: transcript IDs; VUS: variant of uncertain significance. Tier designations by American College of Medical Genetics and Genomics (tiers 1–3 are reportable): tier 1: pathogenic; tier 2: likely pathogenic; tier 3: uncertain significance (VUS); tier 4: likely benign; tier 5: benign.
While the discussion of clonal and subclonal tumor evolution highlighted the established notion of intratumoral genetic heterogeneity,5 the recurrent tumor offered a rare chance to gain further insights. We noted that the same TP53 variant (p.Arg213*) was detected in both NGS runs on the primary and recurrent tumors. According to our in-house data, the variant p.Arg213* of TP53 was seen in one percent of all tumors tested. In addition to the same morphology, such a rare molecular event provided evidence supporting the clonal nature of the recurrent tumor.
Intriguingly, on top of this finding was the detection of numerous molecular events in the recurrent tumor. Such results were in sharp contrast to the primary tumor and highlighted the cumulative genetic damage over a 13-year period. It is noteworthy, however, that the patient’s adjuvant chemotherapy after resection of the primary tumor may have had an impact on the genetic profiling of the recurrent tumor. It is known that chemotherapies are mutagenic and can contribute to tumor mutation burdens including inducing new mutations that render resistance to treatment, eliminating treatment-sensitive mutations, or driving tumor evolutionary patterns.5 Hence, the genetic profile of the recurrent tumor should be interpreted as a combined result of biological acquisition during the long-term evolution and therapeutic induction.
Finally, it is worth mentioning that among genetic alterations in the recurrent tumor was the EGFR variant c.2155G>T, p.Gly719Cys. Along with the major EGFR gene exon 19 in frame deletions and exon 21 codon L858/L861 mutations, EGFR p.Gly719Cys has been identified as broadly sensitive to kinase inhibitors. The patient has been receiving osimertinib treatment and is doing well five years post-surgery.
Conclusion. We report a rare case of MPC lung adenocarcinoma that recurred in a different lung lobe after 13 years. We characterized the molecular events in different portions (PC and MPC) of the primary tumor and the recurrent tumor, with results demonstrating a relative paucity of genetic alterations in the primary tumor but strikingly numerous genetic alterations in the recurrent tumor. By telling this rare tale of antithesis to the established notion that MPC is aggressive, we explored the possible mechanisms behind the indolence and behind the differences in genetic alterations between the primary and recurrent tumors.
- Monroig-Bosque PDC, Morales-Rosado JA, Roden AC, et al. Micropapillary adenocarcinoma of lung: morphological criteria and diagnostic reproducibility among pulmonary pathologists. Ann Diagn Pathol. 2019;41:43–50.
- Nitadori J, Bograd AJ, Kadota K, et al. Impact of micropapillary histologic subtype in selecting limited resection vs lobectomy for lung adenocarcinoma of 2cm or smaller. J Natl Cancer Inst. 2013;105(16):1212–1220.
- Cao Y, Zhu LZ, Jiang MJ, Yuan Y. Clinical impacts of a micropapillary pattern in lung adenocarcinoma: a review. Onco Targets Ther. 2016;9:149–158.
- Coleman WB, Tsongalis GJ, eds. Essential Concepts in Molecular Pathology. 2nd ed. Elsevier; 2019.
- Venkatesan S, Swanton C, Taylor BS, Costello JF. Treatment-induced mutagenesis and selective pressures sculpt cancer evolution. Cold Spring Harb Perspect Med. 2017;7(8):a026617.
Dr. Palathingal Bava is a third-year pathology resident and Dr. Wang is senior staff pathologist, Department of Pathology and Laboratory Medicine, Henry Ford Hospital, Detroit.
[divider]
Test yourself
Here are three questions taken from the case report. Answers are online now at www.amp.org/casereports and will be published next month in CAP TODAY.
- Which of the following is the most common mutated gene in lung cancers?
a. KRAS
b. TP53
c. BRAF
d. EGFR - Which of the following statements about lung adenocarcinomas is false?
a. Micropapillary pattern of adenocarcinomas (MPC) are not considered aggressive variants of lung adenocarcinomas.
b. The presence of a micropapillary component of greater than five percent is an independent risk factor for recurrence.
c. The adverse prognosis of MPC is directly proportional to the percentage of micropapillary component.
d. Patients with MPC have lower five-year survival in stage-matched patients compared with other morphological variants. - Which of the following statements about lung carcinomas is false?
a. MPC is not the result of expanded growth of the papillary component.
b. TTF-1 immunohistochemistry positivity is seen in lung adenocarcinomas.
c. The most frequent EGFR gene mutations are targetable for therapy.
d. Newer mutations are acquired during tumor evolution.‘Test yourself’ answers
[divider]
‘Test yourself’ answers
In the August 2023 issue was a case report “Small intragenic structural variants in SATB2-associated syndrome,” written by members of the Association for Molecular Pathology. Here are answers (in bold) to the three “test yourself ” questions that followed that case report.
- What is the first-line diagnostic test for patients with intellectual disability and/or developmental delay?
a. Chromosomal microarray
b. Exon sequencing
c. M-Chat
➙ Chromosomal microarray analysis is often considered the first-line diagnostic test for individuals with unexplained intellectual disability and/or developmental delay. “Consensus statement: chromosomal microarray is a first-tier clinical diagnostic test for individuals with developmental disabilities or congenital anomalies” was published in 2010 (Miller DT, et al. Am J Hum Genet. 2010;86[5]:749–764). This test can detect chromosomal abnormalities and copy number variations that may contribute to these conditions. Exon sequencing and M-Chat are not typically used as first-line diagnostic tests for intellectual disability and/or developmental delay. Exon sequencing may be used in certain cases to identify specific genetic mutations, while M-Chat is a screening tool for autism spectrum disorder. - Chromosomal microarray is designed to detect which type of variants?
a. Unbalanced chromosomal gains or losses
b. Low-level mosaicism
c. Single nucleotide variants
➙ Chromosomal microarray is designed to detect unbalanced chromosomal gains or losses, also known as copy number variations. These types of variants involve larger segments of DNA and can be associated with conditions such as intellectual disability, developmental delay, and autism spectrum disorder. Chromosomal microarray is not typically designed to detect low-level mosaicism or single nucleotide variants, though some types of chromosomal microarray can detect certain types of mosaic copy number variations or smaller variants such as submicroscopic deletions or duplications. For the detection of single nucleotide variants, other types of genetic testing, such as targeted gene sequencing or whole exome sequencing, may be used. - What is the most frequent variant described in SATB2-associated syndrome?
a. Missense variants
b. Large deletions
c. Internal tandem duplication
➙ The most frequent type of variant described in SATB2-associated syndrome is missense variants. Missense variants are a type of genetic mutation that change a single nucleotide in the DNA sequence, resulting in an amino acid substitution in the protein. SATB2-associated syndrome is a rare genetic condition caused by alterations in the SATB2 gene, and missense variants in this gene are the most commonly reported variant type associated with this syndrome. Large deletions involving SATB2 have also been reported in some cases of the syndrome, but they are less frequent than missense variants. Internal tandem duplications have not been reported as a common variant type associated with SATB2-associated syndrome.